Peng Qian-Yi, Zou Yu, Zhang Li-Na, Ai Mei-Lin, Liu Wei, Ai Yu-Hang
Department of Critical Care Medicine, Xiangya Hospital, Central South University, Changsha, Hunan 410008, China.
Department of Anesthesia, Xiangya Hospital, Central South University, Changsha, Hunan 410008, China.
Chin Med J (Engl). 2016 Jul 20;129(14):1725-30. doi: 10.4103/0366-6999.185854.
Acute lung injury (ALI) is a common complication of sepsis that is associated with high mortality. Intracellular Ca2+ overload plays an important role in the pathophysiology of sepsis-induced ALI, and cyclic adenosine diphosphate ribose (cADPR) is an important regulator of intracellular Ca2+ mobilization. The cluster of differentiation 38 (CD38)/cADPR pathway has been found to play roles in multiple inflammatory processes but its role in sepsis-induced ALI is still unknown. This study aimed to investigate whether the CD38/cADPR signaling pathway is activated in sepsis-induced ALI and whether blocking cADPR-mediated calcium overload attenuates ALI.
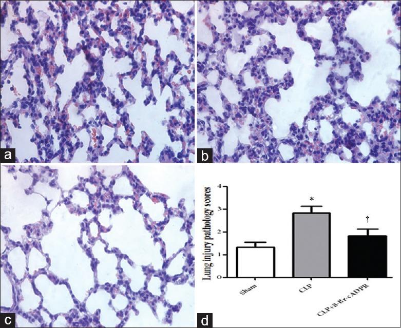
Septic rat models were established by cecal ligation and puncture (CLP). Rats were divided into the sham group, the CLP group, and the CLP+ 8-bromo-cyclic adenosine diphosphate ribose (8-Br-cADPR) group. Nicotinamide adenine dinucleotide (NAD+), cADPR, CD38, and intracellular Ca2+ levels in the lung tissues were measured at 6, 12, 24, and 48 h after CLP surgery. Lung histologic injury, tumor necrosis factor (TNF)-μ, malondialdehyde (MDA) levels, and superoxide dismutase (SOD) activities were measured.
NAD+, cADPR, CD38, and intracellular Ca2+ levels in the lungs of septic rats increased significantly at 24 h after CLP surgery. Treatment with 8-Br-cADPR, a specific inhibitor of cADPR, significantly reduced intracellular Ca2+ levels (P = 0.007), attenuated lung histological injury (P = 0.023), reduced TNF-μ and MDA levels (P < 0.001 and P = 0.002, respectively) and recovered SOD activity (P = 0.031) in the lungs of septic rats.
The CD38/cADPR pathway is activated in the lungs of septic rats, and blocking cADPR-mediated calcium overload with 8-Br-cADPR protects against sepsis-induced ALI.
急性肺损伤(ALI)是脓毒症常见的并发症,死亡率高。细胞内钙离子超载在脓毒症诱导的ALI病理生理过程中起重要作用,环磷酸腺苷二磷酸核糖(cADPR)是细胞内钙离子动员的重要调节因子。已发现分化簇38(CD38)/cADPR途径在多种炎症过程中发挥作用,但其在脓毒症诱导的ALI中的作用尚不清楚。本研究旨在探讨CD38/cADPR信号通路在脓毒症诱导的ALI中是否被激活,以及阻断cADPR介导的钙超载是否能减轻ALI。
通过盲肠结扎和穿刺(CLP)建立脓毒症大鼠模型。将大鼠分为假手术组、CLP组和CLP + 8 - 溴环磷酸腺苷二磷酸核糖(8 - Br - cADPR)组。在CLP手术后6、12、24和48小时测量肺组织中烟酰胺腺嘌呤二核苷酸(NAD +)、cADPR、CD38和细胞内钙离子水平。检测肺组织学损伤、肿瘤坏死因子(TNF)-μ、丙二醛(MDA)水平和超氧化物歧化酶(SOD)活性。
CLP手术后24小时,脓毒症大鼠肺组织中的NAD +、cADPR、CD38和细胞内钙离子水平显著升高。用cADPR的特异性抑制剂8 - Br - cADPR治疗可显著降低细胞内钙离子水平(P = 0.007),减轻肺组织学损伤(P = 0.023),降低脓毒症大鼠肺组织中的TNF - μ和MDA水平(分别为P < 0.001和P = 0.002),并恢复SOD活性(P = 0.031)。
脓毒症大鼠肺组织中CD38/cADPR途径被激活,用8 - Br - cADPR阻断cADPR介导的钙超载可预防脓毒症诱导的ALI。