• 文献检索
  • 文档翻译
  • 深度研究
  • 学术资讯
  • Suppr Zotero 插件Zotero 插件
  • 邀请有礼
  • 套餐&价格
  • 历史记录
应用&插件
Suppr Zotero 插件Zotero 插件浏览器插件Mac 客户端Windows 客户端微信小程序
定价
高级版会员购买积分包购买API积分包
服务
文献检索文档翻译深度研究API 文档MCP 服务
关于我们
关于 Suppr公司介绍联系我们用户协议隐私条款
关注我们

Suppr 超能文献

核心技术专利:CN118964589B侵权必究
粤ICP备2023148730 号-1Suppr @ 2026

文献检索

告别复杂PubMed语法,用中文像聊天一样搜索,搜遍4000万医学文献。AI智能推荐,让科研检索更轻松。

立即免费搜索

文件翻译

保留排版,准确专业,支持PDF/Word/PPT等文件格式,支持 12+语言互译。

免费翻译文档

深度研究

AI帮你快速写综述,25分钟生成高质量综述,智能提取关键信息,辅助科研写作。

立即免费体验

气管支气管骨软骨化生:一例非吸烟者及非特应性患者的罕见病例报告,患者自幼有长期喘息病史。

Tracheobronchopathia Osteochondroplastica: a rare case report of a non-smoker and non-atopic patient, with a long history of wheezing since childhood.

作者信息

Fois Alessandro G, Arcadu Antonella, Santoru Luigi, Trisolini Rocco, Marras Vincenzo, Ginesu Giorgio C, Canu Sara, Cordero Lorenzo, Diana Gabriella, Pirina Pietro

机构信息

Department of Respiratory Disease, University of Sassari, viale san Pietro 46/b, 07100 Sassari, Italy.

Thoracic Endoscopy and Pulmonology Unit, Maggiore Hospital, Bologna, Italy.

出版信息

Multidiscip Respir Med. 2016 Apr 19;11:16. doi: 10.1186/s40248-016-0050-7. eCollection 2016.

DOI:10.1186/s40248-016-0050-7
PMID:27096087
原文链接:https://pmc.ncbi.nlm.nih.gov/articles/PMC4836196/
Abstract

BACKGROUND

Tracheobronchopathia Osteochondroplastica (TBPO) is an uncommon and benign condition characterized by osseous or metaplastic cartilaginous 1-3 mm nodules in the submucosa of the tracheo-bronchial tree. Posterior membranous wall of trachea is typically spared. Ecchondrosis and exostosis nodules can cause chronic inflammation and mucosal metaplasia, stiffness and airway obstruction. The prevalence of this disease, often asymptomatic or associated with nonspecific symptoms, is underestimated, and the mean age at diagnosis is 50 years.

CASE PRESENTATION

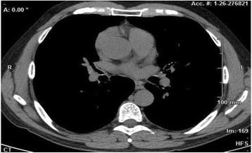
We report a case of a 49 year old male, non-smoker. He was a smith, homeless, born in Romania and reported a diagnosis of asthma since childhood. He was admitted to our Respiratory Unit presenting low-grade fever with profuse sweating, cough, purulent sputum, and ground-glass opacity with irregularity in main bronchi detected by High-Resolution Computed Tomography (HRCT) scan. Fibrobronchoscopy revealed the presence of mucosal irregularities up to the segmental bronchi entrance. Histological examination showed nodules of osseouscartilaginous nature, consistent with TBPO. Microbiological tests of Bronchoalveolar Lavage fluid also revealed an infection by Pseudomonas Aeruginosa.

CONCLUSION

TBPO is a rare disease characterized by wheezing, cough, hemoptysis, and recurrent pulmonary infections, with typical onset during adulthood. In the case reported, the symptoms began in childhood, although they had been misinterpreted as asthma. Even if childhood-onset is not reported in literature, it is likely that small changes occur in the first few years of life and become more evident in adulthood. The involvement of segmental and sub-segmental bronchi, usually spared in TBPO, could explain the presence of wheezing and non-productive cough reported by our patient since childhood.

