Suppr超能文献

原发性甲状旁腺功能亢进症误诊为上颌窦巨细胞瘤:一例报告

Primary Hyperparathyroidism Misdiagnosed as Giant Cell Bone Tumor of Maxillary Sinus: A Case Report.

作者信息

Aghaghazvini Leila, Sharifian Hashem, Rasuli Bahman

机构信息

Department of Radiology, Shariati Hospital, Tehran University of Medical Sciences, Tehran, Iran; Advanced Diagnostic and Interventional Radiology Research Center (ADIR), Tehran University of Medical Sciences, Tehran, Iran.

Department of Radiology, Amiralam Hospital, Tehran University of Medical Sciences, Tehran, Iran; Advanced Diagnostic and Interventional Radiology Research Center (ADIR), Tehran University of Medical Sciences, Tehran, Iran.

出版信息

Iran J Radiol. 2016 Jan 14;13(1):e13260. doi: 10.5812/iranjradiol.13260. eCollection 2016 Jan.

Abstract

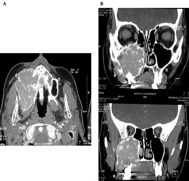
Primary hyperparathyroidism is an endocrine disorder recognized by hyperfunction of parathyroid gland, which can result in persistent bone absorption and brown tumor. Facial involvement of brown tumor is rare and usually involves the mandible. Giant cell tumor ( GCT) is an expansile osteolytic bone tumor which is very similar in clinical, radiological and histological features to brown tumor. Herein, we present a 35-year-old woman with an 11-month history of gradually swelling of the right maxilla and buccal spaces began during pregnancy two years ago. No other clinical or laboratory problems were detected. Postpartum CT scan demonstrated a lytic expansile multi-septated mass lesion containing enhancing areas, which initially described as GCT of the right maxillary sinus following surgery. Four months later, gradual progressive swelling of the bed of tumor was recurred and revised pathological slices were compatible with GCT. Regarding patient recent paresthesia, repeated laboratory tests were performed. Finally, according to laboratory results (elevation of serum calcium and parathyroid hormone), ultrasonographic findings and radioisotope scan (Sestamibi), probable parathyroid mass and brown tumor of maxilla was diagnosed. Pathology confirmed hyperplasia of right inferior parathyroid gland. Our case was thought-provoking due to its interesting clinical presentation and unusual presentation of brown tumor in parathyroid hyperplasia.

摘要

原发性甲状旁腺功能亢进是一种因甲状旁腺功能亢进而被识别的内分泌疾病,可导致持续性骨质吸收和棕色瘤。棕色瘤累及面部较为罕见,通常累及下颌骨。骨巨细胞瘤(GCT)是一种膨胀性溶骨性骨肿瘤,在临床、影像学和组织学特征上与棕色瘤非常相似。在此,我们报告一名35岁女性,自两年前怀孕期间开始出现右上颌骨和颊间隙逐渐肿胀,病程11个月。未发现其他临床或实验室问题。产后CT扫描显示一个溶骨性膨胀性多房性肿块病变,内有强化区域,术后最初诊断为右上颌窦骨巨细胞瘤。四个月后,肿瘤床逐渐进行性肿胀复发,再次病理切片符合骨巨细胞瘤。鉴于患者近期出现感觉异常,进行了多次实验室检查。最后,根据实验室检查结果(血清钙和甲状旁腺激素升高)、超声检查结果和放射性核素扫描(锝[99mTc]甲氧基异丁基异腈),诊断为可能的甲状旁腺肿块和上颌骨棕色瘤。病理证实右下甲状旁腺增生。我们的病例因其有趣的临床表现以及甲状旁腺增生中棕色瘤的不寻常表现而发人深省。

https://cdn.ncbi.nlm.nih.gov/pmc/blobs/3982/4841893/9aa5961c22b2/iranjradiol-13-01-13260-g001.jpg

文献AI研究员

20分钟写一篇综述,助力文献阅读效率提升50倍。

立即体验

用中文搜PubMed

大模型驱动的PubMed中文搜索引擎

马上搜索

文档翻译

学术文献翻译模型,支持多种主流文档格式。

立即体验