• 文献检索
  • 文档翻译
  • 深度研究
  • 学术资讯
  • Suppr Zotero 插件Zotero 插件
  • 邀请有礼
  • 套餐&价格
  • 历史记录
应用&插件
Suppr Zotero 插件Zotero 插件浏览器插件Mac 客户端Windows 客户端微信小程序
定价
高级版会员购买积分包购买API积分包
服务
文献检索文档翻译深度研究API 文档MCP 服务
关于我们
关于 Suppr公司介绍联系我们用户协议隐私条款
关注我们

Suppr 超能文献

核心技术专利:CN118964589B侵权必究
粤ICP备2023148730 号-1Suppr @ 2026

文献检索

告别复杂PubMed语法,用中文像聊天一样搜索,搜遍4000万医学文献。AI智能推荐,让科研检索更轻松。

立即免费搜索

文件翻译

保留排版,准确专业,支持PDF/Word/PPT等文件格式,支持 12+语言互译。

免费翻译文档

深度研究

AI帮你快速写综述,25分钟生成高质量综述,智能提取关键信息,辅助科研写作。

立即免费体验

潜在的新型增殖标志物MCM4和MCM7与食管腺癌、鳞状细胞癌及癌前病变中的Ki-67、Bmi1和细胞周期蛋白E表达显著相关。

MCM4 and MCM7, potential novel proliferation markers, significantly correlated with Ki-67, Bmi1, and cyclin E expression in esophageal adenocarcinoma, squamous cell carcinoma, and precancerous lesions.

作者信息

Choy Bonnie, LaLonde Amy, Que Jianwen, Wu Tongtong, Zhou Zhongren

机构信息

Department of Pathology, University of Chicago, Chicago, IL 60637.

Department of Biostatistics and Computational Biology, University of Rochester Medical Center, Rochester, NY 14642.

出版信息

Hum Pathol. 2016 Nov;57:126-135. doi: 10.1016/j.humpath.2016.07.013. Epub 2016 Jul 29.

DOI:10.1016/j.humpath.2016.07.013
PMID:27476776
原文链接:https://pmc.ncbi.nlm.nih.gov/articles/PMC5250507/
Abstract

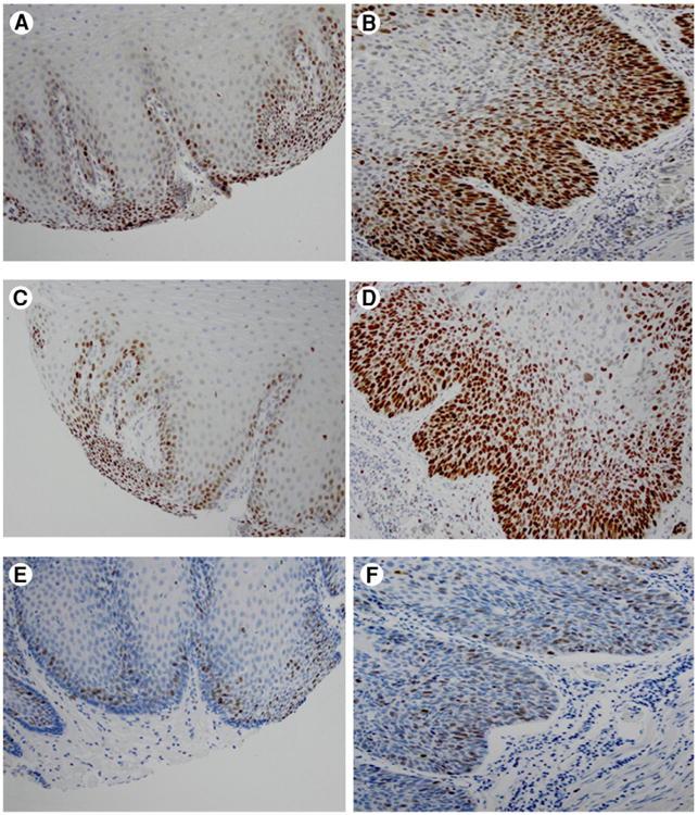
Minichromosomal maintenance (MCM) proteins are participants of DNA replication and may represent more accurate markers in determining the proliferative fraction within a tumor than proliferative marker Ki-67. Our study investigated the correlation between MCM4 and MCM7 expression and Ki-67, Bmi1, and cyclin E expression in esophageal adenocarcinoma, squamous cell carcinoma, and precancerous lesions. MCM4 and MCM7 expression had similar distribution as Ki-67 and Bmi1 expression in esophageal carcinoma and precancerous lesions. The mean percentage of MCM4, MCM7, and Ki-67 expression increased from squamous epithelium (5.5%, 7.3%, and 5.9%, respectively), to columnar cell metaplasia (11.2, 13.5%, and 3.4%), Barrett's esophagus (27.7%, 35.3%, and 8.3%), low-grade dysplasia (42.6%, 52.2%, and 12.9%), high-grade dysplasia (63.2%, 77.7%, and 29.6%), adenocarcinoma (61.3%, 75.5%, and 24.5%), and squamous cell carcinoma (74.1, 85.4%, and 36.3%). The percentages of MCM4 and MCM7 expression were significantly higher than Ki-67 expression. Using univariate analysis we found a high percentage of MCM4 expression (>70%) to be significantly associated with lymph node metastasis and shorter survival in the adenocarcinoma group. We also demonstrated the percentage of MCM4 and MCM7 expression to be significantly correlated with Ki-67, Bmi1, and cyclin E expression in esophageal carcinoma and precancerous lesions. MCM4 and MCM7 may serve as more sensitive proliferative markers for the evaluation of esophageal lesions.

