• 文献检索
  • 文档翻译
  • 深度研究
  • 学术资讯
  • Suppr Zotero 插件Zotero 插件
  • 邀请有礼
  • 套餐&价格
  • 历史记录
应用&插件
Suppr Zotero 插件Zotero 插件浏览器插件Mac 客户端Windows 客户端微信小程序
定价
高级版会员购买积分包购买API积分包
服务
文献检索文档翻译深度研究API 文档MCP 服务
关于我们
关于 Suppr公司介绍联系我们用户协议隐私条款
关注我们

Suppr 超能文献

核心技术专利:CN118964589B侵权必究
粤ICP备2023148730 号-1Suppr @ 2026

文献检索

告别复杂PubMed语法,用中文像聊天一样搜索,搜遍4000万医学文献。AI智能推荐,让科研检索更轻松。

立即免费搜索

文件翻译

保留排版,准确专业,支持PDF/Word/PPT等文件格式,支持 12+语言互译。

免费翻译文档

深度研究

AI帮你快速写综述,25分钟生成高质量综述,智能提取关键信息,辅助科研写作。

立即免费体验

白细胞介素-6在药物性牙龈增生患者中的免疫表达

Immunoexpression of interleukin-6 in drug-induced gingival overgrowth patients.

作者信息

Ganesh P R

机构信息

Department of Periodontics and Implantology, Government Dental College, Chennai, Tamil Nadu, India.

出版信息

Contemp Clin Dent. 2016 Apr-Jun;7(2):140-5. doi: 10.4103/0976-237X.183048.

DOI:10.4103/0976-237X.183048
PMID:27307657
原文链接:https://pmc.ncbi.nlm.nih.gov/articles/PMC4906853/
Abstract

BACKGROUND

To analyze the role of proinflammatory cytokines in drug-induced gingival enlargement in Indian population.

AIM

To evaluate for the presence of interleukin-6 (IL-6) in drug-induced gingival enlargement and to compare it with healthy control in the absence of enlargement.

MATERIALS AND METHODS

Thirty-five patients selected for the study and divided into control group (10) and study group (25) consisting of phenytoin (10); cyclosporin (10) and nifedipine (5) induced gingival enlargement. Gingival overgrowth index of Seymour was used to assess overgrowth and allot groups. Under LA, incisional biopsy done, tissue sample fixed in 10% formalin and immunohistochemically evaluated for the presence of IL-6 using LAB-SA method, Labeled- Streptavidin-Biotin Method (LAB-SA kit from Zymed- 2(nd) generation LAB-SA detection system, Zymed Laboratories, CA). The results of immunohistochemistry were statistically analyzed using Kruskaal-Wallis and Mann-Whitney test.

RESULTS

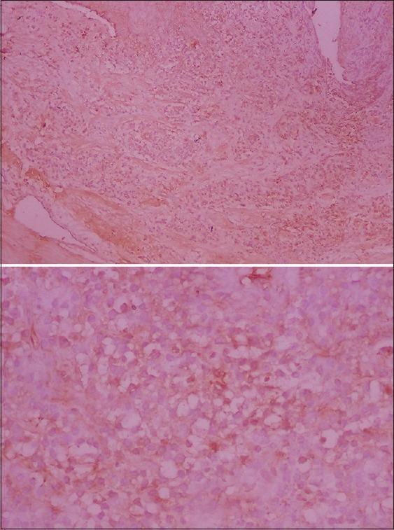
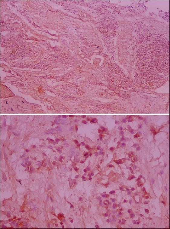
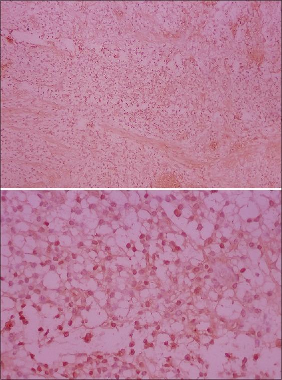
The data obtained from immunohistochemistry assessment shows that drug-induced gingival overgrowth (DIGO) samples express more IL-6 than control group and cyclosporin expresses more IL-6 followed by phenytoin and nifedipine.

