Dahm Hans Helmut, von der Haar Claudia, Rübben Herbert
Institute of Pathology, Hirschlandstraße 97, 73730, Esslingen, Germany.
Gynecological Practice, Tiberstraße 7, 48249, Dülmen, Germany.
J Cancer Res Clin Oncol. 2016 Jun;142(6):1253-60. doi: 10.1007/s00432-016-2153-0. Epub 2016 Mar 31.
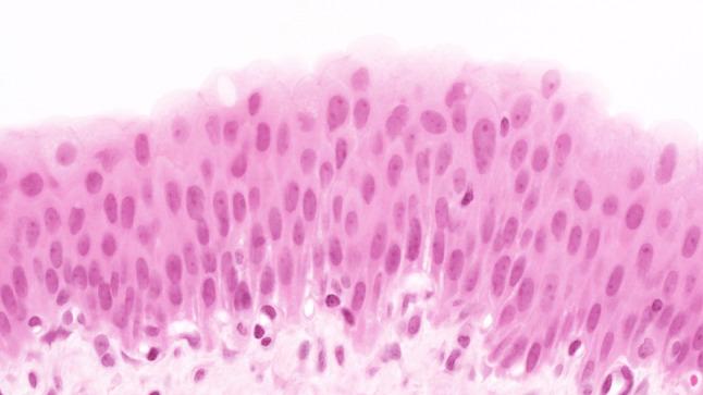
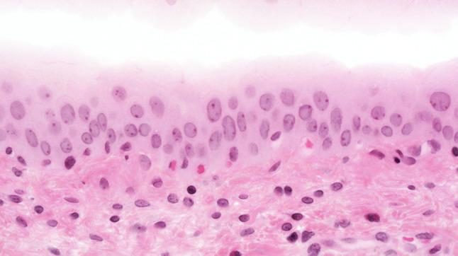
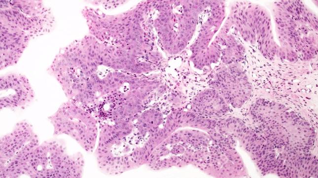
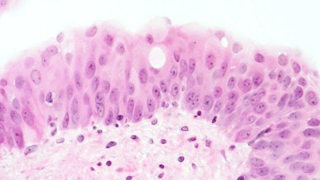
The morphology of experimentally induced urinary bladder precancerous lesions has been differentially interpreted in the literature. Here, we aimed to describe the development of precancerous lesions of the urothelium histologically and by DNA cytophotometric analysis.
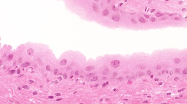
We induced precancerous lesions of the urothelium in 60 Wistar rats with 0.05 % N-butyl-N-(4-hydroxybutyl)nitrosamine (BBN) solution as drinking water. After exposure for 2-20 weeks, each animal received tap water for 2 weeks. Subsequently, six animals were killed every 2 weeks, and urothelia of three urinary bladders per time point were examined by DNA cytophotometry of smear preparations. An additional three urinary bladders were processed for histological analysis.
Over 20 weeks, BBN exposure led to a significant difference between the control group and most of the BBN-exposed 2-week groups and to differences between most of these time point groups. After week 4, this difference included a higher proportion of cells with increased nuclear DNA content. At the end of the experiment, DNA cytophotometric values of the urothelium in experimental rats corresponded to those of poorly differentiated urothelial carcinomas.
Biologically significant stages of precancerous lesions were already detectable after 4 weeks of BBN exposure, considerably earlier than previously described in the literature.
实验诱导的膀胱癌前病变的形态学在文献中有不同的解释。在此,我们旨在通过组织学和DNA细胞光度分析来描述尿路上皮癌前病变的发展过程。
我们用0.05%的N-丁基-N-(4-羟丁基)亚硝胺(BBN)溶液作为饮用水,在60只Wistar大鼠中诱导尿路上皮癌前病变。暴露2至20周后,每只动物饮用2周的自来水。随后,每2周处死6只动物,对每个时间点的三个膀胱的尿路上皮进行涂片制备的DNA细胞光度分析。另外三个膀胱用于组织学分析。
在20周内,BBN暴露导致对照组与大多数暴露2周的BBN组之间存在显著差异,并且大多数这些时间点组之间也存在差异。在第4周后,这种差异包括核DNA含量增加的细胞比例更高。在实验结束时,实验大鼠尿路上皮的DNA细胞光度值与低分化尿路上皮癌的DNA细胞光度值相当。
在BBN暴露4周后就已经可以检测到具有生物学意义的癌前病变阶段,比文献中先前描述的要早得多。