Suppr超能文献

用于基因组编辑的卵母细胞特异性Cas9转基因小鼠的生成。

Generation of an Oocyte-Specific Cas9 Transgenic Mouse for Genome Editing.

作者信息

Zhang Linlin, Zhou Jiankui, Han Jinxiong, Hu Bian, Hou Ningning, Shi Yun, Huang Xingxu, Lou Xin

机构信息

Model Animal Research Center, MOE Key Laboratory of Model Animal for Disease Study, Nanjing University, Nanjing, China.

School of Life Science and Technology, ShanghaiTech University, Shanghai, China.

出版信息

PLoS One. 2016 Apr 27;11(4):e0154364. doi: 10.1371/journal.pone.0154364. eCollection 2016.

Abstract

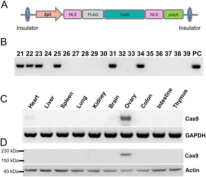
The CRISPR/Cas9 system has been developed as an easy-handle and multiplexable approach for engineering eukaryotic genomes by zygote microinjection of Cas9 and sgRNA, while preparing Cas9 for microinjection is laborious and introducing inconsistency into the experiment. Here, we describe a modified strategy for gene targeting through using oocyte-specific Cas9 transgenic mouse. With this mouse line, we successfully achieve precise gene targeting by injection of sgRNAs only into one-cell-stage embryos. Through comprehensive analysis, we also show allele complexity and off-target mutagenesis induced by this strategy is obviously lower than Cas9 mRNA/sgRNA injection. Thus, injection of sgRNAs into oocyte-specific Cas9 transgenic mouse embryo provides a convenient, efficient and reliable approach for mouse genome editing.

摘要

CRISPR/Cas9系统已发展成为一种通过向受精卵显微注射Cas9和sgRNA来对真核基因组进行操作的简便且可多重化的方法,然而制备用于显微注射的Cas9既费力又会给实验带来不一致性。在此,我们描述了一种通过使用卵母细胞特异性Cas9转基因小鼠进行基因靶向的改良策略。利用该小鼠品系,我们仅通过将sgRNAs注射到单细胞期胚胎中就成功实现了精确的基因靶向。通过全面分析,我们还表明该策略诱导的等位基因复杂性和脱靶诱变明显低于Cas9 mRNA/sgRNA注射。因此,向卵母细胞特异性Cas9转基因小鼠胚胎中注射sgRNAs为小鼠基因组编辑提供了一种便捷、高效且可靠的方法。

https://cdn.ncbi.nlm.nih.gov/pmc/blobs/ff57/4847922/98a88d232d2e/pone.0154364.g001.jpg

文献AI研究员

20分钟写一篇综述,助力文献阅读效率提升50倍。

立即体验

用中文搜PubMed

大模型驱动的PubMed中文搜索引擎

马上搜索

文档翻译

学术文献翻译模型,支持多种主流文档格式。

立即体验