Suppr超能文献

肝细胞癌淋巴结转移所致声音嘶哑:一例报告

Hoarseness due to lymph node metastasis of hepatocellular carcinoma: A case report.

作者信息

Xu Lin, Xue Feng, Wang Boqing, Yan Dong, Ding Wei, Yin Jiwei, Yi Chao, Wang Wei

机构信息

Department of Hepatopancreatobiliary Surgery, The Affiliated Tumor Hospital of Xinjiang Medical University, Urumqi, Xinjiang 830011, P.R. China.

出版信息

Oncol Lett. 2016 Aug;12(2):918-920. doi: 10.3892/ol.2016.4687. Epub 2016 Jun 8.

Abstract

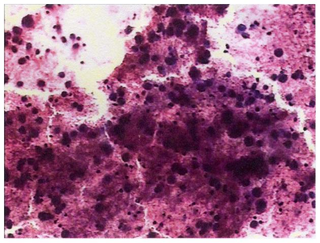
Hepatocellular carcinoma (HCC) metastases in the mediastinum are rare, particularly under the arch of the aorta. The present study describes the case of a 30-year-old male patient who presented with back pain and hoarseness for 2 months due to lymph node metastasis of HCC. The patient had undergone right hepatic lobectomy for HCC 2 years prior and received transarterial chemoembolization 4 times following resection. A computed tomography scan revealed enlarged lymph nodes under the arch of the aorta that appeared to have invaded the left recurrent laryngeal nerve, causing the hoarseness. Percutaneous aspiration biopsy of the enlarged, right supraclavicular lymph node identified malignant cells consistent with HCC. Radiation administered as a therapy to treat for the metastatic lymph nodes did not diminish the tumor but relieved the symptoms.

摘要

肝细胞癌(HCC)转移至纵隔罕见,尤其是在主动脉弓下方。本研究描述了一名30岁男性患者的病例,该患者因HCC淋巴结转移出现背痛和声音嘶哑2个月。患者2年前因HCC接受了右肝叶切除术,术后接受了4次经动脉化疗栓塞术。计算机断层扫描显示主动脉弓下方淋巴结肿大,似乎侵犯了左喉返神经,导致声音嘶哑。对肿大的右侧锁骨上淋巴结进行经皮穿刺活检,发现了与HCC一致的恶性细胞。作为转移性淋巴结治疗手段的放疗并未使肿瘤缩小,但缓解了症状。

https://cdn.ncbi.nlm.nih.gov/pmc/blobs/fba1/4950166/28385121e64f/ol-12-02-0918-g00.jpg

文献AI研究员

20分钟写一篇综述,助力文献阅读效率提升50倍。

立即体验

用中文搜PubMed

大模型驱动的PubMed中文搜索引擎

马上搜索

文档翻译

学术文献翻译模型,支持多种主流文档格式。

立即体验