• 文献检索
  • 文档翻译
  • 深度研究
  • 学术资讯
  • Suppr Zotero 插件Zotero 插件
  • 邀请有礼
  • 套餐&价格
  • 历史记录
应用&插件
Suppr Zotero 插件Zotero 插件浏览器插件Mac 客户端Windows 客户端微信小程序
定价
高级版会员购买积分包购买API积分包
服务
文献检索文档翻译深度研究API 文档MCP 服务
关于我们
关于 Suppr公司介绍联系我们用户协议隐私条款
关注我们

Suppr 超能文献

核心技术专利:CN118964589B侵权必究
粤ICP备2023148730 号-1Suppr @ 2026

文献检索

告别复杂PubMed语法,用中文像聊天一样搜索,搜遍4000万医学文献。AI智能推荐,让科研检索更轻松。

立即免费搜索

文件翻译

保留排版,准确专业,支持PDF/Word/PPT等文件格式,支持 12+语言互译。

免费翻译文档

深度研究

AI帮你快速写综述,25分钟生成高质量综述,智能提取关键信息,辅助科研写作。

立即免费体验

长期使用抗骨质疏松药物治疗后双侧股骨颈不全骨折:一例报告

Bilateral Femoral Neck Insufficiency Fractures after Use of a Long-term Anti-resorptive Drug Therapy for Osteoporosis: A Case Report.

作者信息

Ahn Dong-Ki, Kim Jin-Hak, Lee Jae-Il, Kim Jin-Woo

机构信息

Department of Orthopedic Surgery, Seoul Sacred Heart General Hospital, Seoul, Korea.

出版信息

Hip Pelvis. 2015 Jun;27(2):115-9. doi: 10.5371/hp.2015.27.2.115. Epub 2015 Jun 30.

DOI:10.5371/hp.2015.27.2.115
PMID:27536613
原文链接:https://pmc.ncbi.nlm.nih.gov/articles/PMC4972626/
Abstract

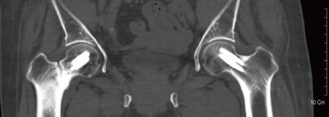
A 78-year-old woman developed an insufficiency fracture on her right femoral neck without trauma after four years of treatment with a bisphosphonate. Her fracture was fixed by two screws and her anti-osteoporotic drug was changed from an anti-resorptive to an anabolic agent. Seven months later, however, she sustained similar insufficiency fracture on the left femoral neck and was treated with the same method. She developed right inguinal pain again approximately eight months after her right side operation. The results of imaging tests revealed that her insufficiency fracture was converted to complete fracture, and that the fracture gap had widened as well. Her right hip was revised with hemiarthroplasty. A histological exam of the fracture site revealed evidence of decreased bone healing. Long-term administration of anti-resorptive drug prevents bone healing and remodeling and can result in atypical fractures of the femoral neck. Osteosynthesis was difficult to accomplish despite the application of proactive fixation. Therefore, more rigid fixation and careful postoperative treatment should be considered.

摘要

一名78岁女性在使用双膦酸盐治疗四年后,右侧股骨颈无外伤情况下发生了不全骨折。她的骨折通过两枚螺钉固定,抗骨质疏松药物从抗吸收剂改为合成代谢剂。然而,七个月后,她左侧股骨颈又发生了类似的不全骨折,并接受了相同的治疗方法。右侧手术约八个月后,她再次出现右腹股沟疼痛。影像学检查结果显示,她的不全骨折已转变为完全骨折,骨折间隙也变宽了。她的右髋进行了半髋关节置换翻修手术。骨折部位的组织学检查显示骨愈合减少的证据。长期使用抗吸收药物会妨碍骨愈合和重塑,并可能导致股骨颈非典型骨折。尽管采用了积极的固定方法,但骨接合术仍难以完成。因此,应考虑更坚固的固定和仔细的术后治疗。

https://cdn.ncbi.nlm.nih.gov/pmc/blobs/dcce/4972626/a35dbe293ec3/hp-27-115-g004.jpg
https://cdn.ncbi.nlm.nih.gov/pmc/blobs/dcce/4972626/67dc0226069b/hp-27-115-g001.jpg
https://cdn.ncbi.nlm.nih.gov/pmc/blobs/dcce/4972626/3f360dc10c5e/hp-27-115-g002.jpg
https://cdn.ncbi.nlm.nih.gov/pmc/blobs/dcce/4972626/32d6233e4c2c/hp-27-115-g003.jpg
https://cdn.ncbi.nlm.nih.gov/pmc/blobs/dcce/4972626/a35dbe293ec3/hp-27-115-g004.jpg
https://cdn.ncbi.nlm.nih.gov/pmc/blobs/dcce/4972626/67dc0226069b/hp-27-115-g001.jpg
https://cdn.ncbi.nlm.nih.gov/pmc/blobs/dcce/4972626/3f360dc10c5e/hp-27-115-g002.jpg
https://cdn.ncbi.nlm.nih.gov/pmc/blobs/dcce/4972626/32d6233e4c2c/hp-27-115-g003.jpg
https://cdn.ncbi.nlm.nih.gov/pmc/blobs/dcce/4972626/a35dbe293ec3/hp-27-115-g004.jpg

