Suppr超能文献

miR-146a-5p通过靶向原代猪脂肪细胞中的胰岛素受体抑制肿瘤坏死因子-α诱导的脂肪生成。

miR-146a-5p inhibits TNF-α-induced adipogenesis via targeting insulin receptor in primary porcine adipocytes.

作者信息

Wu Di, Xi Qian-Yun, Cheng Xiao, Dong Tao, Zhu Xiao-Tong, Shu Gang, Wang Li-Na, Jiang Qing-Yan, Zhang Yong-Liang

机构信息

National Engineering Research Center for Swine Breeding Industry, Guangdong Provincial Key Lab of Agro-Animal Genomics and Molecular Breeding, College of Animal Science, South China Agriculture University, Guangzhou, China, 510642.

National Engineering Research Center for Swine Breeding Industry, Guangdong Provincial Key Lab of Agro-Animal Genomics and Molecular Breeding, College of Animal Science, South China Agriculture University, Guangzhou, China, 510642

出版信息

J Lipid Res. 2016 Aug;57(8):1360-72. doi: 10.1194/jlr.M062497. Epub 2016 Jun 20.

Abstract

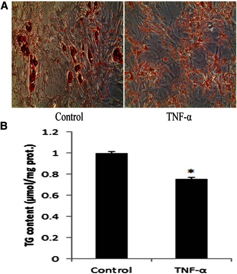
TNF-α is a multifunctional cytokine participating in immune disorders, inflammation, and tumor development with regulatory effects on energy metabolism. Our work focused on the function of TNF-α in adipogenesis of primary porcine adipocytes. TNF-α could suppress the insulin receptor (IR) at the mRNA and protein levels. Microarray analysis of TNF-α-treated porcine adipocytes was used to screen out 29 differentially expressed microRNAs (miRNAs), 13 of which were remarkably upregulated and 16 were intensely downregulated. These 29 differentially expressed miRNAs were predicted to mainly participate in the insulin signaling pathway, adipocytokine signaling pathway, and type 2 diabetes mellitus pathway by Gene Ontology and Kyoto Encyclopedia of Genes and Genomes analyses. miR-146a-5p, reportedly involved in immunity and cancer relevant processes, was one of the most highly differentially expressed miRNAs after TNF-α treatment. Red Oil O staining and TG assay revealed that miR-146a-5p suppressed adipogenesis. A dual-luciferase reporter and siRNA assay verified that miR-146a-5p targeted IR and could inhibit its protein expression. miR-146a-5p was also validated to be involved in the insulin signaling pathway by reducing tyrosine phosphorylation of insulin receptor substrate-1. Our study provides the first evidence of miR-146a-5p targeting IR, which facilitates future studies related to obesity and diabetes using pig models.

摘要

肿瘤坏死因子-α(TNF-α)是一种多功能细胞因子,参与免疫紊乱、炎症和肿瘤发展,并对能量代谢具有调节作用。我们的工作聚焦于TNF-α在原代猪脂肪细胞脂肪生成中的功能。TNF-α可在mRNA和蛋白质水平抑制胰岛素受体(IR)。对经TNF-α处理的猪脂肪细胞进行微阵列分析,以筛选出29个差异表达的微小RNA(miRNA),其中13个显著上调,16个显著下调。通过基因本体论和京都基因与基因组百科全书分析预测,这29个差异表达的miRNA主要参与胰岛素信号通路、脂肪细胞因子信号通路和2型糖尿病通路。据报道,miR-146a-5p参与免疫和癌症相关过程,是TNF-α处理后差异表达最高的miRNA之一。红油O染色和甘油三酯测定表明,miR-146a-5p抑制脂肪生成。双荧光素酶报告基因和小干扰RNA测定证实,miR-146a-5p靶向IR并可抑制其蛋白质表达。通过降低胰岛素受体底物-1的酪氨酸磷酸化,还验证了miR-146a-5p参与胰岛素信号通路。我们的研究首次提供了miR-146a-5p靶向IR的证据,这有助于未来利用猪模型开展与肥胖和糖尿病相关的研究。

https://cdn.ncbi.nlm.nih.gov/pmc/blobs/b8bf/4959853/2bcff3a28b89/1360fig1.jpg

文献AI研究员

20分钟写一篇综述,助力文献阅读效率提升50倍。

立即体验

用中文搜PubMed

大模型驱动的PubMed中文搜索引擎

马上搜索

文档翻译

学术文献翻译模型,支持多种主流文档格式。

立即体验