摘要

背景

气管支气管骨软骨化生(TBPO)是一种罕见的良性疾病,其特征是气管支气管树黏膜下层出现1 - 3毫米的骨性或化生软骨结节。气管后壁膜部通常不受累。软骨瘤和外生骨疣结节可引起慢性炎症、黏膜化生、僵硬和气道阻塞。这种疾病通常无症状或伴有非特异性症状,其患病率被低估,诊断时的平均年龄为50岁。

病例报告

我们报告一例49岁男性,非吸烟者。他是一名铁匠,无家可归,出生于罗马尼亚,自幼被诊断为哮喘。他因低热、多汗、咳嗽、脓性痰入院,高分辨率计算机断层扫描(HRCT)显示主支气管有磨玻璃样混浊及不规则影。纤维支气管镜检查显示直至段支气管入口处均有黏膜不规则。组织学检查显示为骨软骨性质的结节,符合TBPO。支气管肺泡灌洗液体的微生物学检测还显示有铜绿假单胞菌感染。

结论

TBPO是一种罕见疾病,其特征为喘息、咳嗽、咯血和反复肺部感染,典型发病于成年期。在本报告的病例中,症状始于儿童期,尽管当时被误诊为哮喘。即使文献中未报道儿童期发病情况,但很可能在生命的最初几年就发生了微小变化,并在成年期变得更加明显。段支气管和亚段支气管受累,而在TBPO中通常不累及,这可以解释我们的患者自幼出现喘息和干咳的原因。

https://cdn.ncbi.nlm.nih.gov/pmc/blobs/a01b/4836196/fa31aefde96a/40248_2016_50_Fig5_HTML.jpg
https://cdn.ncbi.nlm.nih.gov/pmc/blobs/a01b/4836196/150e72e503e1/40248_2016_50_Fig1_HTML.jpg
https://cdn.ncbi.nlm.nih.gov/pmc/blobs/a01b/4836196/7f2a4e68ef9c/40248_2016_50_Fig2_HTML.jpg
https://cdn.ncbi.nlm.nih.gov/pmc/blobs/a01b/4836196/73fd39d17fd4/40248_2016_50_Fig3_HTML.jpg
https://cdn.ncbi.nlm.nih.gov/pmc/blobs/a01b/4836196/36956fbac01c/40248_2016_50_Fig4_HTML.jpg
https://cdn.ncbi.nlm.nih.gov/pmc/blobs/a01b/4836196/fa31aefde96a/40248_2016_50_Fig5_HTML.jpg
https://cdn.ncbi.nlm.nih.gov/pmc/blobs/a01b/4836196/150e72e503e1/40248_2016_50_Fig1_HTML.jpg
https://cdn.ncbi.nlm.nih.gov/pmc/blobs/a01b/4836196/7f2a4e68ef9c/40248_2016_50_Fig2_HTML.jpg
https://cdn.ncbi.nlm.nih.gov/pmc/blobs/a01b/4836196/73fd39d17fd4/40248_2016_50_Fig3_HTML.jpg
https://cdn.ncbi.nlm.nih.gov/pmc/blobs/a01b/4836196/36956fbac01c/40248_2016_50_Fig4_HTML.jpg
https://cdn.ncbi.nlm.nih.gov/pmc/blobs/a01b/4836196/fa31aefde96a/40248_2016_50_Fig5_HTML.jpg

