Suppr超能文献

一例被误诊为烟雾病的高胱氨酸尿症病例报告

A Case of Homocystinuria Misdiagnosed as Moyamoya Disease: A Case Report.

作者信息

Erol Meltem, Gayret Ozlem Bostan, Yigit Ozgul, Serefoglu Cabuk Kubra, Toksoz Mehmet, Tiras Mahir

机构信息

Department of Pediatrics, Bagcilar Training and Research Hospital, Istanbul, Turkey.

Department of Ophtalmology, Bagcilar Training and Research Hospital, Istanbul, Turkey.

出版信息

Iran Red Crescent Med J. 2016 Mar 9;18(4):e30332. doi: 10.5812/ircmj.30332. eCollection 2016 Apr.

Abstract

INTRODUCTION

Homocystinuria is a hereditary disease caused by a defect in the enzymes involved in metabolizing methionine. Homocystinuria can influence many systems and may be mistaken for other diseases, including Moyamoya disease. Here, we report the case of a 10-year-old male patient with a diagnosis of Moyamoya disease who had been monitored for that for an extended period. The patient's diagnosis was changed to homocystinuria as a result of lens subluxation and cataract findings.

CASE PRESENTATION

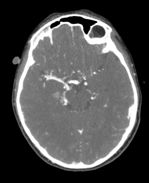
A 10-year-old male patient presented with vomiting, headache, lethargy, muscular weakness, and eye redness. The patient was mentally retarded, his right pupil was hyperemic, and he had muscle weakness on his left side. In addition, his blood pressure was high. The patient's history included a diagnosis of Moyamoya. A neck and cranial computed tomography (CT) angiography showed no flow bilaterally past the bifurcation of the carotid artery. The patient's bilateral internal carotid arteries were determined to be occluded. It was considered that his eye findings could be compatible with a metabolic disease. On metabolic screening, the patient's homocysteine level was very high. In addition, a heterozygous A1298C mutation was identified in MTHFR. Therefore, the patient was started on a diet free from homocysteine and methionine. In addition, his treatment regimen included vitamins B12 and B6. With these treatments, the patient's complications regressed.

CONCLUSIONS

In cases of unusual vascular lesions, metabolic diseases must be considered. In homocystinuria, early diagnosis and treatment are important. Blood homocysteine levels can be returned to normal, and some complications can be prevented.

摘要

引言

同型胱氨酸尿症是一种由参与甲硫氨酸代谢的酶缺陷引起的遗传性疾病。同型胱氨酸尿症可影响多个系统,可能被误诊为其他疾病,包括烟雾病。在此,我们报告一例10岁男性烟雾病患者的病例,该患者已被长期监测。由于晶状体半脱位和白内障的发现,该患者的诊断改为同型胱氨酸尿症。

病例介绍

一名10岁男性患者出现呕吐、头痛、嗜睡、肌肉无力和眼红症状。该患者智力发育迟缓,右瞳孔充血,左侧肌肉无力。此外,他血压偏高。该患者既往诊断为烟雾病。颈部和头颅计算机断层扫描(CT)血管造影显示双侧颈动脉分叉处无血流通过。确定该患者双侧颈内动脉闭塞。认为他的眼部表现可能与代谢性疾病相符。代谢筛查显示,该患者的同型半胱氨酸水平非常高。此外,在亚甲基四氢叶酸还原酶(MTHFR)中发现了杂合子A1298C突变。因此,该患者开始食用不含同型半胱氨酸和甲硫氨酸的饮食。此外,他的治疗方案包括维生素B12和B6。通过这些治疗,患者的并发症得到缓解。

结论

对于不寻常的血管病变病例,必须考虑代谢性疾病。在同型胱氨酸尿症中,早期诊断和治疗很重要。血液同型半胱氨酸水平可以恢复正常,一些并发症可以得到预防。

https://cdn.ncbi.nlm.nih.gov/pmc/blobs/a803/4912698/a7c339ce3e85/ircmj-18-04-30332-g001.jpg

文献检索

告别复杂PubMed语法,用中文像聊天一样搜索,搜遍4000万医学文献。AI智能推荐,让科研检索更轻松。

立即免费搜索

文件翻译

保留排版,准确专业,支持PDF/Word/PPT等文件格式,支持 12+语言互译。

免费翻译文档

深度研究

AI帮你快速写综述,25分钟生成高质量综述,智能提取关键信息,辅助科研写作。

立即免费体验