Suppr超能文献

C-MYC基因扩增与表达与胃癌临床病理特征的相关性

Association Between Amplification and Expression of C-MYC Gene and Clinicopathological Characteristics of Stomach Cancer.

作者信息

Khaleghian Malihea, Jahanzad Issa, Shakoori Abbas, Emami Razavi Amirnader, Azimi Cyrus

机构信息

Department of Medical Genetics, Cancer Institute of Iran, Tehran University of Medical Sciences, Tehran, IR Iran.

Department of Pathology, Immunohistochemistry Laboratory, Cancer Institute of Iran, Tehran University of Medical Sciences, Tehran, IR Iran.

出版信息

Iran Red Crescent Med J. 2016 Jan 1;18(2):e21221. doi: 10.5812/ircmj.21221. eCollection 2016 Feb.

Abstract

BACKGROUND

The incidence rate of gastric cancer in western countries has shown a remarkable decline in the recent years while it is still the most common cancer among males in Iran. The proto-oncogene MYC, located at 8q24.1, regulates almost 15% of human genes and is activated in 20% of all tumors. The amplification of MYC and overexpression of its protein product are observed in 15 - 30% of gastric neoplasias.

OBJECTIVES

The objective of this study was to find the preferences of Chromogenic In Situ Hybridization (CISH) and Immunohistochemistry (IHC) in diagnosis and prognosis of gastric cancer.

PATIENTS AND METHODS

We studied 102 samples of gastric cancer in Iran and all the patients had undergone primary surgical resection at the Cancer Institute Hospital, Tehran University of Medical Sciences. The CISH and IHC techniques were applied for all our samples. All of the samples had adenocarcinoma gastric cancer and were selected randomly. Also, the type of study was cross sectional. The sample size was 100 patients.

RESULTS

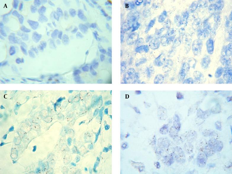
Our data revealed that both diffuse and intestinal types of gastric cancer occurred significantly more in males than females. Our results showed that there was an indication of some correlation between grades and CISH, although the difference was not significant. Our data also showed that CISH positive patients (43%) were more frequent compared to IHC positive patients (14.7%). There was a correlation between CISH and IHC. These results revealed that there was a significant difference between grades and IHC. There was also no statistical difference between CISH amplification in diffuse and intestinal types.

CONCLUSIONS

From the results, it could be concluded that for administration of the treatment of stomach cancer, and progress and prognosis of tumor, which is important for patients and clinicians, the CISH is a better and more feasible test than IHC, in regards to sensitivity and specificity.

摘要

背景

近年来西方国家胃癌发病率显著下降,而在伊朗,胃癌仍是男性中最常见的癌症。原癌基因MYC位于8q24.1,调控近15%的人类基因,在所有肿瘤中有20%被激活。在15% - 30%的胃肿瘤中观察到MYC扩增及其蛋白产物过表达。

目的

本研究的目的是找出显色原位杂交(CISH)和免疫组织化学(IHC)在胃癌诊断和预后方面的优势。

患者与方法

我们研究了伊朗的102例胃癌样本,所有患者均在德黑兰医科大学癌症研究所医院接受了初次手术切除。对所有样本应用了CISH和IHC技术。所有样本均为胃腺癌,且随机选取。此外,研究类型为横断面研究。样本量为100例患者。

结果

我们的数据显示,弥漫型和肠型胃癌在男性中的发生率均显著高于女性。我们的结果表明,尽管差异不显著,但分级与CISH之间存在一定相关性。我们的数据还显示,CISH阳性患者(43%)比IHC阳性患者(14.7%)更常见。CISH和IHC之间存在相关性。这些结果表明分级与IHC之间存在显著差异。弥漫型和肠型在CISH扩增方面也无统计学差异。

结论

从结果可以得出结论,对于胃癌治疗的实施以及肿瘤的进展和预后(这对患者和临床医生都很重要),就敏感性和特异性而言,CISH是比IHC更好且更可行的检测方法。

https://cdn.ncbi.nlm.nih.gov/pmc/blobs/403e/4863201/ff0d42351f3a/ircmj-18-02-21221-g001.jpg

文献AI研究员

20分钟写一篇综述,助力文献阅读效率提升50倍。

立即体验

用中文搜PubMed

大模型驱动的PubMed中文搜索引擎

马上搜索

文档翻译

学术文献翻译模型,支持多种主流文档格式。

立即体验