Yuksel Murvet, Demirpolat Gulen, Sever Ahmet, Bakaris Sevgi, Bulbuloglu Ertan, Elmas Nevra
KSU Medical School, Department of Radiology, Kahramanmaras, Turkey.
Korean J Radiol. 2007 Nov-Dec;8(6):531-40. doi: 10.3348/kjr.2007.8.6.531.
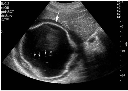
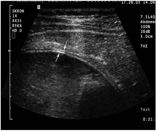
Hydatid disease (HD) is an endemic illness in many countries, and it poses an important public health problem that's influenced by peoples' socioeconomic status and migration that spreads this disease. Although rare, it may occur in any organ or tissue. The most common site is the liver (59-75%), followed in frequency by lung (27%), kidney (3%), bone (1-4%) and brain (1-2%). Other sites such as the heart, spleen, pancreas and muscles are very rarely affected. Unusual sites for this disease can cause diagnostic problems. This pictorial essay illustrates various radiological findings of HD in the liver, spleen, kidney, pancreas, peritoneal cavity, omentum, adrenal, ovary, lung, mediastinum and retroperitoneum. Familiarity with the imaging findings of HD may be helpful in making an accurate diagnosis and preventing potential complications.
包虫病(HD)在许多国家都是一种地方病,它构成了一个重要的公共卫生问题,受人们的社会经济地位以及传播这种疾病的移民因素影响。尽管罕见,但它可能发生在任何器官或组织中。最常见的部位是肝脏(59%-75%),其次是肺(27%)、肾脏(3%)、骨骼(1%-4%)和脑(1%-2%)。心脏、脾脏、胰腺和肌肉等其他部位很少受到影响。这种疾病在不寻常部位会引发诊断问题。这篇影像学论文展示了包虫病在肝脏、脾脏、肾脏、胰腺、腹腔、网膜、肾上腺、卵巢、肺、纵隔和腹膜后的各种影像学表现。熟悉包虫病的影像学表现可能有助于做出准确诊断并预防潜在并发症。