Suppr超能文献

A Rare Cause of Acute Abdominal Pain: Splenic Infarct (Case Series).

作者信息

Ozakin Engin, Cetinkaya Osman, Baloglu Kaya Filiz, Acar Nurdan, Cevik Arif Alper

机构信息

Department of Emergency, Eskisehir Osmangazi University Faculty of Medicine, Eskisehir.

出版信息

Turk J Emerg Med. 2016 Mar 2;15(2):96-9. doi: 10.5505/1304.7361.2015.16769. eCollection 2015 Jun.

Abstract

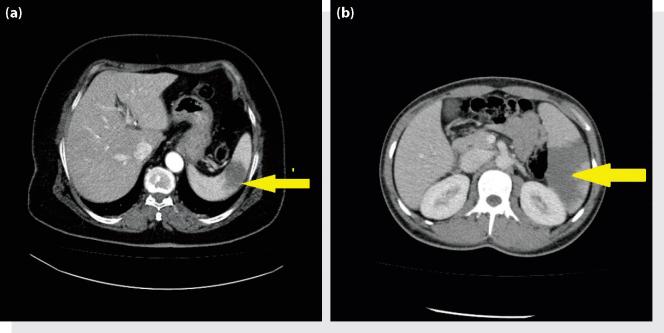
Splenic infarcts are rare cases. It may not be noticed in the emergency department because the clinical picture is likely to mimic various acute abdominal pains. The splenic infarct is often the result of systemic thromboembolism associated with cardiovascular disorders. The aim of this study is to present an evaluation of the patients that presented to the emergency department (ED) with abdominal pain and were diagnosed with splenic infarct.

摘要
https://cdn.ncbi.nlm.nih.gov/pmc/blobs/57f7/4910014/31e657f681da/gr1.jpg

相似文献

1
A Rare Cause of Acute Abdominal Pain: Splenic Infarct (Case Series).
Turk J Emerg Med. 2016 Mar 2;15(2):96-9. doi: 10.5505/1304.7361.2015.16769. eCollection 2015 Jun.
3
Identification of splenic infarction by emergency department ultrasound.
J Emerg Med. 2013 Feb;44(2):450-2. doi: 10.1016/j.jemermed.2012.03.005. Epub 2012 Jun 12.
4
Splenic Infarct Masquerading as Myocardial Infarction.
Cureus. 2024 May 12;16(5):e60138. doi: 10.7759/cureus.60138. eCollection 2024 May.
5
[Splenic infarction revealing infectious endocarditis in a pregnant woman: about a case and brief literature review].
Pan Afr Med J. 2018 Jun 27;30:184. doi: 10.11604/pamj.2018.30.184.14262. eCollection 2018.
6
Splenic infarct presenting as acute abdominal pain in an older patient.
J Emerg Med. 1996 May-Jun;14(3):319-22. doi: 10.1016/0736-4679(96)00026-1.
7
Pathological rupture of the normal spleen: Review with the literature.
Int J Surg Case Rep. 2016;26:163-5. doi: 10.1016/j.ijscr.2016.07.029. Epub 2016 Jul 28.
9
Splenic infarct in a patient with Infectious Mononucleosis: a rare presentation.
J Community Hosp Intern Med Perspect. 2017 Sep 19;7(4):248-250. doi: 10.1080/20009666.2017.1361291. eCollection 2017 Oct.
10
Spontaneous Celiac Artery Dissection Presenting With Splenic Infarction: A Case Report.
Gastroenterology Res. 2018 Oct;11(5):379-382. doi: 10.14740/gr1065w. Epub 2018 Oct 1.

引用本文的文献

1
Working Backwards: Splenic Infarcts from Left Ventricular Thrombus.
Kans J Med. 2025 Feb 17;18(1):17-18. doi: 10.17161/kjm.vol18.22401. eCollection 2025 Jan-Feb.
2
Unusual presentation of a splenic infarction.
Radiol Case Rep. 2024 Sep 13;19(12):5844-5848. doi: 10.1016/j.radcr.2024.08.124. eCollection 2024 Dec.
3
Splenic Infarct Masquerading as Myocardial Infarction.
Cureus. 2024 May 12;16(5):e60138. doi: 10.7759/cureus.60138. eCollection 2024 May.
4
Abdominal Imaging Findings in Patients with COVID-19 Part 2: Solid Organs.
Middle East J Dig Dis. 2022 Oct;14(4):373-381. doi: 10.34172/mejdd.2022.298. Epub 2022 Oct 30.
5
Splenic Infarctions in Polycythaemia Vera are Not Always a Catastrophe.
Eur J Case Rep Intern Med. 2022 Jun 29;9(6):003370. doi: 10.12890/2022_003370. eCollection 2022.
6
Complete splenic infarction in association with COVID-19.
BMJ Case Rep. 2021 Dec 7;14(12):e246274. doi: 10.1136/bcr-2021-246274.
7
Post-COVID-19 vaccination occurrence of splenic infarction due to arterial thrombosis.
BMJ Case Rep. 2021 Dec 7;14(12):e243846. doi: 10.1136/bcr-2021-243846.
10
Left lower quadrant pain: an unlikely diagnosis in a case of acute abdomen.
J Community Hosp Intern Med Perspect. 2018 Oct 15;8(5):296-299. doi: 10.1080/20009666.2018.1517578. eCollection 2018.

本文引用的文献

1
Massive splenic infarction due to left ventricular apical thrombus in a patient with giant splenomegaly.
Heart Asia. 2012 Jan 1;4(1):53. doi: 10.1136/heartasia-2011-010070. eCollection 2012.
2
Focal splenic lesions: US findings.
J Ultrasound. 2013 May 4;16(2):65-74. doi: 10.1007/s40477-013-0014-0. eCollection 2013.
3
Splenic infarction: 10 years of experience.
Am J Emerg Med. 2009 Mar;27(3):262-5. doi: 10.1016/j.ajem.2008.02.014.
4
Splenic infarct as a diagnostic pitfall in radiology.
J Cancer Res Ther. 2008 Apr-Jun;4(2):99-101. doi: 10.4103/0973-1482.42262.
5
Second-generation sonographic contrast agent for differential diagnosis of perisplenic lesions.
AJR Am J Roentgenol. 2006 Mar;186(3):621-6. doi: 10.2214/AJR.04.1900.
6
Ultrasonography of splenic abnormalities.
World J Gastroenterol. 2005 Jul 14;11(26):4061-6. doi: 10.3748/wjg.v11.i26.4061.
7
Changing patterns in the management of splenic trauma: the impact of nonoperative management.
Ann Surg. 1998 May;227(5):708-17; discussion 717-9. doi: 10.1097/00000658-199805000-00011.
8
The clinical spectrum of splenic infarction.
Am Surg. 1998 Feb;64(2):182-8.
9
The natural history of splenic infarction.
Surgery. 1986 Oct;100(4):743-50.

文献AI研究员

20分钟写一篇综述,助力文献阅读效率提升50倍。

立即体验

用中文搜PubMed

大模型驱动的PubMed中文搜索引擎

马上搜索

文档翻译

学术文献翻译模型,支持多种主流文档格式。

立即体验