Doan Ninh, Patel Mohit, Nguyen Ha Son, Montoure Andrew, Shabani Saman, Gelsomino Michael, Janich Karl, Mueller Wade
Department of Neurosurgery, Medical College of Wisconsin, Milwaukee, Wisconsin, USA
Department of Neurosurgery, Medical College of Wisconsin, Milwaukee, Wisconsin, USA.
J Surg Case Rep. 2016 May 10;2016(5):rjw076. doi: 10.1093/jscr/rjw076.
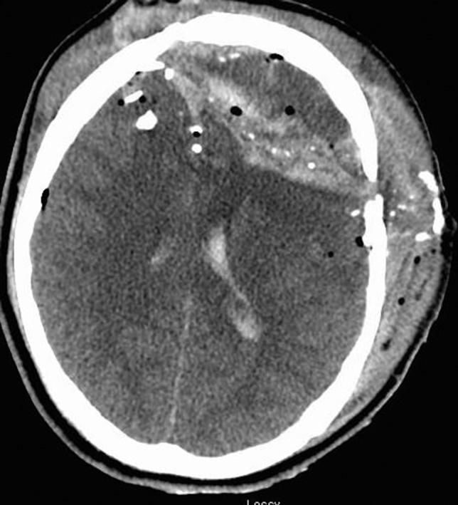
The gunshot wound to the head (GSWH) is associated with a mortality rate of 20-90% in adults and 20-65% in the pediatric population. Due to the high rates of mortality and morbidity, the management of these patients has been a topic of high interest in the neurosurgical community. We present an 18-year-old male suffering a GSWH with the bullet following a transventricular trajectory and crossing the midsagittal plane, creating extensive intracranial injuries. Despite a calculated mortality rate of >97% from these devastating injuries, the patient survived the GSWH and made a remarkable recovery. The young adult brain still maintains a high potential for neurological plasticity. This may partially explain why the young adult population with a severe GSWH can have a better than expected recovery course. Bifrontal GSW injuries may have much better outcomes than more posterior injuries as has been demonstrated in this patient in this case.