Suppr超能文献

右美托咪定后处理对心肌缺血的影响及PI3K/Akt依赖性信号通路在再灌注损伤中的作用。

Effects of dexmedetomidine postconditioning on myocardial ischemia and the role of the PI3K/Akt-dependent signaling pathway in reperfusion injury.

作者信息

Cheng Xiang Yang, Gu Xiao Yu, Gao Qin, Zong Qiao Feng, Li Xiao Hong, Zhang Ye

机构信息

Department of Anesthesiology, The Second Affiliated Hospital of Anhui Medical University, Hefei, Anhui 230601, P.R. China.

Department of Anesthesiology, The First Affiliated Hospital of Bengbu Medical College, Bengbu, Anhui 233004, P.R. China.

出版信息

Mol Med Rep. 2016 Jul;14(1):797-803. doi: 10.3892/mmr.2016.5345. Epub 2016 May 24.

Abstract

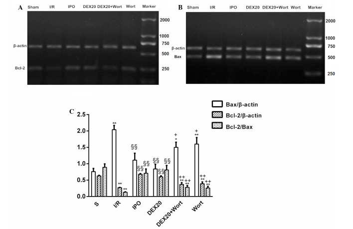
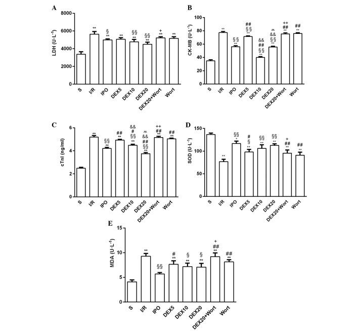
The present study aimed to determine whether post-ischemic treatment with dexmedetomidine (DEX) protected the heart against acute myocardial ischemia/reperfusion (I/R)‑induced injury in rats. The phosphatidylinositol‑3 kinase/protein kinase B(PI3K/Akt)‑dependent signaling pathway was also investigated. Male Sprague Dawley rats (n=64) were subjected to ligation of the left anterior descending artery (LAD), which produced ischemia for 25 min, followed by reperfusion. Following LAD ligation, rats were treated with DEX (5, 10 and 20 µg/kg) or underwent post‑ischemic conditioning, which included three cycles of ischemic insult. In order to determine the role of the PI3K/Akt signaling pathway, wortmannin (Wort), a PI3K inhibitor, was used to treat a group of rats that had also been treated with DEX (20 µg/kg). Post‑reperfusion, lactate dehydrogenase (LDH), cardiac troponin I (cTnI), creatine kinase isoenzymes (CK‑MB), superoxide dismutase (SOD) and malondialdehyde (MDA) serum levels were measured using an ultraviolet spectrophotometer. The protein expression levels of phosphorylated (p)‑Akt, Ser9‑p‑glycogen synthase kinase‑3β (p‑GSK‑3β) and cleaved caspase‑3 were detected in heart tissue by western blotting. The mRNA expression levels of B‑cell lymphoma 2 (Bcl‑2) and Bcl‑2‑associated X protein (Bax) were detected using reverse transcription‑polymerase chain reaction. At the end of the experiment, the hearts were removed and perfused in an isolated perfusion heart apparatus with Evans blue (1%) in order to determine the non‑ischemic areas. The risk and infarct areas of the heart were not dyed. As expected, I/R induced myocardial infarction, as determined by the increased serum levels of cTnI, CK‑MB and MDA, and the decreased levels of SOD. Post‑ischemic treatment with DEX increased the expression levels of p‑Akt and p‑GSK‑3β, whereas caspase‑3 expression was reduced following DEX treatment compared with in the I/R group. Compared with the I/R group, the ratio of Bcl‑2/Bax at the mRNA level was elevated in the DEX and ischemic post‑conditioning groups, whereas the expression levels of Bax were decreased. Conversely, the effects of DEX were attenuated by Wort. These results indicated that, similar to post‑ischemic conditioning, post‑ischemic treatment with DEX protects the heart against I/R via the PI3K/Akt‑dependent signaling pathway, possibly by activating GSK‑3β.

摘要

本研究旨在确定右美托咪定(DEX)缺血后处理是否能保护大鼠心脏免受急性心肌缺血/再灌注(I/R)损伤。同时还研究了磷脂酰肌醇-3激酶/蛋白激酶B(PI3K/Akt)依赖性信号通路。将64只雄性Sprague Dawley大鼠进行左冠状动脉前降支(LAD)结扎,造成缺血25分钟,随后进行再灌注。LAD结扎后,大鼠接受DEX(5、10和20μg/kg)治疗或进行缺血后处理,后者包括三个周期的缺血性损伤。为了确定PI3K/Akt信号通路的作用,使用PI3K抑制剂渥曼青霉素(Wort)治疗一组也接受了DEX(20μg/kg)治疗的大鼠。再灌注后,使用紫外分光光度计测量血清乳酸脱氢酶(LDH)、心肌肌钙蛋白I(cTnI)、肌酸激酶同工酶(CK-MB)、超氧化物歧化酶(SOD)和丙二醛(MDA)水平。通过蛋白质印迹法检测心脏组织中磷酸化(p)-Akt、丝氨酸9-磷酸化糖原合酶激酶-3β(p-GSK-3β)和裂解的半胱天冬酶-3的蛋白表达水平。使用逆转录-聚合酶链反应检测B细胞淋巴瘤2(Bcl-2)和Bcl-2相关X蛋白(Bax)的mRNA表达水平。实验结束时,取出心脏并在离体灌注心脏装置中用1%伊文思蓝灌注,以确定非缺血区域。心脏的危险区和梗死区未被染色。正如预期的那样,I/R导致了心肌梗死,这可通过cTnI、CK-MB和MDA血清水平升高以及SOD水平降低来确定。DEX缺血后处理增加了p-Akt和p-GSK-3β的表达水平,而与I/R组相比,DEX处理后半胱天冬酶-3表达降低。与I/R组相比,DEX组和缺血后处理组在mRNA水平上Bcl-2/Bax的比值升高,而Bax的表达水平降低。相反,Wort减弱了DEX的作用。这些结果表明,与缺血后处理类似,DEX缺血后处理通过PI3K/Akt依赖性信号通路保护心脏免受I/R损伤,可能是通过激活GSK-3β实现的。

https://cdn.ncbi.nlm.nih.gov/pmc/blobs/2670/4918562/95fe1388754a/MMR-14-01-0797-g00.jpg

文献AI研究员

20分钟写一篇综述,助力文献阅读效率提升50倍。

立即体验

用中文搜PubMed

大模型驱动的PubMed中文搜索引擎

马上搜索

文档翻译

学术文献翻译模型,支持多种主流文档格式。

立即体验