Suppr超能文献

Bednar Tumor: An Uncommon Entity.

作者信息

Amonkar Gayathri P, Rupani Asha, Shah Ajay, Deshpande Ramesh

机构信息

Department of Pathology, T.N. Medical College and B.Y.L. Nair Hospital, Mumbai, India.

出版信息

Dermatopathology (Basel). 2016 Apr 20;3(2):36-8. doi: 10.1159/000445714. eCollection 2016 Apr-Jun.

Abstract

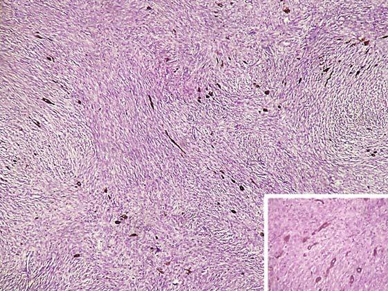
Bednar tumor is an uncommon variant of dermatofibrosarcoma protuberans. Also known as pigmented dermatofibrosarcoma protuberans, this tumor is of intermediate grade. It is seen in adults and has a predisposition to affect the shoulder region. We report a rare case of Bednar tumor in a 40-year-old female patient. The diagnosis of Bednar tumor must be considered while reporting pigmented subcutaneous spindle cell lesions.

摘要
https://cdn.ncbi.nlm.nih.gov/pmc/blobs/f2e6/4965538/e8c593fe04a9/dpa-0003-0036-g01.jpg

相似文献

1
Bednar Tumor: An Uncommon Entity.
Dermatopathology (Basel). 2016 Apr 20;3(2):36-8. doi: 10.1159/000445714. eCollection 2016 Apr-Jun.
2
A case of congenital pigmented dermatofibrosarcoma protuberans (Bednar tumor) in a patient with Fanconi anemia.
Pediatr Dermatol. 2011 Sep-Oct;28(5):583-5. doi: 10.1111/j.1525-1470.2011.01350.x. Epub 2011 Mar 25.
3
A case of pigmented dermatofibrosarcoma protuberans (Bednar tumor).
J Dermatol. 1997 Jun;24(6):390-4. doi: 10.1111/j.1346-8138.1997.tb02809.x.
4
Pigmented dermatofibrosarcoma (Bednar tumour) of scalp.
BMJ Case Rep. 2023 Sep 27;16(9):e254473. doi: 10.1136/bcr-2022-254473.
6
Giant-cell fibroblastoma with pigmented dermatofibrosarcoma protuberans component.
Am J Surg Pathol. 1994 Jul;18(7):736-40. doi: 10.1097/00000478-199407000-00010.
8
Pigmented dermatofibrosarcoma protuberans with prominent meningothelial-like whorls.
J Cutan Pathol. 2008 Oct;35 Suppl 1:65-9. doi: 10.1111/j.1600-0560.2007.00963.x. Epub 2008 Jun 9.
10
Bednar Tumour Occurring after Malignant Melanoma Excision.
Case Rep Pathol. 2018 Oct 1;2018:7694272. doi: 10.1155/2018/7694272. eCollection 2018.

引用本文的文献

1
Pigmented dermatofibrosarcoma (Bednar tumour) of scalp.
BMJ Case Rep. 2023 Sep 27;16(9):e254473. doi: 10.1136/bcr-2022-254473.
2
When a bruise gets important: Bednar tumour.
BMJ Case Rep. 2019 Feb 11;12(2):e228446. doi: 10.1136/bcr-2018-228446.

本文引用的文献

1
Variant of dermatofibrosarcoma protuberans: bednar tumor.
Indian J Dermatol. 2015 Jan-Feb;60(1):107. doi: 10.4103/0019-5154.147885.
5
Bednar tumor of the foot: a case report.
Foot Ankle Int. 2001 Apr;22(4):339-41. doi: 10.1177/107110070102200412.

文献AI研究员

20分钟写一篇综述,助力文献阅读效率提升50倍。

立即体验

用中文搜PubMed

大模型驱动的PubMed中文搜索引擎

马上搜索

文档翻译

学术文献翻译模型,支持多种主流文档格式。

立即体验