Sanjo Emi, Tamamoto Fumihiko, Ogawa Shoichi, Sano Maiko, Yoshimura Tetsunori, Nozaki Miwako
Department of Radiology, Tokyo Metropolitan Ohtsuka Hospital, 2-8-1 Minamiohtsuka, Toshima-ku, Tokyo 170-8476, Japan; Department of Radiology, Dokkyo Medical University Koshigaya Hospital, 2-1-50 Minamikoshigaya, Koshigaya-shi, Saitama 343-0845, Japan.
Department of Radiology, Tokyo Metropolitan Ohtsuka Hospital, 2-8-1 Minamiohtsuka, Toshima-ku, Tokyo 170-8476, Japan.
Case Rep Radiol. 2016;2016:4987105. doi: 10.1155/2016/4987105. Epub 2016 Apr 24.
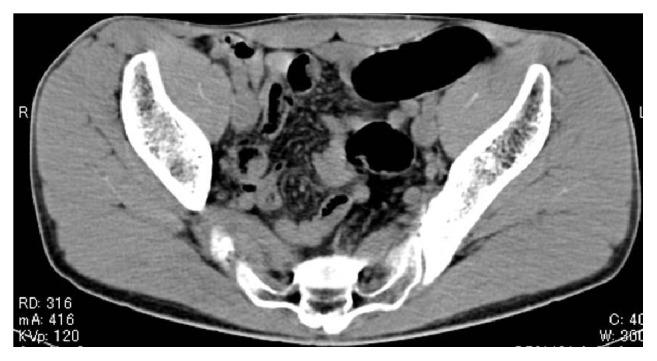
Radiologic diagnosis of colorectal foreign bodies is usually not very difficult, because inserted materials are often clearly visible on plain abdominal radiographs. However, when they are radiolucent, a plain abdominal radiograph has been reported to be useless. As radiolucent colorectal foreign bodies appear as radiolucent artificial contours or air-trapped materials in the pelvis, almost always the diagnosis itself can be made by careful evaluation of plain abdominal radiographs. We encountered a case of casting type of radiolucent colorectal foreign body formed from polyurethane foam. It presented us with unexpected radiologic findings and led to diagnostic difficulties.
结直肠异物的放射学诊断通常不是很困难,因为插入的异物在腹部平片上往往清晰可见。然而,当异物为透射线时,据报道腹部平片并无诊断价值。由于透射线的结直肠异物在骨盆中表现为透射线的人工轮廓或气体包裹物,几乎总是可以通过仔细评估腹部平片来做出诊断。我们遇到一例由聚氨酯泡沫形成的铸型透射线结直肠异物病例。它给我们带来了意想不到的放射学表现,并导致了诊断困难。