Zhang Yaqing, Velez-Delgado Ashley, Mathew Esha, Li Dongjun, Mendez Flor M, Flannagan Kevin, Rhim Andrew D, Simeone Diane M, Beatty Gregory L, Pasca di Magliano Marina
Department of Surgery, University of Michigan, Ann Arbor, Michigan, USA.
Department of Cell and Developmental Biology, University of Michigan, Ann Arbor, Michigan, USA.
Gut. 2017 Jan;66(1):124-136. doi: 10.1136/gutjnl-2016-312078. Epub 2016 Jul 8.
Pancreatic cancer is characterised by the accumulation of a fibro-inflammatory stroma. Within this stromal reaction, myeloid cells are a predominant population. Distinct myeloid subsets have been correlated with tumour promotion and unmasking of anti-tumour immunity.
The goal of this study was to determine the effect of myeloid cell depletion on the onset and progression of pancreatic cancer and to understand the relationship between myeloid cells and T cell-mediated immunity within the pancreatic cancer microenvironment.
Primary mouse pancreatic cancer cells were transplanted into CD11b-diphtheria toxin receptor (DTR) mice. Alternatively, the iKras* mouse model of pancreatic cancer was crossed into CD11b-DTR mice. CD11b cells (mostly myeloid cell population) were depleted by diphtheria toxin treatment during tumour initiation or in established tumours.
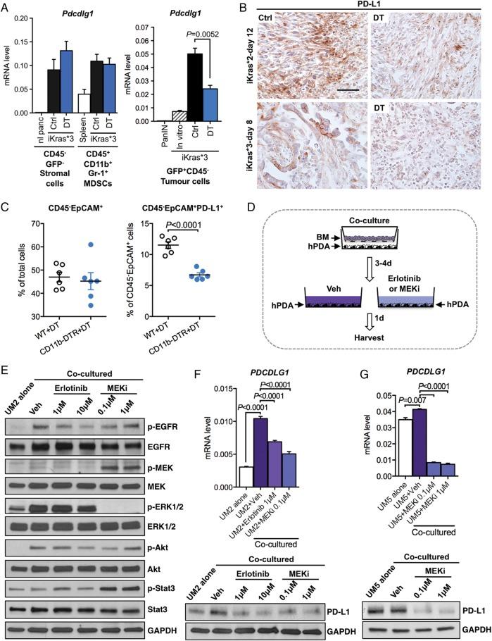
Depletion of myeloid cells prevented Kras-driven pancreatic cancer initiation. In pre-established tumours, myeloid cell depletion arrested tumour growth and in some cases, induced tumour regressions that were dependent on CD8 T cells. We found that myeloid cells inhibited CD8 T-cell anti-tumour activity by inducing the expression of programmed cell death-ligand 1 (PD-L1) in tumour cells in an epidermal growth factor receptor (EGFR)/mitogen-activated protein kinases (MAPK)-dependent manner.
Our results show that myeloid cells support immune evasion in pancreatic cancer through EGFR/MAPK-dependent regulation of PD-L1 expression on tumour cells. Derailing this crosstalk between myeloid cells and tumour cells is sufficient to restore anti-tumour immunity mediated by CD8 T cells, a finding with implications for the design of immune therapies for pancreatic cancer.
胰腺癌的特征是纤维炎性基质的积累。在这种基质反应中,髓样细胞是主要群体。不同的髓样亚群与肿瘤促进和抗肿瘤免疫的暴露相关。
本研究的目的是确定髓样细胞耗竭对胰腺癌发生和进展的影响,并了解胰腺癌微环境中髓样细胞与T细胞介导的免疫之间的关系。
将原发性小鼠胰腺癌细胞移植到CD11b-白喉毒素受体(DTR)小鼠中。或者,将胰腺癌的iKras*小鼠模型与CD11b-DTR小鼠杂交。在肿瘤起始或已建立的肿瘤中,通过白喉毒素处理使CD11b细胞(主要是髓样细胞群体)耗竭。
髓样细胞的耗竭阻止了Kras驱动的胰腺癌起始。在预先建立的肿瘤中,髓样细胞的耗竭使肿瘤生长停滞,在某些情况下,诱导肿瘤消退,这依赖于CD8 T细胞。我们发现,髓样细胞通过以表皮生长因子受体(EGFR)/丝裂原活化蛋白激酶(MAPK)依赖性方式诱导肿瘤细胞中程序性细胞死亡配体1(PD-L1)的表达来抑制CD8 T细胞的抗肿瘤活性。
我们的结果表明,髓样细胞通过EGFR/MAPK依赖性调节肿瘤细胞上PD-L1的表达来支持胰腺癌的免疫逃逸。破坏髓样细胞与肿瘤细胞之间这种串扰足以恢复由CD8 T细胞介导的抗肿瘤免疫,这一发现对胰腺癌免疫治疗的设计具有启示意义。