• 文献检索
  • 文档翻译
  • 深度研究
  • 学术资讯
  • Suppr Zotero 插件Zotero 插件
  • 邀请有礼
  • 套餐&价格
  • 历史记录
应用&插件
Suppr Zotero 插件Zotero 插件浏览器插件Mac 客户端Windows 客户端微信小程序
定价
高级版会员购买积分包购买API积分包
服务
文献检索文档翻译深度研究API 文档MCP 服务
关于我们
关于 Suppr公司介绍联系我们用户协议隐私条款
关注我们

Suppr 超能文献

核心技术专利:CN118964589B侵权必究
粤ICP备2023148730 号-1Suppr @ 2026

文献检索

告别复杂PubMed语法,用中文像聊天一样搜索,搜遍4000万医学文献。AI智能推荐,让科研检索更轻松。

立即免费搜索

文件翻译

保留排版,准确专业,支持PDF/Word/PPT等文件格式,支持 12+语言互译。

免费翻译文档

深度研究

AI帮你快速写综述,25分钟生成高质量综述,智能提取关键信息,辅助科研写作。

立即免费体验

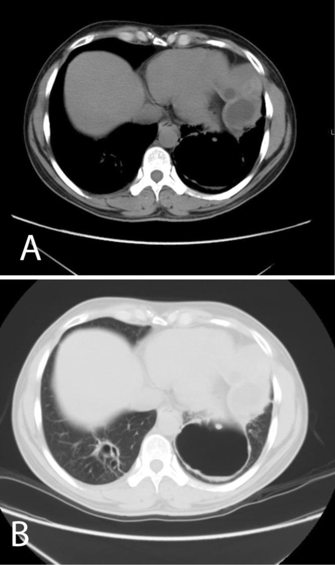
包虫囊肿:可出现在任何部位,遍布全身。

Hydatid cyst: Anywhere, everywhere.

作者信息

Thambidurai Lasya, Santhosham Roy, Dev Bhawna

出版信息

Radiol Case Rep. 2015 Nov 6;6(3):486. doi: 10.2484/rcr.v6i3.486. eCollection 2011.

DOI:10.2484/rcr.v6i3.486
PMID:27307908
原文链接:https://pmc.ncbi.nlm.nih.gov/articles/PMC4900053/
Abstract

Hydatid cyst is a parasitic infection that primarily affects the liver but which can be found anywhere in the body. This case involves spontaneous dissemination of hydatid cyst disease, a rare occurrence in the absence of any intervention or trauma.

摘要

包虫囊肿是一种寄生虫感染,主要影响肝脏,但也可能出现在身体的任何部位。该病例涉及包虫囊肿病的自发播散,在没有任何干预或外伤的情况下,这种情况很罕见。

https://cdn.ncbi.nlm.nih.gov/pmc/blobs/993c/4900053/e4b6fd808263/gr5.jpg
https://cdn.ncbi.nlm.nih.gov/pmc/blobs/993c/4900053/4d86ab9f0522/gr1.jpg
https://cdn.ncbi.nlm.nih.gov/pmc/blobs/993c/4900053/f87d08b9cf55/gr2.jpg
https://cdn.ncbi.nlm.nih.gov/pmc/blobs/993c/4900053/c743cb6f20f9/gr3.jpg
https://cdn.ncbi.nlm.nih.gov/pmc/blobs/993c/4900053/dde973991b58/gr4.jpg
https://cdn.ncbi.nlm.nih.gov/pmc/blobs/993c/4900053/e4b6fd808263/gr5.jpg
https://cdn.ncbi.nlm.nih.gov/pmc/blobs/993c/4900053/4d86ab9f0522/gr1.jpg
https://cdn.ncbi.nlm.nih.gov/pmc/blobs/993c/4900053/f87d08b9cf55/gr2.jpg
https://cdn.ncbi.nlm.nih.gov/pmc/blobs/993c/4900053/c743cb6f20f9/gr3.jpg
https://cdn.ncbi.nlm.nih.gov/pmc/blobs/993c/4900053/dde973991b58/gr4.jpg
https://cdn.ncbi.nlm.nih.gov/pmc/blobs/993c/4900053/e4b6fd808263/gr5.jpg

