Suppr超能文献

乳腺结核:一名年轻尼日利亚女性代谢综合征合并2型糖尿病的首发表现

Tuberculosis of the Breast: An Initial Presentation of the Metabolic Syndrome with Type 2 Diabetes Mellitus in a Young Nigerian Woman.

作者信息

Adeiza M A, Yusuf R, Liman A A, Abur P, Bello F, Abba A A

机构信息

Pulmonology Unit, Department of Medicine, Ahmadu Bello University Teaching Hospital, PMB 06, Shika, Zaria, Nigeria.

Department of Chemical Pathology, Ahmadu Bello University Teaching Hospital, PMB 06, Shika, Zaria, Nigeria.

出版信息

Case Rep Infect Dis. 2016;2016:5485862. doi: 10.1155/2016/5485862. Epub 2016 Mar 10.

Abstract

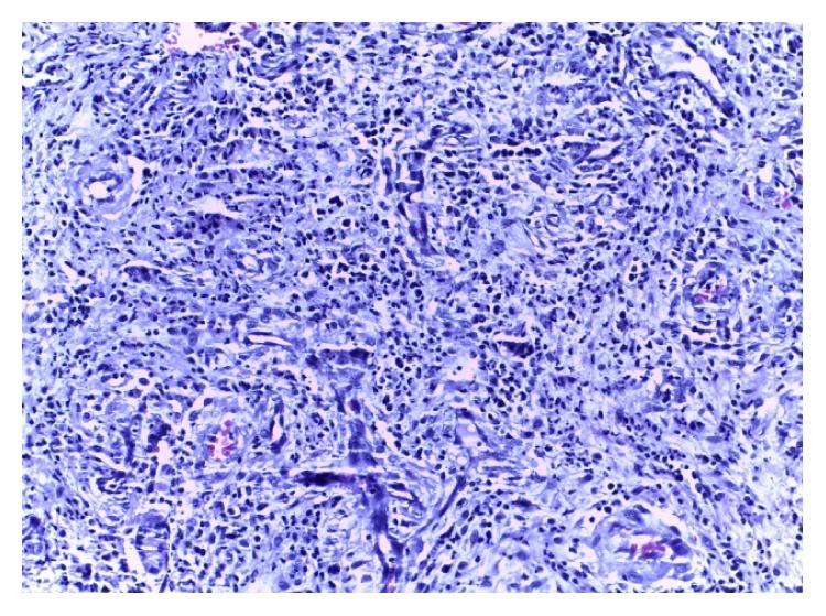
Breast tuberculosis is an uncommon presentation of extra pulmonary tuberculosis. A 40-year-old obese woman presented with a right breast abscess which had failed to heal after surgical drainage. There was no family history of breast disease. Biopsy and histology of the lesion showed chronic granulomatous inflammation with positive stains for acid fast bacilli compatible with tuberculosis. Further evaluation confirmed metabolic syndrome with type 2 diabetes mellitus. She was placed on antituberculosis chemotherapy and appropriate therapy for diabetes mellitus with complete resolution of the lesion. We report this case because of its rarity and to highlight the association between tuberculosis an infectious disease and overnutrition in diabetes mellitus, a noncommunicable disease.

摘要

乳腺结核是肺外结核的一种罕见表现形式。一名40岁的肥胖女性因右乳脓肿就诊,该脓肿在手术引流后未能愈合。患者无乳腺疾病家族史。病变组织的活检及组织学检查显示为慢性肉芽肿性炎症,抗酸杆菌染色阳性,符合结核表现。进一步评估确诊为代谢综合征合并2型糖尿病。她接受了抗结核化疗及糖尿病的适当治疗,病变完全消退。我们报告该病例是因其罕见性,并强调结核病(一种传染病)与糖尿病(一种非传染性疾病)中的营养过剩之间的关联。

https://cdn.ncbi.nlm.nih.gov/pmc/blobs/b433/4806276/66b54b5eb545/CRIID2016-5485862.001.jpg

文献AI研究员

20分钟写一篇综述,助力文献阅读效率提升50倍。

立即体验

用中文搜PubMed

大模型驱动的PubMed中文搜索引擎

马上搜索

文档翻译

学术文献翻译模型,支持多种主流文档格式。

立即体验