相似文献

1
Bilateral Femoral Neck Insufficiency Fractures after Use of a Long-term Anti-resorptive Drug Therapy for Osteoporosis: A Case Report.长期使用抗骨质疏松药物治疗后双侧股骨颈不全骨折:一例报告
Hip Pelvis. 2015 Jun;27(2):115-9. doi: 10.5371/hp.2015.27.2.115. Epub 2015 Jun 30.
2
Early detected femoral neck insufficiency fracture in a patient treated with long-term bisphosphonate therapy for osteoporosis: A need for MRI.长期接受双膦酸盐治疗骨质疏松症患者中早期发现的股骨颈不全骨折:MRI检查的必要性
Int J Surg Case Rep. 2020;70:213-215. doi: 10.1016/j.ijscr.2020.04.003. Epub 2020 May 7.
3
Incomplete femoral neck fracture with characteristics of atypical femoral fracture: A case report and literature review.具有非典型股骨骨折特征的股骨颈不完全骨折:一例报告及文献综述
Trauma Case Rep. 2024 Jul 29;53:101091. doi: 10.1016/j.tcr.2024.101091. eCollection 2024 Oct.
4
Bilateral femoral neck fractures secondary to chronic carbamazepine use treated by bilateral dynamic hip screw: A case report.双侧动力髋螺钉治疗慢性卡马西平使用继发的双侧股骨颈骨折:一例报告
Int J Surg Case Rep. 2015;6C:111-3. doi: 10.1016/j.ijscr.2014.12.019. Epub 2014 Dec 15.
5
Contemporaneous Insufficiency Fractures of Bilateral Femoral Necks in an Older Patient Taking Bisphosphonate: A Case Report and Literature Review.一名服用双膦酸盐的老年患者双侧股骨颈同时发生的不全骨折:病例报告及文献综述
Case Rep Orthop. 2022 Apr 29;2022:9294289. doi: 10.1155/2022/9294289. eCollection 2022.
6
Bilateral femoral neck fractures associated with complex pelvic ring injuries in a pediatric patient: a case report.一名儿科患者双侧股骨颈骨折合并复杂骨盆环损伤:病例报告
J Pediatr Orthop B. 2017 Jul;26(4):350-357. doi: 10.1097/BPB.0000000000000375.
7
Unusual subtrochanteric femoral insufficiency fractures associated with the prolonged use of alendronate and risedronate: a report of two cases.与阿仑膦酸钠和利塞膦酸钠长期使用相关的不典型股骨转子下骨不全骨折:两例报告
J Med Assoc Thai. 2011 Dec;94 Suppl 7:S214-20.
8
Spontaneous bilateral femoral neck fractures in a young male adult: a case report and literature review.年轻男性成人自发性双侧股骨颈骨折 1 例报告并文献复习。
BMC Musculoskelet Disord. 2019 Oct 15;20(1):449. doi: 10.1186/s12891-019-2857-9.
9
Subcapital femoral neck fracture after closed reduction and internal fixation of an intertrochanteric hip fracture: a case report and review of the literature.股骨转子间髋部骨折闭合复位内固定术后股骨颈基底部骨折:一例病例报告及文献复习
Am J Orthop (Belle Mead NJ). 1999 Sep;28(9):517-21.
10
Rare non-traumatic periprosthetic femoral fracture with features of an atypical femoral fracture: a case report.具有非典型股骨骨折特征的罕见非创伤性人工关节周围股骨骨折:一例报告
J Med Case Rep. 2015 May 6;9:103. doi: 10.1186/s13256-015-0590-z.