相似文献

1
Tracheobronchopathia Osteochondroplastica: a rare case report of a non-smoker and non-atopic patient, with a long history of wheezing since childhood.气管支气管骨软骨化生:一例非吸烟者及非特应性患者的罕见病例报告,患者自幼有长期喘息病史。
Multidiscip Respir Med. 2016 Apr 19;11:16. doi: 10.1186/s40248-016-0050-7. eCollection 2016.
2
Tracheobronchopathia Osteochondroplastica: Two Different Facets of a Rare Entity.骨化性气管支气管病:一种罕见疾病的两种不同表现
Eur J Case Rep Intern Med. 2020 Aug 28;7(11):001925. doi: 10.12890/2020_001925. eCollection 2020.
3
Tracheobronchopathia Osteochondroplastica: End Stage of Tracheo-Bronchial Amyloidosis?气管支气管骨软骨化生:气管支气管淀粉样变性的终末期?
Tanaffos. 2019 Mar;18(3):272-275.
4
Diagnosis and Treatment Process of Tracheobronchopathia Osteochondroplastica with Concurrent Chronic Eosinophilic Pneumonia: a Case Report.骨化性气管支气管病合并慢性嗜酸性粒细胞性肺炎的诊断与治疗过程:1例报告
Tanaffos. 2020 Jul;19(3):267-271.
5
Tracheobronchopathia osteochondroplastica: two cases and a review of the literature.骨化性气管支气管病:两例报告并文献复习
Int J Clin Exp Pathol. 2015 Jul 1;8(7):8585-90. eCollection 2015.
6
Tracheobronchopathia osteochondroplastica: two cases and a review of the literature.骨化性气管支气管病:两例病例报告及文献复习
Int J Clin Exp Pathol. 2015 Aug 1;8(8):9681-6. eCollection 2015.
7
Tracheobronchopathia osteochondroplastica: a case report highlighting the importance of clinico-radiologic correlation.骨软骨瘤病性气管支气管病:一例强调临床与放射学相关性重要性的病例报告
BJR Case Rep. 2023 Oct 24;9(6):20230062. doi: 10.1259/bjrcr.20230062. eCollection 2023 Nov.
8
Rare Manifestation of Idiopathic Tracheobronchopathia Osteochondroplastica: Misdiagnosed and Untreated Entity?特发性气管支气管骨软骨化生的罕见表现:误诊且未治疗的病症?
Cureus. 2020 Jul 26;12(7):e9407. doi: 10.7759/cureus.9407.
9
Tracheobronchopathia osteochondroplastica.气管支气管骨软骨化生
Semin Respir Crit Care Med. 2002 Apr;23(2):167-75. doi: 10.1055/s-2002-25305.
10
Tracheobronchopathia Osteochondroplastica: Two Cases Reports and Review of Literature.骨化性气管支气管病:两例报告并文献复习
Medicine (Baltimore). 2016 May;95(19):e3396. doi: 10.1097/MD.0000000000003396.

引用本文的文献

1
Clinicopathological Features and Management Principles of Tracheobronchopathia Osteochondroplastica - A Scoping Review.骨化性气管支气管病的临床病理特征及处理原则——一项范围综述
Indian J Otolaryngol Head Neck Surg. 2023 Dec;75(4):3798-3814. doi: 10.1007/s12070-023-03998-6. Epub 2023 Jul 10.
2
Tracheobronchopathia osteochondroplastica: a case report highlighting the importance of clinico-radiologic correlation.骨软骨瘤病性气管支气管病:一例强调临床与放射学相关性重要性的病例报告
BJR Case Rep. 2023 Oct 24;9(6):20230062. doi: 10.1259/bjrcr.20230062. eCollection 2023 Nov.
3
Impact of Tracheobronchopathia Osteochondroplastica on Difficult Intubation.

