Suppr超能文献

肺母细胞瘤:一例病例报告及肿瘤诱导性低血糖症文献简要综述

Pulmonary blastoma: a case report and brief review of the literature of tumor-induced hypoglycemia.

作者信息

Mohajeri Tehrani Mohammad Reza, Ghorbani Abdehgah Ali, Molavi Behnam, Sefidbakht Salma, Maleki Ali Reza, Radmard Amir Reza

机构信息

Endocrinology and Metabolic Research Center, Endocrinology and Metabolism Research Institute, Tehran University of Medical Sciences, Tehran, Iran.

Department of Surgery, Research Center for Improvement of Surgical Outcomes and Procedures, Shariati Hospital, Tehran University of Medical Sciences, North Kargar Street, Tehran, Iran.

出版信息

J Diabetes Metab Disord. 2016 Aug 15;15:32. doi: 10.1186/s40200-016-0255-5. eCollection 2015.

Abstract

BACKGROUND

Tumor induced hypoglycemia (TIH) is a rare clinical entity that can be caused by different mechanisms such as secretion of various substances, autoimmune disorders, massive tumoral infiltration of liver, and pituitary or adrenal glands destruction by tumors. Furthermore, any type of neoplasms can cause TIH.

CASE PRESENTATION

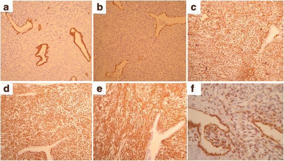
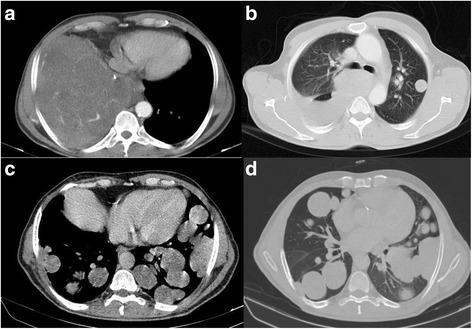
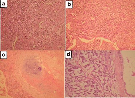
The patient presented with a case of classic biphasic pulmonary blastoma (CBPB) with hypoglycemia. Chest CT scan showed 2 huge masses in the right hemi-thorax and multiple smaller masses located in the left hemi-thorax. The patient underwent surgery, and was referred to an oncologist for adjuvant therapy.

CONCLUSION

CBPB is a rare primary lung tumor with poor prognosis. They are classically large, symptomatic tumors with lymph node metastasis. Surgical resection at early stages has been more effective than other treatments; however, there is no standard treatment in unresectable cases. Adjuvant treatments have been temporarily effective.

摘要

背景

肿瘤诱发的低血糖症(TIH)是一种罕见的临床病症,可由多种机制引起,如各种物质的分泌、自身免疫性疾病、肝脏的大量肿瘤浸润以及肿瘤对垂体或肾上腺的破坏。此外,任何类型的肿瘤都可导致TIH。

病例报告

该患者患有伴有低血糖症的经典双相性肺母细胞瘤(CBPB)。胸部CT扫描显示右半胸有2个巨大肿块,左半胸有多个较小肿块。患者接受了手术,并转诊给肿瘤学家进行辅助治疗。

结论

CBPB是一种罕见的原发性肺肿瘤,预后较差。它们通常是有症状的大肿瘤,伴有淋巴结转移。早期手术切除比其他治疗方法更有效;然而,对于无法切除的病例,尚无标准治疗方法。辅助治疗暂时有效。

https://cdn.ncbi.nlm.nih.gov/pmc/blobs/d03f/4986194/5430fb534e45/40200_2016_255_Fig1_HTML.jpg

文献AI研究员

20分钟写一篇综述,助力文献阅读效率提升50倍。

立即体验

用中文搜PubMed

大模型驱动的PubMed中文搜索引擎

马上搜索

文档翻译

学术文献翻译模型,支持多种主流文档格式。

立即体验