Wetherill Reagan R, Jagannathan Kanchana, Hager Nathan, Maron Melanie, Franklin Teresa R
Department of Psychiatry, University of Pennsylvania, Philadelphia, PA 19104 USA.
Biol Sex Differ. 2016 May 10;7:24. doi: 10.1186/s13293-016-0078-6. eCollection 2016.
Sex differences in tobacco-related morbidity and mortality exist, with women experiencing more severe health consequences and greater difficulty with smoking cessation than men. One factor that likely contributes to these sex differences is menstrual cycle phase and associated neural and cognitive changes associated with ovarian hormone fluctuations across the menstrual cycle. Previously, we showed that naturally cycling, cigarette-dependent women in the follicular phase of their menstrual cycle showed greater reward-related neural activity and greater craving during smoking cue exposure. To better understand our results and the observed sex differences in smoking behavior and relapse, we explored potential menstrual cycle phase differences in resting-state functional connectivity (rsFC) in naturally cycling, cigarette-dependent women. Understanding how menstrual cycle phase affects neural processes, cognition, and behavior is a critical step in developing more efficacious treatments and in selecting the best treatment option based on a patient's needs.
Resting-state functional connectivity analyses were used to examine connectivity strength differences between naturally cycling, premenopausal, cigarette-dependent women who were in the follicular phase (FPs; n = 22) and those in the luteal phase (LPs, n = 16) of their menstrual cycle. We also explored associations between connectivity strength and attentional bias to smoking cues.
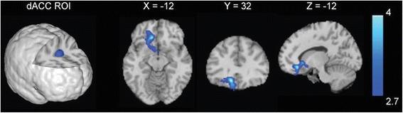
Compared with LPs, FPs showed decreased rsFC between the dorsal anterior cingulate cortex (dACC) and the subgenual anterior cingulate cortex, medial orbitofrontal cortex (mOFC), and ventral striatum. Among FPs, rsFC strength between the dACC and the bilateral dorsolateral prefrontal cortex (DLPFC), the bilateral dorsal striatum, and the left temporal gyrus was inversely correlated with attentional bias to smoking cues.
This is the first study to explore menstrual cycle phase differences in rsFC among cigarette-dependent women, and results suggest that FPs show differences in rsFC underlying cognitive control, which could place them at greater risk for continued smoking and relapse. These findings provide new insights toward individualized treatment strategies.
烟草相关的发病率和死亡率存在性别差异,女性比男性面临更严重的健康后果,戒烟也更困难。月经周期阶段以及月经周期中卵巢激素波动相关的神经和认知变化可能是导致这些性别差异的一个因素。此前,我们发现,处于月经周期卵泡期、自然周期且依赖香烟的女性在接触吸烟提示时表现出更强的奖赏相关神经活动和更强的渴望。为了更好地理解我们的研究结果以及观察到的吸烟行为和复吸中的性别差异,我们探讨了自然周期、依赖香烟的女性静息态功能连接(rsFC)中潜在的月经周期阶段差异。了解月经周期阶段如何影响神经过程、认知和行为是开发更有效治疗方法以及根据患者需求选择最佳治疗方案的关键一步。
采用静息态功能连接分析来检查处于月经周期卵泡期(FPs;n = 22)和黄体期(LPs,n = 16)的自然周期、绝经前、依赖香烟的女性之间的连接强度差异。我们还探讨了连接强度与对吸烟提示的注意偏向之间的关联。
与LPs相比,FPs在背侧前扣带回皮质(dACC)与膝下前扣带回皮质、内侧眶额皮质(mOFC)和腹侧纹状体之间的rsFC降低。在FPs中,dACC与双侧背外侧前额叶皮质(DLPFC)、双侧背侧纹状体和左侧颞回之间的rsFC强度与对吸烟提示的注意偏向呈负相关。
这是第一项探索依赖香烟女性rsFC月经周期阶段差异的研究,结果表明FPs在认知控制的rsFC方面存在差异,这可能使她们持续吸烟和复吸的风险更高。这些发现为个性化治疗策略提供了新的见解。