摘要

微小染色体维持(MCM)蛋白是DNA复制的参与者,在确定肿瘤内增殖分数方面可能比增殖标志物Ki-67更准确。我们的研究调查了食管腺癌、鳞状细胞癌及癌前病变中MCM4和MCM7表达与Ki-67、Bmi1和细胞周期蛋白E表达之间的相关性。在食管癌及癌前病变中,MCM4和MCM7表达与Ki-67和Bmi1表达具有相似的分布。MCM4、MCM7和Ki-67表达的平均百分比从鳞状上皮(分别为5.5%、7.3%和5.9%),增加到柱状上皮化生(11.2%、13.5%和3.4%)、巴雷特食管(27.7%、35.3%和8.3%)、低级别异型增生(42.6%、52.2%和12.9%)、高级别异型增生(63.2%、77.7%和29.6%)、腺癌(61.3%、75.5%和24.5%)以及鳞状细胞癌(74.1%、85.4%和36.3%)。MCM4和MCM7表达的百分比显著高于Ki-67表达。单因素分析发现,腺癌组中高百分比的MCM4表达(>70%)与淋巴结转移及较短生存期显著相关。我们还证明,在食管癌及癌前病变中,MCM4和MCM7表达的百分比与Ki-67、Bmi1和细胞周期蛋白E表达显著相关。MCM4和MCM7可能作为评估食管病变更敏感的增殖标志物。

https://cdn.ncbi.nlm.nih.gov/pmc/blobs/1c26/5250507/62e330746476/nihms841499f5.jpg
https://cdn.ncbi.nlm.nih.gov/pmc/blobs/1c26/5250507/7adeebf8e9f1/nihms841499f1.jpg
https://cdn.ncbi.nlm.nih.gov/pmc/blobs/1c26/5250507/62701acad0d2/nihms841499f2.jpg
https://cdn.ncbi.nlm.nih.gov/pmc/blobs/1c26/5250507/431473f19014/nihms841499f3.jpg
https://cdn.ncbi.nlm.nih.gov/pmc/blobs/1c26/5250507/78bdf58bf70d/nihms841499f4.jpg
https://cdn.ncbi.nlm.nih.gov/pmc/blobs/1c26/5250507/62e330746476/nihms841499f5.jpg
https://cdn.ncbi.nlm.nih.gov/pmc/blobs/1c26/5250507/7adeebf8e9f1/nihms841499f1.jpg
https://cdn.ncbi.nlm.nih.gov/pmc/blobs/1c26/5250507/62701acad0d2/nihms841499f2.jpg
https://cdn.ncbi.nlm.nih.gov/pmc/blobs/1c26/5250507/431473f19014/nihms841499f3.jpg
https://cdn.ncbi.nlm.nih.gov/pmc/blobs/1c26/5250507/78bdf58bf70d/nihms841499f4.jpg
https://cdn.ncbi.nlm.nih.gov/pmc/blobs/1c26/5250507/62e330746476/nihms841499f5.jpg

