Suppr超能文献

获得性免疫缺陷综合征中的持久性隆起性红斑:它会是免疫重建炎症综合征吗?

Erythema elevatum diutinum in acquired immune deficiency syndrome: Can it be an immune reconstitution inflammatory syndrome?

作者信息

Jose Sheethal K, Marfatia Yogesh S

机构信息

Department of Skin-VD, SSG Hospital, Vadodara, Gujarat, India.

出版信息

Indian J Sex Transm Dis AIDS. 2016 Jan-Jun;37(1):81-4. doi: 10.4103/0253-7184.180287.

Abstract

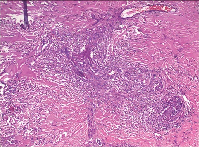
A 47-year-old male with acquired immune deficiency syndrome (AIDS) presented with multiple hyperpigmented papules and nodules on both ankles, dorsum of bilateral feet and soles. It was associated with mild itching and pain. The patient was diagnosed with human immunodeficiency virus (HIV) in 2007. First-line antiretroviral therapy (ART) was started in 2009 to which he responded initially. He was shifted to second-line ART 11 months ago in March 2015 due to treatment failure as suggested by CD4 count of 50 cells/mm(3). The present skin lesions started 2 months after the initiation of second-line ART. Differential diagnoses considered were Kaposi's sarcoma and immune reconstitution inflammatory syndrome (IRIS) related infections, but biopsy was suggestive of erythema elevatum diutinum (EED). Patient was started on oral dapsone 100 mg/day and increased to 200 mg/day to which he is responding gradually. In the present case, appearance of the lesions after initiation of second-line ART coupled with increase in CD4 count and decrease of viral load below undetectable level suggest that EED could be an IRIS.

摘要

一名47岁的获得性免疫缺陷综合征(艾滋病)男性患者,双侧脚踝、双足背及足底出现多个色素沉着性丘疹和结节,伴有轻度瘙痒和疼痛。该患者于2007年被诊断为人免疫缺陷病毒(HIV)感染。2009年开始一线抗逆转录病毒治疗(ART),最初治疗有效。因CD4细胞计数为50个/立方毫米提示治疗失败,于2015年3月(11个月前)转用二线ART。目前的皮肤病变在开始二线ART后2个月出现。鉴别诊断考虑为卡波西肉瘤和免疫重建炎症综合征(IRIS)相关感染,但活检提示为持久性隆起性红斑(EED)。患者开始口服氨苯砜,初始剂量为100毫克/天,后增至200毫克/天,病情逐渐好转。在本病例中,二线ART开始后病变出现,同时CD4细胞计数增加且病毒载量降至检测不到水平,提示EED可能是一种IRIS。

https://cdn.ncbi.nlm.nih.gov/pmc/blobs/0e19/4857691/e81b6411b542/IJSTD-37-81-g001.jpg

文献AI研究员

20分钟写一篇综述,助力文献阅读效率提升50倍。

立即体验

用中文搜PubMed

大模型驱动的PubMed中文搜索引擎

马上搜索

文档翻译

学术文献翻译模型,支持多种主流文档格式。

立即体验