Suppr超能文献

犬巴贝斯虫裂殖子表面抗原和分泌抗原(BcMSA1和BcSA1)的分子鉴定及抗原特性分析

Molecular identification and antigenic characterization of a merozoite surface antigen and a secreted antigen of Babesia canis (BcMSA1 and BcSA1).

作者信息

Zhou Mo, Cao Shinuo, Luo Yuzi, Liu Mingming, Wang Guanbo, Moumouni Paul Franck Adjou, Jirapattharasate Charoonluk, Iguchi Aiko, Vudriko Patrick, Terkawi Mohamad Alaa, Löwenstein Mario, Kern Angela, Nishikawa Yoshifumi, Suzuki Hiroshi, Igarashi Ikuo, Xuan Xuenan

机构信息

National Research Center for Protozoan Diseases, Obihiro University of Agriculture and Veterinary Medicine, Obihiro, Hokkaido, 080-8555, Japan.

Harbin Veterinary Research Institute, CAAS-Michigan State University Joint Laboratory of Innate Immunity, State Key Laboratory of Veterinary Biotechnology, Chinese Academy of Agricultural Sciences, Maduan Street 427, Nangang District, Harbin, 150001, PR China.

出版信息

Parasit Vectors. 2016 May 3;9:257. doi: 10.1186/s13071-016-1518-1.

Abstract

BACKGROUND

Babesia canis is an apicomplexan tick-transmitted hemoprotozoan responsible for causing canine babesiosis in Europe and west Asia. Despite its importance, there is no known rapid diagnostic kit detection of B. canis infection in dogs. The present study identified two novel antigens of B. canis and used the recombinant antigens to establish a rapid, specific and sensitive serodiagnostic technique for detection of B. canis infection.

METHODS

A complementary DNA (cDNA) expression library was constructed from the mRNA of B. canis and immunoscreened using B. canis-infected dog sera. The cDNAs encoding a merozoite surface antigen and a secreted antigen protein were identified and designated as BcMSA1 and BcSA1, respectively. The recombinant BcMSA1 and BcSA1 (rBcMSA1 and rBcSA1) expressed in Escherichia coli were purified and injected into mice for production of anti-sera. The native proteins were characterized by Western blot analysis and immunofluorescence. Furthermore, indirect enzyme-linked immunosorbent assays (iELISA) and rapid immunochromatographic tests (ICT) based on rBcMSA1 or rBcSA1 were established and evaluated to test specific antibodies in consecutive plasma samples from two B. canis-infected dogs.

RESULTS

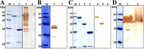
Antiserum raised against rBcMSA1 and rBcSA1 recognized the 39 kDa and 44 kDa native proteins by Western blot analysis, respectively. In addition, immunofluorescence and confocal microscopic observations revealed that BcMSA1 was found on the surface of parasites. However, BcSA1 localized in the matrix of the merozoites. The ELISA and ICT based on rBcMSA1 or rBcSA1 could detect specific antibodies in consecutive plasma samples from two B. canis-infected dogs. They showed no cross-reactions against the serum samples collected from dogs experimentally infected with closely related parasites.

CONCLUSION

Taken together, the current results indicated that the rBcMSA1 and rBcSA1 are promising serodiagnostic antigens for developing iELISA and ICT to detect B. canis infection. To our knowledge, this study is the first to report BcMSA1 and BcSA1 as potential antigenic proteins for serodiagnosis of B. canis infection in dogs.

摘要

背景

犬巴贝斯虫是一种顶复门蜱传播的血液原虫,在欧洲和西亚可导致犬巴贝斯虫病。尽管其具有重要性,但目前尚无用于检测犬感染犬巴贝斯虫的快速诊断试剂盒。本研究鉴定了两种犬巴贝斯虫的新型抗原,并利用重组抗原建立了一种快速、特异且灵敏的血清学诊断技术,用于检测犬巴贝斯虫感染。

方法

从犬巴贝斯虫的mRNA构建互补DNA(cDNA)表达文库,并用感染犬巴贝斯虫的犬血清进行免疫筛选。鉴定出编码裂殖子表面抗原和分泌抗原蛋白的cDNA,分别命名为BcMSA1和BcSA1。在大肠杆菌中表达的重组BcMSA1和BcSA1(rBcMSA1和rBcSA1)经纯化后注射到小鼠体内以产生抗血清。通过蛋白质免疫印迹分析和免疫荧光对天然蛋白进行表征。此外,建立并评估了基于rBcMSA1或rBcSA1的间接酶联免疫吸附测定(iELISA)和快速免疫层析试验(ICT),以检测来自两只感染犬巴贝斯虫的犬的连续血浆样本中的特异性抗体。

结果

通过蛋白质免疫印迹分析,针对rBcMSA1和rBcSA1产生的抗血清分别识别出39 kDa和44 kDa的天然蛋白。此外,免疫荧光和共聚焦显微镜观察显示,BcMSA1存在于寄生虫表面。然而,BcSA1定位于裂殖子的基质中。基于rBcMSA1或rBcSA1的ELISA和ICT能够检测来自两只感染犬巴贝斯虫的犬的连续血浆样本中的特异性抗体。它们对从实验感染密切相关寄生虫的犬收集的血清样本无交叉反应。

结论

综上所述,目前的结果表明,rBcMSA1和rBcSA1是开发用于检测犬巴贝斯虫感染的iELISA和ICT的有前景的血清学诊断抗原。据我们所知,本研究首次报道BcMSA1和BcSA1作为犬巴贝斯虫感染血清学诊断的潜在抗原蛋白。

https://cdn.ncbi.nlm.nih.gov/pmc/blobs/9847/4855366/19675c1df962/13071_2016_1518_Fig1_HTML.jpg

文献AI研究员

20分钟写一篇综述,助力文献阅读效率提升50倍。

立即体验

用中文搜PubMed

大模型驱动的PubMed中文搜索引擎

马上搜索

文档翻译

学术文献翻译模型,支持多种主流文档格式。

立即体验