Suppr超能文献

与自身免疫性甲状腺炎相关的类固醇反应性脑病(SREAT)表现为重度抑郁症。

Steroid responsive encephalopathy associated with autoimmune thyroiditis (SREAT) presenting as major depression.

作者信息

Endres Dominique, Perlov Evgeniy, Stich Oliver, Tebartz van Elst Ludger

机构信息

Section for Experimental Neuropsychiatry, Department of Psychiatry & Psychotherapy, Medical Center, University of Freiburg, Hauptstr. 5, 79104, Freiburg, Germany.

Department of Neurology, Medical Center, University of Freiburg, Breisacher Str. 64, 79106, Freiburg, Germany.

出版信息

BMC Psychiatry. 2016 Jun 6;16:184. doi: 10.1186/s12888-016-0897-3.

Abstract

BACKGROUND

Hashimoto's encephalopathy is a neuropsychiatric disease with symptoms of cognitive impairment, stroke-like episodes, seizures, and psychotic or affective symptoms associated with autoimmune thyroiditis and excellent steroid responsiveness; therefore, it is also called "steroid responsive encephalopathy associated with autoimmune thyroiditis" (SREAT).

CASE PRESENTATION

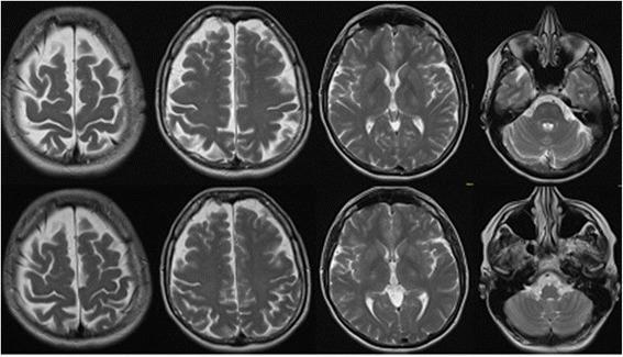
We present the case of a 50-year-old woman who developed a first-onset depressive syndrome with predominant cognitive impairment and inability to work. Antidepressive treatment and cognitive behavioral therapy over two years were unsuccessful. Neurological examination was unremarkable. Serum analysis showed increased thyroid peroxidase and thyroglobulin antibodies. Cerebrospinal fluid protein and albumin quotient were increased. Magnetic resonance imaging depicted unspecific, supratentorial white matter lesions and frontal accentuated brain atrophy. Electroencephalography was normal. Neuropsychological testing for attentional performance was below average. High-dose intravenous treatment with methylprednisolone over 5 days and oral dose reduction over 3 weeks led to the sustained improvement of clinical symptoms. Following discharge from the hospital, the patient returned to work, and 6.5 months after the start of therapy, no neuropsychological deficit remained.

CONCLUSION

This case report illustrates that SREAT might present with purely depressive symptoms, thus mimicking classical major depression. In such cases, corticosteroid therapy may be an effective treatment option.

摘要

背景

桥本脑病是一种神经精神疾病,具有认知障碍、类中风发作、癫痫发作以及与自身免疫性甲状腺炎相关的精神病性或情感症状,且对类固醇反应良好;因此,它也被称为“自身免疫性甲状腺炎相关性类固醇反应性脑病”(SREAT)。

病例报告

我们报告一例50岁女性,首次出现以认知障碍为主且无法工作的抑郁综合征。两年的抗抑郁治疗和认知行为疗法均未成功。神经系统检查无异常。血清分析显示甲状腺过氧化物酶和甲状腺球蛋白抗体升高。脑脊液蛋白和白蛋白商数升高。磁共振成像显示非特异性幕上白质病变和额叶明显脑萎缩。脑电图正常。注意力表现的神经心理学测试低于平均水平。5天的大剂量静脉注射甲泼尼龙治疗及3周的口服剂量递减导致临床症状持续改善。出院后,患者恢复工作,治疗开始6.5个月后,神经心理学缺陷消失。

结论

本病例报告表明,SREAT可能仅表现为抑郁症状,从而酷似典型的重度抑郁症。在这种情况下,皮质类固醇治疗可能是一种有效的治疗选择。

https://cdn.ncbi.nlm.nih.gov/pmc/blobs/5e4b/4895894/7a37e38c80f4/12888_2016_897_Fig1_HTML.jpg

