Suppr超能文献

肾旁主动脉假性动脉瘤 - 右肾静脉瘘合并主动脉周围肾环 - 枪伤的延迟表现 - 一例经CT血管造影诊断的罕见病例

Juxtarenal Aortic Pseudoaneurysm - Right Renal Vein Fistula with Circumaortic Renal Collar-Delayed Manifestation of a Gunshot Injury - an Uncommon Entity Diagnosed with CT Angiography.

作者信息

Garg Lalit, Jain Neeraj, Agrawal Sachin, Chauhan Udit, Goel Vandana, Puri Sunil Kumar

机构信息

Department of Radiodiagnosis, Govind Ballabh Pant Institute of Postgraduate Medical Education & Research (GIPMER), New Delhi, India.

出版信息

Pol J Radiol. 2016 Mar 18;81:114-9. doi: 10.12659/PJR.896032. eCollection 2016.

Abstract

BACKGROUND

Delayed presentation of post-traumatic aortic pseudoaneurysm and its fistulous communication with the right renal vein is a very rare entity. Most of the cases described in literature are due to abdominal aortic aneurysm (AAA) rupture into the left renal vein. To the best of our knowledge, communication with the right renal vein has not been described in published literature. Our patient also had a circumaortic renal collar, which is a rare renal vein anomaly. Aortic pseudoaneurysm, its fistulous communication with the right renal vein and circumaortic renal collar in a single patient is of extremely rare occurrence.

CASE REPORT

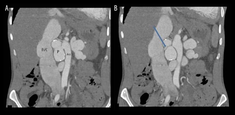
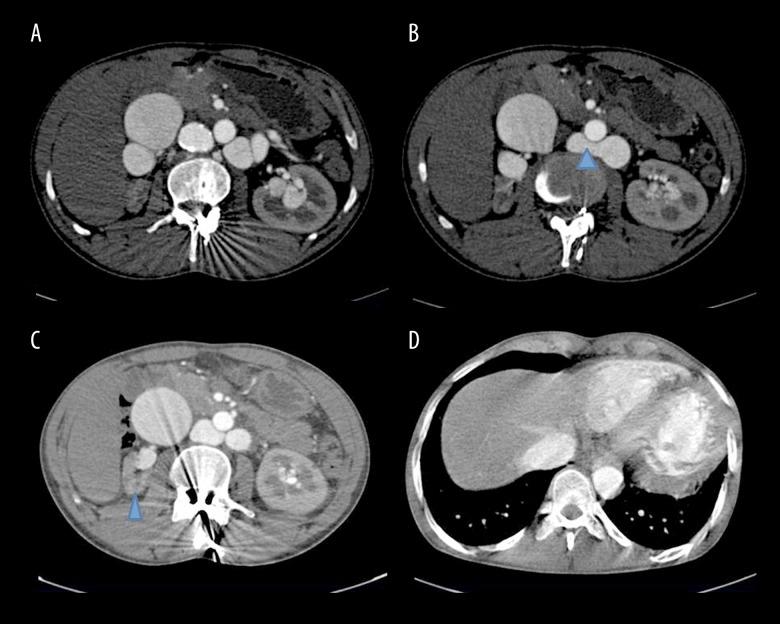
A 29-year-old male presented to the cardiology department with complaints of breathlessness, abdominal pain and hematuria for the last 6 months. On clinical examination there was evidence of audible bruit over the abdomen. He had a past history of a gunshot injury around two years back. CT angiography revealed a large partially calcified pseudoaneurysm arising from the right lateral wall of the abdominal aorta with the neck of the pseudoaneurysm at juxtarenal location with a fistula between the anterior wall of the pseudoaneurysm and the posterior wall of the right renal vein. There was an associated incidental finding of circumaortic left renal vein with gross aneurysmal dilatation of both pre- and retro-aortic part of the renal vein.

CONCLUSIONS

Delayed presentation of aortic pseudoaneurysm with its fistulous communication with the right renal vein is a rare entity. CT angiography is a non-invasive modality for diagnosis of the exact site of communication, length of aneurysm, proximal and distal extent of the affected segment and its relationship with surrounding structures.

摘要

背景

创伤后主动脉假性动脉瘤延迟出现及其与右肾静脉的瘘管形成是一种非常罕见的情况。文献中描述的大多数病例是由于腹主动脉瘤(AAA)破裂进入左肾静脉。据我们所知,与右肾静脉的连通在已发表的文献中尚未有描述。我们的患者还存在主动脉周围肾静脉环,这是一种罕见的肾静脉异常。一名患者同时出现主动脉假性动脉瘤、其与右肾静脉的瘘管形成以及主动脉周围肾静脉环的情况极为罕见。

病例报告

一名29岁男性因在过去6个月中出现呼吸急促、腹痛和血尿症状就诊于心脏病科。临床检查发现腹部可闻及血管杂音。他有大约两年前的枪伤史。CT血管造影显示一个大的部分钙化的假性动脉瘤起源于腹主动脉右侧壁,假性动脉瘤颈部位于肾旁位置,假性动脉瘤前壁与右肾静脉后壁之间存在瘘管。同时还意外发现主动脉周围左肾静脉,肾静脉主动脉前和主动脉后的部分均有明显的动脉瘤样扩张。

结论

主动脉假性动脉瘤延迟出现并伴有其与右肾静脉的瘘管形成是一种罕见情况。CT血管造影是一种用于诊断连通的确切部位、动脉瘤长度、受累节段的近端和远端范围及其与周围结构关系的非侵入性检查方法。

https://cdn.ncbi.nlm.nih.gov/pmc/blobs/e46d/4801142/41618b925dfc/poljradiol-81-114-g001.jpg

文献AI研究员

20分钟写一篇综述,助力文献阅读效率提升50倍。

立即体验

用中文搜PubMed

大模型驱动的PubMed中文搜索引擎

马上搜索

文档翻译

学术文献翻译模型,支持多种主流文档格式。

立即体验