相似文献

1
MCM4 and MCM7, potential novel proliferation markers, significantly correlated with Ki-67, Bmi1, and cyclin E expression in esophageal adenocarcinoma, squamous cell carcinoma, and precancerous lesions.潜在的新型增殖标志物MCM4和MCM7与食管腺癌、鳞状细胞癌及癌前病变中的Ki-67、Bmi1和细胞周期蛋白E表达显著相关。
Hum Pathol. 2016 Nov;57:126-135. doi: 10.1016/j.humpath.2016.07.013. Epub 2016 Jul 29.
2
High expression of carbonic anhydrase IX is significantly associated with glandular lesions in gastroesophageal junction and with tumorigenesis markers BMI1, MCM4 and MCM7.碳酸酐酶IX的高表达与胃食管交界处的腺体病变以及肿瘤发生标志物BMI1、MCM4和MCM7显著相关。
BMC Gastroenterol. 2015 Jul 9;15:80. doi: 10.1186/s12876-015-0310-6.
3
Aberrant expression of minichromosome maintenance proteins 2 and 5, and Ki-67 in dysplastic squamous oesophageal epithelium and Barrett's mucosa.微小染色体维持蛋白2和5以及Ki-67在发育异常的食管鳞状上皮和巴雷特黏膜中的异常表达。
Gut. 2002 Mar;50(3):373-7. doi: 10.1136/gut.50.3.373.
4
Malignant degeneration of Barrett's esophagus: the role of the Ki-67 proliferation fraction, expression of E-cadherin and p53.巴雷特食管的恶性变:Ki-67增殖分数、E-钙黏蛋白和p53表达的作用
Dis Esophagus. 2004;17(4):322-7. doi: 10.1111/j.1442-2050.2004.00434.x.
5
Clinicopathologic characteristics of high expression of Bmi-1 in esophageal adenocarcinoma and squamous cell carcinoma.食管腺癌和鳞癌中 Bmi-1 高表达的临床病理特征。
BMC Gastroenterol. 2012 Oct 18;12:146. doi: 10.1186/1471-230X-12-146.
6
Anti-phosphorylated histone H3 expression in Barrett's esophagus, low-grade dysplasia, high-grade dysplasia, and adenocarcinoma.抗磷酸化组蛋白 H3 在 Barrett 食管、低级别上皮内瘤变、高级别上皮内瘤变和腺癌中的表达。
Mod Pathol. 2009 Dec;22(12):1612-21. doi: 10.1038/modpathol.2009.133. Epub 2009 Sep 4.
7
Cyclin E involved in early stage carcinogenesis of esophageal adenocarcinoma by SNP DNA microarray and immunohistochemical studies.通过单核苷酸多态性DNA微阵列和免疫组织化学研究发现,细胞周期蛋白E参与食管腺癌的早期致癌过程。
BMC Gastroenterol. 2014 Apr 17;14:78. doi: 10.1186/1471-230X-14-78.
8
Overexpression of G9a and MCM7 in oesophageal squamous cell carcinoma is associated with poor prognosis.G9a和MCM7在食管鳞状细胞癌中的过表达与预后不良相关。
Histopathology. 2015 Jan;66(2):192-200. doi: 10.1111/his.12456. Epub 2014 Nov 13.
9
HLA-DR expression in tumor epithelium is an independent prognostic indicator in esophageal adenocarcinoma patients.肿瘤上皮细胞中HLA - DR的表达是食管腺癌患者的独立预后指标。
Cancer Immunol Immunother. 2017 Jul;66(7):841-850. doi: 10.1007/s00262-017-1983-1. Epub 2017 Mar 18.
10
Detection of the risk of adenocarcinoma in Barrett's esophagus by means of tumor markers (p53 and Ki67).通过肿瘤标志物(p53和Ki67)检测巴雷特食管腺癌风险
Acta Gastroenterol Latinoam. 2010 Sep;40(3):211-5.

引用本文的文献

1
Transcription factor E2F1 promotes non-small cell lung cancer progression by activating the PI3K/AKT pathway through MCM4.转录因子E2F1通过MCM4激活PI3K/AKT通路促进非小细胞肺癌进展。
J Cardiothorac Surg. 2025 May 28;20(1):244. doi: 10.1186/s13019-025-03481-z.
2
Identification of functional circRNAs regulating ovarian follicle development in goats.鉴定调控山羊卵泡发育的功能性 circRNAs。
BMC Genomics. 2024 Sep 28;25(1):893. doi: 10.1186/s12864-024-10834-w.
3
Phylloquinone improves endothelial function, inhibits cellular senescence, and vascular inflammation.

