Suppr超能文献

缺乏Xist RNA的雌性小鼠表现出部分剂量补偿并能足月存活。

Female mice lacking Xist RNA show partial dosage compensation and survive to term.

作者信息

Yang Lin, Kirby James E, Sunwoo Hongjae, Lee Jeannie T

机构信息

Howard Hughes Medical Institute, Massachusetts General Hospital, Boston, Massachusetts 02114, USA; Department of Molecular Biology, Massachusetts General Hospital, Boston, Massachusetts 02114, USA; Department of Genetics, Harvard Medical School, Boston, Massachusetts 02114, USA;

Department of Pathology, Beth Israel Deaconess Medical Center, Harvard Medical School, Boston, Massachusetts 02114, USA.

出版信息

Genes Dev. 2016 Aug 1;30(15):1747-60. doi: 10.1101/gad.281162.116.

Abstract

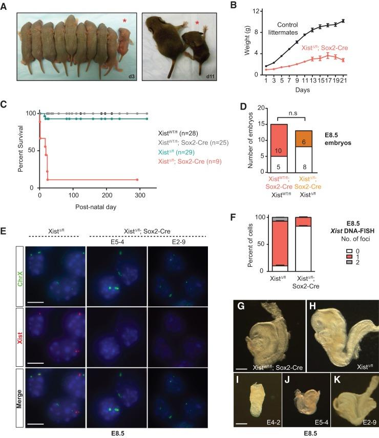
X-chromosome inactivation (XCI) compensates for differences in X-chromosome number between male and female mammals. XCI is orchestrated by Xist RNA, whose expression in early development leads to transcriptional silencing of one X chromosome in the female. Knockout studies have established a requirement for Xist with inviability of female embryos that inherit an Xist deletion from the father. Here, we report that female mice lacking Xist RNA can, surprisingly, develop and survive to term. Xist-null females are born at lower frequency and are smaller at birth, but organogenesis is mostly normal. Transcriptomic analysis indicates significant overexpression of hundreds of X-linked genes across multiple tissues. Therefore, Xist-null mice can develop to term in spite of a deficiency of dosage compensation. However, the degree of X-autosomal dosage imbalance was less than anticipated (1.14-fold to 1.36-fold). Thus, partial dosage compensation can be achieved without Xist, supporting the idea of inherent genome balance. Nevertheless, to date, none of the mutant mice has survived beyond weaning stage. Sudden death is associated with failure of postnatal organ maturation. Our data suggest Xist-independent mechanisms of dosage compensation and demonstrate that small deviations from X-autosomal balance can have profound effects on overall fitness.

摘要

X染色体失活(XCI)补偿了雄性和雌性哺乳动物之间X染色体数量的差异。XCI由Xist RNA精心调控,其在早期发育中的表达导致雌性一条X染色体的转录沉默。基因敲除研究表明,从父亲那里继承Xist缺失的雌性胚胎无法存活,这证明了Xist的必要性。在此,我们报告,令人惊讶的是,缺乏Xist RNA的雌性小鼠能够发育并足月出生。Xist基因缺失的雌性小鼠出生频率较低,出生时体型较小,但器官发生大多正常。转录组分析表明,多个组织中数百个X连锁基因显著过表达。因此,尽管缺乏剂量补偿,Xist基因缺失的小鼠仍能发育至足月。然而,X染色体与常染色体剂量失衡的程度低于预期(1.14倍至1.36倍)。因此,无需Xist也能实现部分剂量补偿,这支持了固有基因组平衡的观点。然而,迄今为止,没有一只突变小鼠能存活到断奶阶段。猝死与出生后器官成熟失败有关。我们的数据表明存在不依赖Xist的剂量补偿机制,并证明X染色体与常染色体平衡的微小偏差可能对整体健康产生深远影响。

https://cdn.ncbi.nlm.nih.gov/pmc/blobs/7cdc/5002979/9984e2421547/1747f01.jpg

文献AI研究员

20分钟写一篇综述,助力文献阅读效率提升50倍。

立即体验

用中文搜PubMed

大模型驱动的PubMed中文搜索引擎

马上搜索

文档翻译

学术文献翻译模型,支持多种主流文档格式。

立即体验