Suppr超能文献

用于治疗大鼠感染性股骨髁缺损的GS/DBM/PLA多孔复合生物材料

GS/DBM/PLA porous composite biomaterial for the treatment of infective femoral condyle defect in rats.

作者信息

Liu Xiaoming, Yang Lin, Li Jing, Zhang Yuming, Xu Weijun, Ren Yan, Liu Biwang, Yang Biao, Li Baoxing

机构信息

Department of Human Anatomy, Guangdong Provincial Key Laboratory of Medical Biomechanics, Southern Medical University, Guangzhou, Guangdong 510515, P.R. China; China Institute for Radiation Protection, Taiyuan, Shanxi 030006, P.R. China.

Department of Human Anatomy, Zunyi Medical College, Zhuhai, Guangdong 519041, P.R. China.

出版信息

Exp Ther Med. 2016 Jun;11(6):2107-2116. doi: 10.3892/etm.2016.3219. Epub 2016 Apr 1.

Abstract

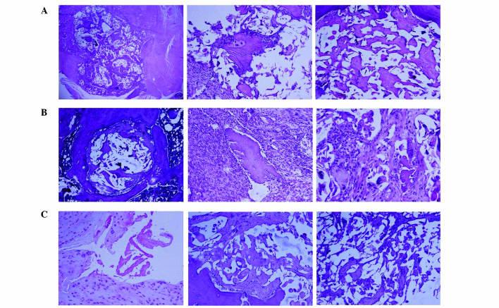
A bone defect resulting from open bone trauma may easily become infected; however, the administration of efficacious systemic antibiotics cannot be performed at safe levels. Previous studies have investigated anti-infective biomaterials that incorporate into bone and facilitate the direct application of high-concentration local antibiotics. In the present study, the effect of a novel porous composite with gentamicin sulfate (GS) in treating infected femoral condyle defects was investigated using a rat model. A novel porous composite biomaterial was prepared based on a supercritical carbon dioxide fluid technique that combined GS, demineralized bone matrix (DBM) and polylactic acid (PLA). A rat femoral condyle fracture model of infection was established. The GS/DBM/PLA composite biomaterial was implanted and its physicochemical characteristics, biocompatibility and ability to facilitate repair of infected bone defect were assessed. The GS/DBM/PLA composite biomaterial maintained the antibiotic activity of GS, with good anti-compression strength, porosity and biocompatibility. The results of the animal experiments indicated that the GS/DBM/PLA composite biomaterial exerted marked anti-infective effects and facilitated bone defect repair, while simultaneously controlling infection. Porous GS/DBM/PLA is therefore a promising composite biomaterial for use in bone tissue engineering.

摘要

开放性骨创伤导致的骨缺损很容易感染;然而,无法在安全剂量下使用有效的全身性抗生素。先前的研究已对可融入骨骼并便于直接应用高浓度局部抗生素的抗感染生物材料进行了调查。在本研究中,使用大鼠模型研究了一种含硫酸庆大霉素(GS)的新型多孔复合材料治疗感染性股骨髁缺损的效果。基于超临界二氧化碳流体技术制备了一种新型多孔复合生物材料,该材料结合了GS、脱矿骨基质(DBM)和聚乳酸(PLA)。建立了大鼠股骨髁骨折感染模型。植入GS/DBM/PLA复合生物材料,并评估其理化特性、生物相容性以及促进感染性骨缺损修复的能力。GS/DBM/PLA复合生物材料保持了GS的抗生素活性,具有良好的抗压强度、孔隙率和生物相容性。动物实验结果表明,GS/DBM/PLA复合生物材料具有显著的抗感染作用,促进了骨缺损修复,同时控制了感染。因此,多孔GS/DBM/PLA是一种有前景的用于骨组织工程的复合生物材料。

https://cdn.ncbi.nlm.nih.gov/pmc/blobs/c1c7/4887764/fb16142df3ba/etm-11-06-2107-g00.jpg

文献检索

告别复杂PubMed语法,用中文像聊天一样搜索,搜遍4000万医学文献。AI智能推荐,让科研检索更轻松。

立即免费搜索

文件翻译

保留排版,准确专业,支持PDF/Word/PPT等文件格式,支持 12+语言互译。

免费翻译文档

深度研究

AI帮你快速写综述,25分钟生成高质量综述,智能提取关键信息,辅助科研写作。

立即免费体验