本文引用的文献

1
A clinical study of tracheobronchopathia osteochondroplastica: findings from a large Chinese cohort.气管支气管骨软骨瘤病的临床研究:来自一个大型中国队列的研究结果
PLoS One. 2014 Jul 11;9(7):e102068. doi: 10.1371/journal.pone.0102068. eCollection 2014.
2
Tracheobronchopathia osteochondroplastica: a review of the literature.骨软骨化气管支气管病:文献综述
Clin Respir J. 2015 Oct;9(4):386-91. doi: 10.1111/crj.12166. Epub 2014 Jun 22.
3
A 20-year follow-up of a case with tracheobronchopathia osteochondroplastica.骨化性气管支气管病一例的20年随访
气管支气管骨软骨化生对困难插管的影响
OTO Open. 2023 Sep 18;7(3):e81. doi: 10.1002/oto2.81. eCollection 2023 Jul-Sep.
4
A rare case of rapidly progressive Tracheobronchopathia Osteochondroplastica.一例罕见的快速进展性骨软骨化气管支气管病。
Respir Med Case Rep. 2023 Apr 15;43:101853. doi: 10.1016/j.rmcr.2023.101853. eCollection 2023.
5
Pebbled Trachea: A Case Series and Literature Review of Tracheobronchopathia Osteochondroplastica.鹅卵石样气管:气管支气管骨软骨瘤病的病例系列及文献综述
J Glob Infect Dis. 2021 Nov 9;13(4):180-182. doi: 10.4103/jgid.jgid_379_20. eCollection 2021 Oct-Dec.
6
Tracheobronchopathia osteochondroplastica: a cause of chronic cough and haemoptysis.气管支气管骨软骨化生:慢性咳嗽和咯血的一个病因。
BMJ Case Rep. 2021 Apr 12;14(4):e240125. doi: 10.1136/bcr-2020-240125.
7
Diagnosis and Treatment Process of Tracheobronchopathia Osteochondroplastica with Concurrent Chronic Eosinophilic Pneumonia: a Case Report.骨化性气管支气管病合并慢性嗜酸性粒细胞性肺炎的诊断与治疗过程:1例报告
Tanaffos. 2020 Jul;19(3):267-271.
8
Rare Manifestation of Idiopathic Tracheobronchopathia Osteochondroplastica: Misdiagnosed and Untreated Entity?特发性气管支气管骨软骨化生的罕见表现:误诊且未治疗的病症?
Cureus. 2020 Jul 26;12(7):e9407. doi: 10.7759/cureus.9407.
9
Clinical Characteristics of Six Cases of Tracheobronchopathia Osteochondroplastica.六例骨化性气管支气管病的临床特征
Can Respir J. 2020 Jun 16;2020:8685126. doi: 10.1155/2020/8685126. eCollection 2020.
10
Tracheobronchopathia Osteochondroplastica: A Case Report Illustrating the Importance of Multilevel Workup Clinical, Endoscopic and Histological Assessment in Diagnosis of an Uncommon Disease.骨化性气管支气管病:一例报告,阐述多层检查(临床、内镜及组织学评估)在罕见疾病诊断中的重要性
Am J Case Rep. 2019 Jan 18;20:74-77. doi: 10.12659/AJCR.911859.
J Bronchology Interv Pulmonol. 2013 Jan;20(1):84-6. doi: 10.1097/LBR.0b013e31827d13bc.
4
Unusual combination of tracheobronchopathia osteochondroplastica and AA amyloidosis.气管支气管软骨骨肥厚症与 AA 淀粉样变性的不常见组合。
Yonsei Med J. 2009 Oct 31;50(5):721-4. doi: 10.3349/ymj.2009.50.5.721. Epub 2009 Oct 21.
5
Tracheobronchopathia osteochondroplastica: presentation of ten cases and review of the literature.骨软骨瘤病性气管支气管病:10例报告及文献复习
Lung. 2008 Sep-Oct;186(5):293-7. doi: 10.1007/s00408-008-9088-4. Epub 2008 May 8.
6
Tracheobronchopathia osteoplastica: cause of difficult tracheal intubation.骨化性气管支气管病:困难气管插管的原因
Ann Thorac Surg. 2006 Apr;81(4):1480-2. doi: 10.1016/j.athoracsur.2005.04.013.
7
Tracheobronchopathia osteochondroplastica: a study of 41 patients.骨化性气管支气管病:41例患者的研究
Medicine (Baltimore). 2001 Nov;80(6):378-90. doi: 10.1097/00005792-200111000-00004.
8
Bronchoscopic assessment of the evolution of endobronchial tuberculosis.支气管镜检查评估支气管内膜结核的演变
Chest. 2000 Feb;117(2):385-92. doi: 10.1378/chest.117.2.385.
9
Immunohistochemical detection of bone morphogenetic protein-2 and transforming growth factor beta-1 in tracheopathia osteochondroplastica.骨软骨化生型气管病中骨形态发生蛋白-2和转化生长因子β-1的免疫组织化学检测
Virchows Arch. 1997 Nov;431(5):359-63. doi: 10.1007/s004280050111.
10
Tracheobronchial AL amyloidosis: histologic, immunohistochemical, ultrastructural, and immunoelectron microscopic observations.
Hum Pathol. 1993 Sep;24(9):970-6. doi: 10.1016/0046-8177(93)90110-3.