本文引用的文献

1
BMP-driven NRF2 activation in esophageal basal cell differentiation and eosinophilic esophagitis.骨形态发生蛋白驱动的NRF2激活在食管基底细胞分化和嗜酸性食管炎中的作用
J Clin Invest. 2015 Apr;125(4):1557-68. doi: 10.1172/JCI78850. Epub 2015 Mar 16.
2
Prognostic significance of minichromosome maintenance proteins in breast cancer.微小染色体维持蛋白在乳腺癌中的预后意义
Am J Cancer Res. 2014 Dec 15;5(1):52-71. eCollection 2015.
3
Cyclin E involved in early stage carcinogenesis of esophageal adenocarcinoma by SNP DNA microarray and immunohistochemical studies.
叶绿醌可改善内皮功能、抑制细胞衰老和血管炎症。
Geroscience. 2024 Oct;46(5):4909-4935. doi: 10.1007/s11357-024-01225-w. Epub 2024 Jul 9.
4
Unwinding Helicase MCM Functionality for Diagnosis and Therapeutics of Replication Abnormalities Associated with Cancer: A Review.解旋酶 MCM 功能障碍与癌症相关复制异常的诊断和治疗:综述。
Mol Diagn Ther. 2024 May;28(3):249-264. doi: 10.1007/s40291-024-00701-5. Epub 2024 Mar 26.
5
Multi-omics pan-cancer analyses identify MCM4 as a promising prognostic and diagnostic biomarker.多组学泛癌分析鉴定 MCM4 为有前途的预后和诊断生物标志物。
Sci Rep. 2024 Mar 18;14(1):6517. doi: 10.1038/s41598-024-57299-1.
6
MCM4 acts as a biomarker for LUAD prognosis.MCM4 可作为 LUAD 预后的生物标志物。
J Cell Mol Med. 2023 Nov;27(21):3354-3362. doi: 10.1111/jcmm.17819. Epub 2023 Oct 10.
7
MCM4 expression is associated with high-grade histology, tumor progression and poor prognosis in urothelial carcinoma.MCM4 表达与尿路上皮癌的高级别组织学、肿瘤进展和不良预后相关。
Diagn Pathol. 2023 Sep 22;18(1):106. doi: 10.1186/s13000-023-01392-y.
8
Identifying the personalized driver gene sets maximally contributing to abnormality of transcriptome phenotype in glioblastoma multiforme individuals.鉴定最大程度导致胶质母细胞瘤个体转录组表型异常的个性化驱动基因集。
Mol Oncol. 2023 Nov;17(11):2472-2490. doi: 10.1002/1878-0261.13499. Epub 2023 Aug 8.
9
DNA replication: Mechanisms and therapeutic interventions for diseases.DNA复制:疾病的机制与治疗干预措施
MedComm (2020). 2023 Feb 5;4(1):e210. doi: 10.1002/mco2.210. eCollection 2023 Feb.
10
Identification of Potential Biomarkers Using Integrative Approach: A Case Study of ESCC.使用综合方法鉴定潜在生物标志物:以食管癌为例
SN Comput Sci. 2023;4(2):114. doi: 10.1007/s42979-022-01492-4. Epub 2022 Dec 21.
通过单核苷酸多态性DNA微阵列和免疫组织化学研究发现,细胞周期蛋白E参与食管腺癌的早期致癌过程。
BMC Gastroenterol. 2014 Apr 17;14:78. doi: 10.1186/1471-230X-14-78.
4
MCM7 serves as a prognostic marker in diffuse-type gastric adenocarcinoma and siRNA-mediated knockdown suppresses its oncogenic function.MCM7作为弥漫型胃腺癌的预后标志物,且小干扰RNA介导的敲低可抑制其致癌功能。
Oncol Rep. 2014 May;31(5):2071-8. doi: 10.3892/or.2014.3094. Epub 2014 Mar 19.
5
Prereplication-complex formation: a molecular double take?复制前复合物形成:分子的双重思考?
Nat Struct Mol Biol. 2014 Jan;21(1):20-5. doi: 10.1038/nsmb.2738.
6
Phosphorylation of minichromosome maintenance protein 7 (MCM7) by cyclin/cyclin-dependent kinase affects its function in cell cycle regulation.微染色体维持蛋白 7(MCM7)的磷酸化由细胞周期蛋白/细胞周期依赖性激酶调控,影响其在细胞周期调控中的功能。
J Biol Chem. 2013 Jul 5;288(27):19715-25. doi: 10.1074/jbc.M112.449652. Epub 2013 May 17.
7
ATPase-dependent quality control of DNA replication origin licensing.ATP 依赖的 DNA 复制起始许可的质量控制。
Nature. 2013 Mar 21;495(7441):339-43. doi: 10.1038/nature11920. Epub 2013 Mar 10.
8
The protein levels of MCM7 and p63 in evaluating lesion severity of cervical disease.MCM7 和 p63 蛋白水平评估宫颈疾病病变程度。
Int J Gynecol Cancer. 2013 Feb;23(2):318-24. doi: 10.1097/IGC.0b013e31827f6f06.
9
Multicenter validation of cyclin D1, MCM7, TRIM29, and UBE2C as prognostic protein markers in non-muscle-invasive bladder cancer.多中心验证细胞周期蛋白 D1、MCM7、TRIM29 和 UBE2C 作为非肌肉浸润性膀胱癌的预后蛋白标志物。
Am J Pathol. 2013 Feb;182(2):339-49. doi: 10.1016/j.ajpath.2012.10.017. Epub 2012 Nov 28.
10
Clinicopathologic characteristics of high expression of Bmi-1 in esophageal adenocarcinoma and squamous cell carcinoma.食管腺癌和鳞癌中 Bmi-1 高表达的临床病理特征。
BMC Gastroenterol. 2012 Oct 18;12:146. doi: 10.1186/1471-230X-12-146.