Suppr超能文献

跨属屏障的基因流动——希氏海杆菌191-kb杀伤质粒向抑制杆菌的接合以及IV型分泌系统的AHL介导表达

Gene Flow Across Genus Barriers - Conjugation of Dinoroseobacter shibae's 191-kb Killer Plasmid into Phaeobacter inhibens and AHL-mediated Expression of Type IV Secretion Systems.

作者信息

Patzelt Diana, Michael Victoria, Päuker Orsola, Ebert Matthias, Tielen Petra, Jahn Dieter, Tomasch Jürgen, Petersen Jörn, Wagner-Döbler Irene

机构信息

Department of Microbiology, Microbial Communication, Helmholtz-Centre for Infection Research Braunschweig, Germany.

Leibniz Institute DSMZ-German Collection of Microorganisms and Cell Cultures Braunschweig, Germany.

出版信息

Front Microbiol. 2016 May 31;7:742. doi: 10.3389/fmicb.2016.00742. eCollection 2016.

Abstract

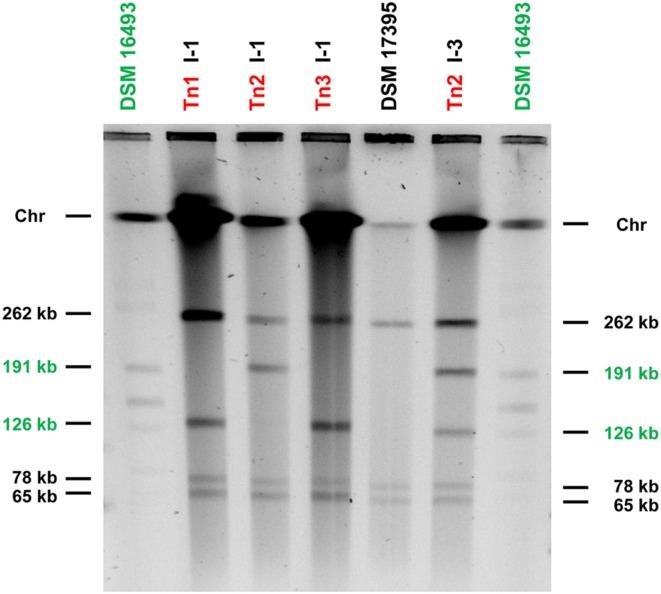
Rhodobacteraceae harbor a conspicuous wealth of extrachromosomal replicons (ECRs) and therefore the exchange of genetic material via horizontal transfer has been supposed to be a major evolutionary driving force. Many plasmids in this group encode type IV secretion systems (T4SS) that are expected to mediate transfer of proteins and/or DNA into host cells, but no experimental evidence of either has yet been provided. Dinoroseobacter shibae, a species of the Roseobacter group within the Rhodobacteraceae family, contains five ECRs that are crucial for anaerobic growth, survival under starvation and the pathogenicity of this model organism. Here we tagged two syntenous but compatible RepABC-type plasmids of 191 and 126-kb size, each encoding a T4SS, with antibiotic resistance genes and demonstrated their conjugational transfer into a distantly related Roseobacter species, namely Phaeobacter inhibens. Pulsed field gel electrophoresis showed transfer of those replicons into the recipient both individually but also together documenting the efficiency of conjugation. We then studied the influence of externally added quorum sensing (QS) signals on the expression of the T4SS located on the sister plasmids. A QS deficient D. shibae null mutant (ΔluxI1 ) lacking synthesis of N-acyl-homoserine lactones (AHLs) was cultivated with a wide spectrum of chemically diverse long-chain AHLs. All AHLs with lengths of the acid side-chain ≥14 reverted the ΔluxI1 phenotype to wild-type. Expression of the T4SS was induced up to log2 ∼3fold above wild-type level. We hypothesize that conjugation in roseobacters is QS-controlled and that the QS system may detect a wide array of long-chain AHLs at the cell surface.

摘要

红杆菌科拥有大量显著的染色体外复制子(ECR),因此通过水平转移进行的遗传物质交换被认为是主要的进化驱动力。该类群中的许多质粒编码IV型分泌系统(T4SS),预期其可介导蛋白质和/或DNA转移至宿主细胞,但目前尚未提供相关实验证据。嗜盐红杆菌(Dinoroseobacter shibae)是红杆菌科玫瑰杆菌属的一个物种,含有五个对厌氧生长、饥饿条件下的存活以及该模式生物的致病性至关重要的ECR。在此,我们用抗生素抗性基因标记了两个大小分别为191 kb和126 kb的同线但兼容的RepABC型质粒,每个质粒都编码一个T4SS,并证明它们可通过接合转移至亲缘关系较远的玫瑰杆菌物种——抑制杆菌(Phaeobacter inhibens)。脉冲场凝胶电泳显示这些复制子可单独或一起转移至受体,证明了接合效率。然后,我们研究了外部添加的群体感应(QS)信号对位于姐妹质粒上的T4SS表达的影响。用一系列化学性质多样的长链N-酰基高丝氨酸内酯(AHL)培养缺乏QS的嗜盐红杆菌缺失突变体(ΔluxI1),该突变体缺乏AHL的合成。所有酸侧链长度≥14的AHL都可使ΔluxI1表型恢复为野生型。T4SS的表达被诱导至比野生型水平高log2 ∼3倍。我们推测玫瑰杆菌中的接合是受QS控制的,并且QS系统可能在细胞表面检测到多种长链AHL。

https://cdn.ncbi.nlm.nih.gov/pmc/blobs/49a1/4886583/32e3066d3908/fmicb-07-00742-g001.jpg

文献AI研究员

20分钟写一篇综述,助力文献阅读效率提升50倍。

立即体验

用中文搜PubMed

大模型驱动的PubMed中文搜索引擎

马上搜索

文档翻译

学术文献翻译模型,支持多种主流文档格式。

立即体验