Suppr超能文献

p70S6K促进白细胞介素-6诱导的头颈部鳞状细胞癌上皮-间质转化和转移。

p70S6K promotes IL-6-induced epithelial-mesenchymal transition and metastasis of head and neck squamous cell carcinoma.

作者信息

Wu Dandan, Cheng Jie, Sun Geng, Wu Shengjie, Li Min, Gao Zhongyuan, Zhai Sulan, Li Ping, Su Dongming, Wang Xuerong

机构信息

Department of Pharmacology, Nanjing Medical University, Nanjing, Jiangsu Province 210029, China.

Department of Basic Medicine, Kangda College of Nanjing Medical University, Lianyungang, Jiangsu Province 222000, China.

出版信息

Oncotarget. 2016 Jun 14;7(24):36539-36550. doi: 10.18632/oncotarget.9282.

Abstract

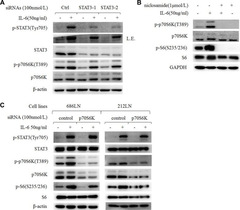
Head and neck squamous cell carcinoma (HNSCC) is the fifth most common cancer worldwide and a common cause of cancer-related death, with a 5-year survival rate of less than 60%. IL-6 has been suggested to play an important role in cancer metastasis, but its mechanism in HNSCC has not been fully clarified. p70S6K has been reported to induce epithelial-mesenchymal transition (EMT) of ovarian cancer, but its role in HNSCC remains unknown. In this study, we found that p70S6K and IL-6 were upregulated in high-metastatic HNSCC cell lines that underwent EMT when compared to paired low-metastatic cell lines. Overexpression of p70S6K promoted EMT and migration of HNSCC cells, while downregulation of p70S6K attenuated IL-6-induced EMT and cell migration. Furthermore, IL-6-induced p70S6K activation was attenuated by inhibitors of the PI3K/Akt/mTOR, MAPK/ERK, and JAK/STAT3 signaling pathways, suggesting that it located downstream of these pathways. These findings suggest that p70S6K promotes IL-6-induced EMT and metastasis of HNSCC. Targeting p70S6K for HNSCC therapy may benefit patients through the inhibition of tumor growth, as well as metastasis.

摘要

头颈部鳞状细胞癌(HNSCC)是全球第五大常见癌症,也是癌症相关死亡的常见原因,其5年生存率低于60%。有研究表明白细胞介素-6(IL-6)在癌症转移中起重要作用,但其在HNSCC中的机制尚未完全阐明。据报道,p70S6K可诱导卵巢癌上皮-间质转化(EMT),但其在HNSCC中的作用仍不清楚。在本研究中,我们发现与配对的低转移细胞系相比,p70S6K和IL-6在发生EMT的高转移HNSCC细胞系中上调。p70S6K的过表达促进了HNSCC细胞的EMT和迁移,而p70S6K的下调减弱了IL-6诱导的EMT和细胞迁移。此外,PI3K/Akt/mTOR、MAPK/ERK和JAK/STAT3信号通路的抑制剂减弱了IL-6诱导的p70S6K激活,表明其位于这些信号通路的下游。这些发现表明p70S6K促进了IL-6诱导的HNSCC的EMT和转移。针对HNSCC治疗靶向p70S6K可能通过抑制肿瘤生长以及转移使患者受益。

https://cdn.ncbi.nlm.nih.gov/pmc/blobs/a243/5095019/25d94ad1b56f/oncotarget-07-36539-g001.jpg

文献AI研究员

20分钟写一篇综述,助力文献阅读效率提升50倍。

立即体验

用中文搜PubMed

大模型驱动的PubMed中文搜索引擎

马上搜索

文档翻译

学术文献翻译模型,支持多种主流文档格式。

立即体验