相似文献

3
Steroid-responsive depression.
BMJ Case Rep. 2013 Apr 18;2013:bcr2013009101. doi: 10.1136/bcr-2013-009101.
6
Hashimoto's encephalopathy: A rare cause of refractory status epilepticus.
CNS Neurosci Ther. 2021 Mar;27(3):372-375. doi: 10.1111/cns.13562. Epub 2020 Dec 21.
7
Steroid-responsive encephalopathy in autoimmune thyroiditis (SREAT) as a differential diagnosis of Creutzfeldt-Jakob disease.
Neurol Neurochir Pol. 2023;57(2):198-205. doi: 10.5603/PJNNS.a2023.0005. Epub 2023 Feb 2.
8
Steroid responsive encephalopathy associated with autoimmune thyroiditis (SREAT) in childhood.
J Pediatr Endocrinol Metab. 2014 Jul;27(7-8):737-44. doi: 10.1515/jpem-2013-0435.
9
Hashimoto's Encephalopathy Revealed by Hypochondriacal Delusion: A Case Report Involving a Male Patient.
Am J Mens Health. 2020 Sep-Oct;14(5):1557988320955080. doi: 10.1177/1557988320955080.
10
Hashimoto's encephalopathy mimicking a brain tumor and its pathological findings: A case report.
J Neurol Sci. 2018 Nov 15;394:141-143. doi: 10.1016/j.jns.2018.09.008. Epub 2018 Sep 8.

引用本文的文献

1
A Case Series of Young People Receiving Adjunctive Immunotherapy for Neuroimmune-Mediated Major Mood or Psychotic Syndromes.
Biol Psychiatry Glob Open Sci. 2025 Jul 7;5(6):100564. doi: 10.1016/j.bpsgos.2025.100564. eCollection 2025 Nov.
2
An Intriguing Case of Delirium: Recognizing Steroid-Responsive Encephalopathy Associated With Autoimmune Thyroiditis.
Cureus. 2024 Sep 29;16(9):e70447. doi: 10.7759/cureus.70447. eCollection 2024 Sep.
4
Encephalopathy of Autoimmune Origin: Steroid-Responsive Encephalopathy With Associated Thyroiditis.
AACE Clin Case Rep. 2023 Oct 6;9(6):205-208. doi: 10.1016/j.aace.2023.10.001. eCollection 2023 Nov-Dec.
5
The use of intravenous immunoglobulin in the treatment of Hashimoto's encephalopathy: case based review.
Front Neurol. 2023 Sep 7;14:1243787. doi: 10.3389/fneur.2023.1243787. eCollection 2023.
7
Probable Autoimmune Depression in a Patient With Multiple Sclerosis and Antineuronal Antibodies.
Front Psychiatry. 2020 Aug 13;11:745. doi: 10.3389/fpsyt.2020.00745. eCollection 2020.
9
Hashimoto's encephalopathy in association with retinitis pigmentosa - First reported case.
J Family Med Prim Care. 2020 Mar 26;9(3):1765-1767. doi: 10.4103/jfmpc.jfmpc_1197_19. eCollection 2020 Mar.
10
Systemic Lupus Erythematosus With Isolated Psychiatric Symptoms and Antinuclear Antibody Detection in the Cerebrospinal Fluid.
Front Psychiatry. 2019 Apr 25;10:226. doi: 10.3389/fpsyt.2019.00226. eCollection 2019.

本文引用的文献

1
Association between autoimmune thyroiditis and depressive disorder in psychiatric outpatients.
Eur Arch Psychiatry Clin Neurosci. 2015 Feb;265(1):67-72. doi: 10.1007/s00406-014-0529-1. Epub 2014 Sep 6.
2
Hashimoto's encephalopathy: a brief review.
Curr Neurol Neurosci Rep. 2014 Sep;14(9):476. doi: 10.1007/s11910-014-0476-2.
3
Hashimoto thyroiditis: clinical and diagnostic criteria.
Autoimmun Rev. 2014 Apr-May;13(4-5):391-7. doi: 10.1016/j.autrev.2014.01.007. Epub 2014 Jan 13.
4
Diagnostic and therapeutic aspects of Hashimoto's encephalopathy.
J Neurol Sci. 2013 Aug 15;331(1-2):67-71. doi: 10.1016/j.jns.2013.05.009. Epub 2013 Jun 5.
5
Steroid-responsive depression.
BMJ Case Rep. 2013 Apr 18;2013:bcr2013009101. doi: 10.1136/bcr-2013-009101.
7
Hashimoto's encephalopathy cases: Chinese experience.
BMC Neurol. 2012 Jul 24;12:60. doi: 10.1186/1471-2377-12-60.
9
Steroid-responsive encephalopathy associated with autoimmune thyroiditis.
Arch Neurol. 2006 Feb;63(2):197-202. doi: 10.1001/archneur.63.2.197.

文献AI研究员

20分钟写一篇综述,助力文献阅读效率提升50倍。

立即体验

用中文搜PubMed

大模型驱动的PubMed中文搜索引擎

马上搜索

文档翻译

学术文献翻译模型,支持多种主流文档格式。

立即体验