Harlé Alexandre, Salleron Julia, Franczak Claire, Dubois Cindy, Filhine-Tressarieu Pierre, Leroux Agnès, Merlin Jean-Louis
Université de Lorraine, Faculté de Pharmacie, Nancy, France.
CNRS UMR 7039 CRAN, Nancy, France.
PLoS One. 2016 Apr 25;11(4):e0153576. doi: 10.1371/journal.pone.0153576. eCollection 2016.
Metastatic melanoma is a severe disease with one of the highest mortality rate in skin diseases. Overall survival has significantly improved with immunotherapy and targeted therapies. Kinase inhibitors targeting BRAF V600 showed promising results. BRAF genotyping is mandatory for the prescription of anti-BRAF therapies.
Fifty-nine formalin-fixed paraffin-embedded melanoma samples were assessed using High-Resolution-Melting (HRM) PCR, Real-time allele-specific amplification (RT-ASA) PCR, Next generation sequencing (NGS), immunohistochemistry (IHC) and the fully-automated molecular diagnostics platform IdyllaTM. Sensitivity, specificity, positive predictive value and negative predictive value were calculated using NGS as the reference standard to compare the different assays.
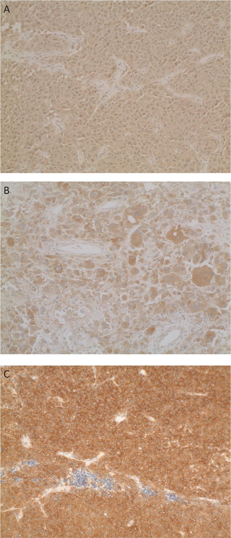
BRAF mutations were found in 28(47.5%), 29(49.2%), 31(52.5%), 29(49.2%) and 27(45.8%) samples with HRM, RT-ASA, NGS, IdyllaTM and IHC respectively. Twenty-six (81.2%) samples were found bearing a c.1799T>A (p.Val600Glu) mutation, three (9.4%) with a c.1798_1799delinsAA (p.Val600Lys) mutation and one with c.1789_1790delinsTC (p.Leu597Ser) mutation. Two samples were found bearing complex mutations.
HRM appears the less sensitive assay for the detection of BRAF V600 mutations. The RT-ASA, IdyllaTM and IHC assays are suitable for routine molecular diagnostics aiming at the prescription of anti-BRAF therapies. IdyllaTM assay is fully-automated and requires less than 2 minutes for samples preparation and is the fastest of the tested assays.
转移性黑色素瘤是一种严重疾病,在皮肤病中死亡率极高。免疫疗法和靶向疗法显著提高了总体生存率。针对BRAF V600的激酶抑制剂显示出有前景的结果。BRAF基因分型对于抗BRAF疗法的处方是必不可少的。
使用高分辨率熔解(HRM)PCR、实时等位基因特异性扩增(RT-ASA)PCR、下一代测序(NGS)、免疫组织化学(IHC)和全自动分子诊断平台IdyllaTM对59个福尔马林固定石蜡包埋的黑色素瘤样本进行评估。以NGS作为参考标准计算敏感性、特异性、阳性预测值和阴性预测值,以比较不同检测方法。
分别通过HRM、RT-ASA、NGS、IdyllaTM和IHC在28(47.5%)、29(49.2%)、31(52.5%)、29(49.2%)和27(45.8%)个样本中发现BRAF突变。发现26个(81.2%)样本携带c.1799T>A(p.Val600Glu)突变,3个(9.4%)携带c.1798_1799delinsAA(p.Val600Lys)突变,1个携带c.1789_1790delinsTC(p.Leu597Ser)突变。发现2个样本携带复杂突变。
HRM似乎是检测BRAF V600突变敏感性较低的检测方法。RT-ASA、IdyllaTM和IHC检测方法适用于旨在开具抗BRAF疗法处方的常规分子诊断。IdyllaTM检测方法是全自动的,样本制备时间不到2分钟,是所测试检测方法中最快的。