Suppr超能文献

先天性气管胆管瘘合并肝总管发育不全:经皮经肝引流治疗

Congenital tracheobiliary fistula combined with hypoplastic common hepatic duct: Management by percutaneous transhepatic drainage.

作者信息

Yu Hyeon, Stavas Joseph M, Joseph Mark

出版信息

Radiol Case Rep. 2015 Nov 6;6(4):564. doi: 10.2484/rcr.v6i4.564. eCollection 2011.

Abstract

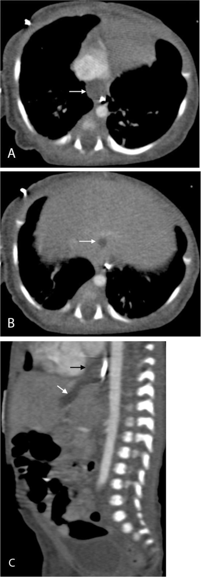
Congenital tracheobiliary or bronchobiliary fistula is a rare developmental anomaly with a persistent communication between the biliary system and the trachea or bronchus. We report a case of a congenital tracheobiliary fistula and hypoplastic common hepatic duct associated with hypoplastic left heart syndrome in a 5-day old boy presenting with bilious endotracheal-tube secretions. The tracheobiliary fistula was treated by surgical resection. Subsequent cholangiography demonstrated dilated intrahepatic bile ducts and a residual fistulous tract with cystic proximal stump that were successfully decompressed by transhepatic drainage catheters before corrective biliary surgery.

摘要

先天性气管胆管或支气管胆管瘘是一种罕见的发育异常,其特征为胆道系统与气管或支气管之间存在持续的连通。我们报告了一例5日龄男婴,患有先天性气管胆管瘘、肝总管发育不全并伴有左心发育不全综合征,该患儿出现胆汁性气管插管分泌物。通过手术切除治疗气管胆管瘘。随后的胆管造影显示肝内胆管扩张以及存在残余瘘管,其近端呈囊性残端,在进行矫正性胆道手术前,经肝引流导管成功对其进行了减压。

https://cdn.ncbi.nlm.nih.gov/pmc/blobs/2cfd/4899986/d25d596f2980/gr1.jpg

文献AI研究员

20分钟写一篇综述,助力文献阅读效率提升50倍。

立即体验

用中文搜PubMed

大模型驱动的PubMed中文搜索引擎

马上搜索

文档翻译

学术文献翻译模型,支持多种主流文档格式。

立即体验