Suppr超能文献

1例采用骨髓穿刺针硬化治疗的拇指软组织与骨内静脉畸形病例。

A case of combined soft tissue and intraosseous venous malformation of the thumb treated with sclerotherapy using a bone marrow aspiration needle.

作者信息

Ishikawa Kosuke, Sasaki Satoru, Furukawa Hiroshi, Nagao Munetomo, Iwasaki Daisuke, Fujita Munezumi, Saito Noriko, Oyama Akihiko, Yamamoto Yuhei

机构信息

Center for Vascular Anomalies, KKR Sapporo Medical Center Tonan Hospital , Kita 1, Nishi 6, Chuou-ku, Sapporo, 060-0001, Japan.

Department of Plastic and Reconstructive Surgery, Hokkaido University Graduate School of Medicine , Kita 15, Nishi 7, Kita-ku, Sapporo, 060-8638, Japan.

出版信息

Case Reports Plast Surg Hand Surg. 2015 Mar 15;2(2):37-9. doi: 10.3109/23320885.2014.1003561. eCollection 2015.

Abstract

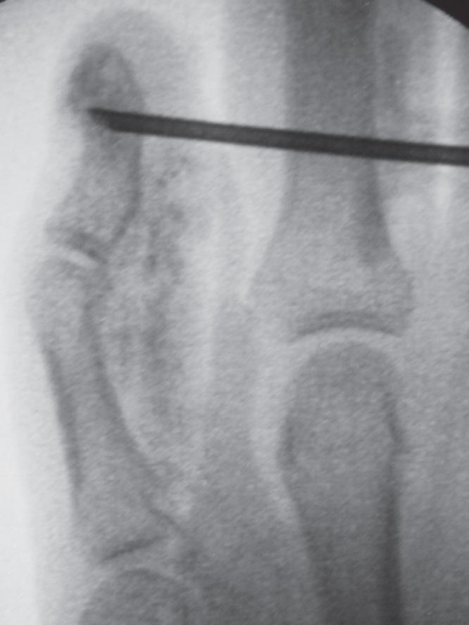
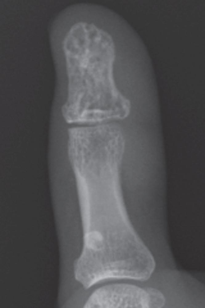
Vascular malformations of bone are complex lesions that can cause deformity and pain. A combined soft tissue and intraosseous venous malformation of the left thumb in a girl was treated with two sessions of ethanol sclerotherapy using a bone marrow aspiration needle under fluoroscopic guidance.

摘要

骨血管畸形是一种复杂的病变,可导致畸形和疼痛。一名女孩左拇指的软组织和骨内静脉联合畸形,在透视引导下使用骨髓穿刺针进行了两期乙醇硬化治疗。

https://cdn.ncbi.nlm.nih.gov/pmc/blobs/6e30/4623548/9c00bb17405b/icrp-2-037-g001.jpg

文献AI研究员

20分钟写一篇综述,助力文献阅读效率提升50倍。

立即体验

用中文搜PubMed

大模型驱动的PubMed中文搜索引擎

马上搜索

文档翻译

学术文献翻译模型,支持多种主流文档格式。

立即体验