Suppr超能文献

水牛犊回肠和空肠派尔集合淋巴结:组织形态学比较。

Ileal and jejunal Peyer's patches in buffalo calves: Histomorphological comparison.

作者信息

Kapoor Kritima, Singh Opinder

机构信息

Department of Veterinary Anatomy, Guru Angad Dev Veterinary and Animal Sciences University, Ludhiana, Punjab, India.

出版信息

Vet World. 2015 Nov;8(11):1273-8. doi: 10.14202/vetworld.2015.1273-1278. Epub 2015 Nov 5.

Abstract

AIM

The present study was aimed to elucidate the histomorphology of ileal and jejunal Peyer's patches in the small intestine of buffalo calves and their structural comparison.

MATERIALS AND METHODS

The study was conducted on neonatal (n=10) and pre-pubertal (n=10) buffalo calves. The age of the postnatal buffalo calves was estimated by their temporary and permanent dentition.

RESULTS

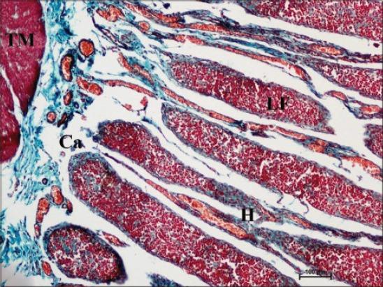
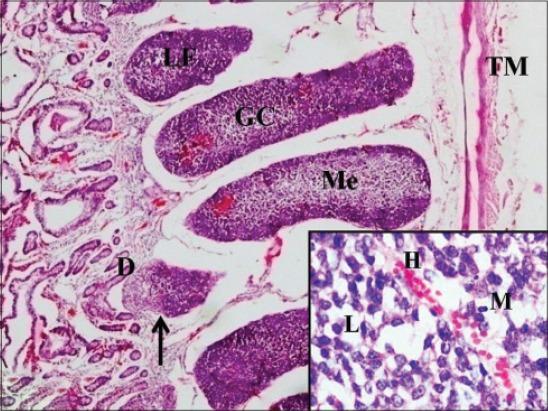
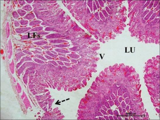
The study revealed that several layers of oval to elongate elliptical lymphoid follicles were observed in submucosa on the anti-mesenteric side in the ileum of early neonatal calves. However, the follicles at this age, in jejunum were of all shapes present within one layer. The interfollicular space was occupied by the interfollicular tissue, which was diffuse and wider around jejunal lymphoid follicles as compared to ileal lymphoid follicles. However, toward the pubertal stage, the number of layers of lymphoid follicles was reduced in ileum due to involution while it remained similar in number in jejunum at this stage.

CONCLUSION

The ileal Peyer's patches were found to have started involution more or less around reaching puberty, whereas the jejunal Peyer's patches appear to be functional throughout the lifespan of the animal.

摘要

目的

本研究旨在阐明水牛犊小肠回肠和空肠派尔集合淋巴结的组织形态学及其结构比较。

材料与方法

本研究以新生(n = 10)和青春期前(n = 10)的水牛犊为对象。通过其乳牙和恒牙来估算出生后水牛犊的年龄。

结果

研究发现,在早期新生水牛犊回肠的肠系膜对侧黏膜下层观察到几层椭圆形至细长椭圆形的淋巴滤泡。然而,这个年龄段空肠中的滤泡呈各种形状,且位于一层内。滤泡间组织占据滤泡间空间,与回肠淋巴滤泡相比,空肠淋巴滤泡周围的滤泡间组织弥漫且更宽。然而,到青春期阶段,回肠中淋巴滤泡的层数因退化而减少,而此时空肠中淋巴滤泡的数量保持相似。

结论

发现回肠派尔集合淋巴结在接近青春期时或多或少开始退化,而空肠派尔集合淋巴结在动物的整个生命周期中似乎都发挥功能。

https://cdn.ncbi.nlm.nih.gov/pmc/blobs/c659/4774737/7b715a89e5c0/VetWorld-8-1273-g001.jpg

文献AI研究员

20分钟写一篇综述,助力文献阅读效率提升50倍。

立即体验

用中文搜PubMed

大模型驱动的PubMed中文搜索引擎

马上搜索

文档翻译

学术文献翻译模型,支持多种主流文档格式。

立即体验