引用本文的文献

1
Incomplete femoral neck fracture with characteristics of atypical femoral fracture: A case report and literature review.具有非典型股骨骨折特征的股骨颈不完全骨折:一例报告及文献综述
Trauma Case Rep. 2024 Jul 29;53:101091. doi: 10.1016/j.tcr.2024.101091. eCollection 2024 Oct.
2
Early detected femoral neck insufficiency fracture in a patient treated with long-term bisphosphonate therapy for osteoporosis: A need for MRI.长期接受双膦酸盐治疗骨质疏松症患者中早期发现的股骨颈不全骨折:MRI检查的必要性
Int J Surg Case Rep. 2020;70:213-215. doi: 10.1016/j.ijscr.2020.04.003. Epub 2020 May 7.
3
Successful treatment for bilateral femoral neck insufficiency fractures: a rare lesion case report and an updated review of the literature.

本文引用的文献

1
Insufficiency fracture of ipsilateral femur neck in patient treated with long term bisphosphonate treatment - a case report -.长期使用双膦酸盐治疗患者的同侧股骨颈不全骨折——病例报告——
J Bone Metab. 2012 Nov;19(2):159-62. doi: 10.11005/jbm.2012.19.2.159. Epub 2012 Nov 16.
2
An emerging pattern of subtrochanteric stress fractures: a long-term complication of alendronate therapy?粗隆下应力性骨折的一种新出现模式:阿仑膦酸盐治疗的一种长期并发症?
Injury. 2008 Feb;39(2):224-31. doi: 10.1016/j.injury.2007.08.036. Epub 2008 Jan 28.
3
Microcracks colocalize within highly mineralized regions of cortical bone tissue.
双侧股骨颈骨不连骨折的成功治疗:罕见病变病例报告及文献复习更新。
BMC Musculoskelet Disord. 2020 Feb 14;21(1):102. doi: 10.1186/s12891-020-3107-x.
4
Acetabular Insufficiency Fracture Following Prolonged Alendronate Use and the Failure of Total Hip Arthroplasty in "Frozen" Bone: Two Cases Report.长期使用阿仑膦酸盐后髋臼不全骨折及“骨质冻结”状态下全髋关节置换失败:两例报告
Hip Pelvis. 2017 Dec;29(4):286-290. doi: 10.5371/hp.2017.29.4.286. Epub 2017 Dec 1.
5
Atraumatic femoral neck fracture during bisphosphonate treatment: case report and review of the literature.双膦酸盐治疗期间的非创伤性股骨颈骨折:病例报告及文献综述
Aging Clin Exp Res. 2018 Jul;30(7):881-885. doi: 10.1007/s40520-017-0846-0. Epub 2017 Oct 27.
微裂纹在皮质骨组织的高矿化区域内共定位。
Eur J Morphol. 2005 Feb-Apr;42(1-2):43-51. doi: 10.1080/09243860500095471.
4
Severely suppressed bone turnover: a potential complication of alendronate therapy.严重抑制骨转换:阿仑膦酸盐治疗的一种潜在并发症。
J Clin Endocrinol Metab. 2005 Mar;90(3):1294-301. doi: 10.1210/jc.2004-0952. Epub 2004 Dec 14.
5
Ibandronate: a clinical pharmacological and pharmacokinetic update.伊班膦酸盐:临床药理学与药代动力学最新进展
J Clin Pharmacol. 2004 Sep;44(9):951-65. doi: 10.1177/0091270004267594.
6
Ten years' experience with alendronate for osteoporosis in postmenopausal women.阿仑膦酸钠治疗绝经后妇女骨质疏松症的十年经验。
N Engl J Med. 2004 Mar 18;350(12):1189-99. doi: 10.1056/NEJMoa030897.
7
Insufficiency fracture. A survey of 60 cases and review of the literature.应力性骨折。60例病例调查及文献综述。
Joint Bone Spine. 2003 Jun;70(3):209-18. doi: 10.1016/s1297-319x(03)00024-1.
8
Insufficiency fracture of the femoral neck during osteoporosis treatment: a case report.骨质疏松症治疗期间股骨颈应力性骨折:一例报告
J Orthop Sci. 2002;7(6):707-12. doi: 10.1007/s007760200126.
9
Randomised trial of effect of alendronate on risk of fracture in women with existing vertebral fractures. Fracture Intervention Trial Research Group.阿仑膦酸盐对已有椎体骨折女性骨折风险影响的随机试验。骨折干预试验研究组。
Lancet. 1996 Dec 7;348(9041):1535-41. doi: 10.1016/s0140-6736(96)07088-2.
10
Prospective evaluation of patients with suspected hip fracture and indeterminate radiographs: use of T1-weighted MR images.疑似髋部骨折且X线片结果不明确患者的前瞻性评估:T1加权磁共振成像的应用
Radiology. 1993 May;187(2):469-71. doi: 10.1148/radiology.187.2.8475292.