CONCLUSION

Increased IL-6 expression was noticed in all three DIGO groups in comparison with control group. Among the study group, cyclosporin expressed maximum IL-6 expression followed by phenytoin and nifedipine.

摘要

背景

分析促炎细胞因子在印度人群药物性牙龈增生中的作用。

目的

评估白细胞介素-6(IL-6)在药物性牙龈增生中的存在情况,并将其与无牙龈增生的健康对照组进行比较。

材料与方法

选取35例患者进行研究,分为对照组(10例)和研究组(25例),研究组包括苯妥英钠所致牙龈增生(10例)、环孢素所致牙龈增生(10例)和硝苯地平所致牙龈增生(5例)。采用西摩牙龈增生指数评估增生情况并分组。在局部麻醉下进行切口活检,将组织样本固定于10%福尔马林中,采用LAB-SA法(来自Zymed的第二代LAB-SA检测系统,Zymed Laboratories,加利福尼亚州)免疫组织化学评估IL-6的存在情况。免疫组织化学结果采用Kruskaal-Wallis和Mann-Whitney检验进行统计学分析。

结果

免疫组织化学评估获得的数据显示,药物性牙龈增生(DIGO)样本表达的IL-6比对照组多,环孢素表达的IL-6最多,其次是苯妥英钠和硝苯地平。

结论

与对照组相比,所有三个DIGO组均观察到IL-6表达增加。在研究组中,环孢素表达的IL-6最多,其次是苯妥英钠和硝苯地平。

https://cdn.ncbi.nlm.nih.gov/pmc/blobs/c9bd/4906853/a32eef8b99df/CCD-7-140-g013.jpg
https://cdn.ncbi.nlm.nih.gov/pmc/blobs/c9bd/4906853/642671983245/CCD-7-140-g002.jpg
https://cdn.ncbi.nlm.nih.gov/pmc/blobs/c9bd/4906853/f1581b11f0c3/CCD-7-140-g004.jpg
https://cdn.ncbi.nlm.nih.gov/pmc/blobs/c9bd/4906853/1d67e858d133/CCD-7-140-g005.jpg
https://cdn.ncbi.nlm.nih.gov/pmc/blobs/c9bd/4906853/1a3a2c76a4f9/CCD-7-140-g006.jpg
https://cdn.ncbi.nlm.nih.gov/pmc/blobs/c9bd/4906853/077750e4f3a0/CCD-7-140-g007.jpg
https://cdn.ncbi.nlm.nih.gov/pmc/blobs/c9bd/4906853/f5518cee2cfc/CCD-7-140-g009.jpg
https://cdn.ncbi.nlm.nih.gov/pmc/blobs/c9bd/4906853/f33013b9be68/CCD-7-140-g012.jpg
https://cdn.ncbi.nlm.nih.gov/pmc/blobs/c9bd/4906853/a32eef8b99df/CCD-7-140-g013.jpg
https://cdn.ncbi.nlm.nih.gov/pmc/blobs/c9bd/4906853/642671983245/CCD-7-140-g002.jpg
https://cdn.ncbi.nlm.nih.gov/pmc/blobs/c9bd/4906853/f1581b11f0c3/CCD-7-140-g004.jpg
https://cdn.ncbi.nlm.nih.gov/pmc/blobs/c9bd/4906853/1d67e858d133/CCD-7-140-g005.jpg
https://cdn.ncbi.nlm.nih.gov/pmc/blobs/c9bd/4906853/1a3a2c76a4f9/CCD-7-140-g006.jpg
https://cdn.ncbi.nlm.nih.gov/pmc/blobs/c9bd/4906853/077750e4f3a0/CCD-7-140-g007.jpg
https://cdn.ncbi.nlm.nih.gov/pmc/blobs/c9bd/4906853/f5518cee2cfc/CCD-7-140-g009.jpg
https://cdn.ncbi.nlm.nih.gov/pmc/blobs/c9bd/4906853/f33013b9be68/CCD-7-140-g012.jpg
https://cdn.ncbi.nlm.nih.gov/pmc/blobs/c9bd/4906853/a32eef8b99df/CCD-7-140-g013.jpg