相似文献

1
Hydatid cyst: Anywhere, everywhere.包虫囊肿:可出现在任何部位,遍布全身。
Radiol Case Rep. 2015 Nov 6;6(3):486. doi: 10.2484/rcr.v6i3.486. eCollection 2011.
2
Traumatic rupture of a solitary splenic hydatid cyst: A case report.孤立性脾包虫囊肿外伤性破裂:一例报告。
Trauma Case Rep. 2015 Apr 23;1(1-2):1-3. doi: 10.1016/j.tcr.2015.02.001. eCollection 2015 Feb.
3
Hepatic hydatid disease: radiographics findings.肝包虫病:影像学表现
Eurasian J Med. 2009 Apr;41(1):49-55.
4
Spontaneous intraperitoneal rupture of hepatic hydatid cyst: a rare cause of ascites.肝包虫囊肿自发性腹腔内破裂:腹水的罕见病因。
BMC Surg. 2014 Nov 26;14:99. doi: 10.1186/1471-2482-14-99.
5
Imaging features of liver hydatid cyst disseminated into pelvis.
JBR-BTR. 2012 Sep-Oct;95(5):297-9. doi: 10.5334/jbr-btr.651.
6
Primary hydatid cyst in the adductor magnus muscle.内收大肌原发性包虫囊肿。
BJR Case Rep. 2020 Mar 11;6(3):20200019. doi: 10.1259/bjrcr.20200019. eCollection 2020 Sep 1.
7
Inferiorly located retrobulbar hydatid cyst: CT and MRI features.眼眶后下部包虫囊肿:CT和MRI表现
Comput Med Imaging Graph. 2001 Nov-Dec;25(6):535-40. doi: 10.1016/s0895-6111(00)00077-x.
8
Cardiac hydatid cyst of the right ventricle: Severe localization.右心室心脏包虫囊肿:严重的定位情况。
J Cardiol Cases. 2017 Aug 2;16(4):138-140. doi: 10.1016/j.jccase.2017.06.009. eCollection 2017 Oct.
9
Cardiac hydatid cyst in the right ventricle: An unusual case at a rare site.右心室心脏包虫囊肿:一个罕见部位的罕见病例。
J Taibah Univ Med Sci. 2020 Mar 25;15(3):249-252. doi: 10.1016/j.jtumed.2020.02.004. eCollection 2020 Jun.
10
Isolated omental hydatid cyst: clinical, radiologic, and pathologic findings.孤立性网膜包虫囊肿:临床、影像学及病理学表现
J Pediatr Surg. 2009 May;44(5):1041-3. doi: 10.1016/j.jpedsurg.2009.01.003.

引用本文的文献

1
Hydatid Disease: A Radiological Pictorial Review of a Great Neoplasms Mimicker.包虫病:一种极易被误诊为肿瘤的疾病的影像学图像综述
Diagnostics (Basel). 2023 Mar 16;13(6):1127. doi: 10.3390/diagnostics13061127.
2
A young woman from an Echinococcus-endemic area with progressive abdominal distension: a case report.一名来自包虫病流行地区的年轻女性,逐渐出现腹部膨隆:病例报告。
J Med Case Rep. 2020 Jun 8;14(1):65. doi: 10.1186/s13256-020-02388-8.
3
Case Report: Laparoscopic Excision of a Primary Giant Splenic Hydatid Cyst: Literature Review.

本文引用的文献

1
Peritoneal hydatidosis.腹膜包虫病
Case Rep Med. 2010;2010. doi: 10.1155/2010/714106. Epub 2010 Aug 8.
2
Peritoneal hydatidosis: a review of seven cases.腹膜包虫病:7例病例回顾
Trop Gastroenterol. 2009 Jan-Mar;30(1):32-4.
3
Disseminated peritoneal hydatidosis following blunt abdominal trauma: A case report.钝性腹部创伤后播散性腹膜包虫病:一例报告。
病例报告:腹腔镜切除原发性巨大脾包虫囊肿:文献复习。
Am J Trop Med Hyg. 2019 Oct;101(4):821-827. doi: 10.4269/ajtmh.19-0400.
4
The Case of Reactive Arthritis Secondary to Infestation.感染继发反应性关节炎病例
Case Rep Rheumatol. 2017;2017:3293060. doi: 10.1155/2017/3293060. Epub 2017 May 21.
5
A giant splenic hydatid cyst.一个巨大的脾包虫囊肿。
Proc (Bayl Univ Med Cent). 2016 Jan;29(1):55-7. doi: 10.1080/08998280.2016.11929359.
6
Uncommon locations and presentations of hydatid cyst.包虫囊肿的罕见部位及表现
Ann Med Health Sci Res. 2014 May;4(3):447-52. doi: 10.4103/2141-9248.133476.
Cases J. 2008 Aug 21;1(1):118. doi: 10.1186/1757-1626-1-118.
4
Hydatid disease involving some rare locations in the body: a pictorial essay.累及身体一些罕见部位的包虫病:一篇图文并茂的文章。
Korean J Radiol. 2007 Nov-Dec;8(6):531-40. doi: 10.3348/kjr.2007.8.6.531.
5
Hydatid disease with unusual localization.具有不寻常定位的包虫病。
Eur Radiol. 2000;10(12):1904-12. doi: 10.1007/s003300000468.
6
Hydatidosis in Jordan: an epidemiological study of 306 cases.约旦的包虫病:306例病例的流行病学研究。
Ann Trop Med Parasitol. 1994 Dec;88(6):623-7. doi: 10.1080/00034983.1994.11812913.
7
Unusual presentation of a hepatic hydatid cyst.
Aust N Z J Surg. 1974 Nov;44(4):407-9. doi: 10.1111/j.1445-2197.1974.tb03915.x.
8
The radiology of hydatid disease.包虫病的放射学
AJR Am J Roentgenol. 1985 Sep;145(3):639-48. doi: 10.2214/ajr.145.3.639.