相似文献

1
Immunoexpression of interleukin-6 in drug-induced gingival overgrowth patients.白细胞介素-6在药物性牙龈增生患者中的免疫表达
Contemp Clin Dent. 2016 Apr-Jun;7(2):140-5. doi: 10.4103/0976-237X.183048.
2
Immunohistochemical Analysis of the Role Connective Tissue Growth Factor in Drug-induced Gingival Overgrowth in Response to Phenytoin, Cyclosporine, and Nifedipine.结缔组织生长因子在苯妥英钠、环孢素和硝苯地平所致药物性牙龈增生中作用的免疫组织化学分析
J Int Soc Prev Community Dent. 2018 Jan-Feb;8(1):12-20. doi: 10.4103/jispcd.JISPCD_403_17. Epub 2018 Feb 6.
3
Angiotensin II Levels in Gingival Tissues from Healthy Individuals, Patients with Nifedipine Induced Gingival Overgrowth and Non Responders on Nifedipine.健康个体、硝苯地平诱导的牙龈增生患者及硝苯地平无反应者牙龈组织中的血管紧张素II水平
J Clin Diagn Res. 2015 Aug;9(8):ZC92-4. doi: 10.7860/JCDR/2015/14492.6388. Epub 2015 Aug 1.
4
Immunohistochemical evaluation of Ki-67 expression and apoptosis in cyclosporin A-induced gingival overgrowth.环孢素A诱导的牙龈过度增生中Ki-67表达及细胞凋亡的免疫组织化学评估
J Periodontol. 2007 Feb;78(2):282-9. doi: 10.1902/jop.2007.060051.
5
Immunohistochemical analysis of Th1/Th2 cytokine profiles and androgen receptor expression in the pathogenesis of nifedipine-induced gingival overgrowth.硝苯地平诱导的牙龈过度生长发病机制中Th1/Th2细胞因子谱及雄激素受体表达的免疫组织化学分析
J Periodontal Res. 2003 Aug;38(4):422-7. doi: 10.1034/j.1600-0765.2003.00672.x.
6
Gingival fibroblasts grown from cyclosporin-treated patients show a reduced production of matrix metalloproteinase-1 (MMP-1) compared with normal gingival fibroblasts, and cyclosporin down-regulates the production of MMP-1 stimulated by pro-inflammatory cytokines.与正常牙龈成纤维细胞相比,从接受环孢素治疗的患者身上培养的牙龈成纤维细胞显示出基质金属蛋白酶-1(MMP-1)的产生减少,并且环孢素下调促炎细胞因子刺激的MMP-1的产生。
J Periodontal Res. 2007 Dec;42(6):580-8. doi: 10.1111/j.1600-0765.2007.00986.x.
7
Macrophages and lymphocyte subpopulations in nifedipine- and cyclosporin A-associated human gingival overgrowth.硝苯地平和环孢素A相关的人类牙龈过度生长中的巨噬细胞和淋巴细胞亚群
J Periodontol. 2001 Feb;72(2):160-6. doi: 10.1902/jop.2001.72.2.160.
8
Connective tissue growth factor in drug-induced gingival overgrowth.药物性牙龈增生中的结缔组织生长因子
J Periodontol. 2001 Jul;72(7):921-31. doi: 10.1902/jop.2001.72.7.921.
9
A novel gingival overgrowth mouse model induced by the combination of CsA and ligature-induced inflammation.一种由环孢素A(CsA)与结扎诱导炎症联合诱导的新型牙龈过度生长小鼠模型。
J Immunol Methods. 2017 Jun;445:31-36. doi: 10.1016/j.jim.2017.03.003. Epub 2017 Mar 6.
10
Flutamide inhibits nifedipine- and interleukin-1 beta-induced collagen overproduction in gingival fibroblasts.氟他胺抑制硝苯地平和白细胞介素-1β诱导的牙龈成纤维细胞胶原过度产生。
J Periodontal Res. 2010 Aug;45(4):451-7. doi: 10.1111/j.1600-0765.2009.01255.x. Epub 2010 Mar 9.

引用本文的文献

1
Impact of phenytoin and valproic acid on cytotoxicity and inflammatory mediators in human mononuclear cells: with and without lipopolysaccharide stimulation.苯妥英钠和丙戊酸对人单核细胞细胞毒性及炎症介质的影响:有无脂多糖刺激的情况
PeerJ. 2025 Mar 17;13:e19102. doi: 10.7717/peerj.19102. eCollection 2025.
2
Genetic Variants in the Gene Are Associated with Ramon Syndrome and Hereditary Gingival Fibromatosis.基因中的遗传变异与 Ramon 综合征和遗传性牙龈纤维瘤病有关。
Int J Mol Sci. 2024 Aug 15;25(16):8867. doi: 10.3390/ijms25168867.
3
Drug-Induced Gingival Overgrowth: The Effect of Cyclosporin A and Mycophenolate Mophetil on Human Gingival Fibroblasts.

本文引用的文献

1
Mechanism of cyclosporine-induced overgrowth in gingiva.环孢素诱导牙龈过度生长的机制。
J Dent Res. 2006 Jun;85(6):515-9. doi: 10.1177/154405910608500607.
2
Connective tissue metabolism and gingival overgrowth.结缔组织代谢与牙龈增生
Crit Rev Oral Biol Med. 2004 Jun 4;15(3):165-75. doi: 10.1177/154411130401500305.
3
Prevalence of gingival overgrowth in transplant patients immunosuppressed with tacrolimus.接受他克莫司免疫抑制治疗的移植患者牙龈过度生长的患病率。
药物性牙龈增生:环孢素A和霉酚酸酯对人牙龈成纤维细胞的影响
Biomedicines. 2020 Jul 17;8(7):221. doi: 10.3390/biomedicines8070221.
J Clin Periodontol. 2004 Feb;31(2):126-31. doi: 10.1111/j.0303-6979.2004.00459.x.
4
Evaluation of matrix metalloproteinase-1 and tissue inhibitor of metalloproteinase-1 levels in gingival fibroblasts of cyclosporin A-treated patients.环孢素A治疗患者牙龈成纤维细胞中基质金属蛋白酶-1和金属蛋白酶组织抑制剂-1水平的评估
J Periodontol. 2002 Nov;73(11):1273-8. doi: 10.1902/jop.2002.73.11.1273.
5
Cytokine regulation of gingival fibroblast lysyl oxidase, collagen, and elastin.细胞因子对牙龈成纤维细胞赖氨酰氧化酶、胶原蛋白和弹性蛋白的调节
J Periodontol. 2002 Feb;73(2):145-52. doi: 10.1902/jop.2002.73.2.145.
6
Effect of phenytoin on the production of interleukin-6 and interleukin-8 in human gingival fibroblasts.苯妥英对人牙龈成纤维细胞白细胞介素-6和白细胞介素-8产生的影响。
J Oral Pathol Med. 2000 Nov;29(10):491-9. doi: 10.1034/j.1600-0714.2000.291003.x.
7
Phenytoin and cyclosporin A suppress the expression of MMP-1, TIMP-1, and cathepsin L, but not cathepsin B in cultured gingival fibroblasts.苯妥英钠和环孢素A可抑制培养的牙龈成纤维细胞中基质金属蛋白酶-1、金属蛋白酶组织抑制剂-1和组织蛋白酶L的表达,但不影响组织蛋白酶B的表达。
J Periodontol. 2000 Jun;71(6):955-60. doi: 10.1902/jop.2000.71.6.955.
8
Regulation of gingival fibroblast interleukin-6 secretion by cyclosporine A.环孢素A对牙龈成纤维细胞白细胞介素-6分泌的调节作用
J Periodontol. 1999 Dec;70(12):1464-71. doi: 10.1902/jop.1999.70.12.1464.
9
Cytokines, chaos, and complexity.细胞因子、混乱与复杂性。
Immunity. 1999 Nov;11(5):507-13. doi: 10.1016/s1074-7613(00)80125-9.
10
Cyclosporin A regulates interleukin-1beta and interleukin-6 expression in gingiva: implications for gingival overgrowth.环孢素A调节牙龈中白细胞介素-1β和白细胞介素-6的表达:对牙龈过度生长的影响。
J Periodontol. 1999 Mar;70(3):294-300. doi: 10.1902/jop.1999.70.3.294.