Suppr超能文献

Adrenal Neuroblastoma in an Adult: Effect of Radiotherapy on Local Progression after Surgical Removal.

作者信息

Kurokawa Satoshi, Mizuno Kentaro, Nakane Akihiro, Moritoki Yoshinobu, Nishio Hidenori, Kamisawa Hideyuki, Kubota Yasue, Okada Atsushi, Kawai Noriyasu, Hayashi Yutaro, Yasui Takahiro

机构信息

Department of Nephro-urology, Nagoya City University Graduate School of Medical Sciences, 1 Kawasumi, Mizuho-cho, Mizuho-ku, Nagoya 467-8601, Japan; Department of Urology, Nagoya Tokushukai General Hospital, 2-52 Kozoji-cho-kita, Kasugai 487-0016, Japan.

Department of Nephro-urology, Nagoya City University Graduate School of Medical Sciences, 1 Kawasumi, Mizuho-cho, Mizuho-ku, Nagoya 467-8601, Japan.

出版信息

Case Rep Urol. 2016;2016:2657632. doi: 10.1155/2016/2657632. Epub 2016 Jul 27.

Abstract

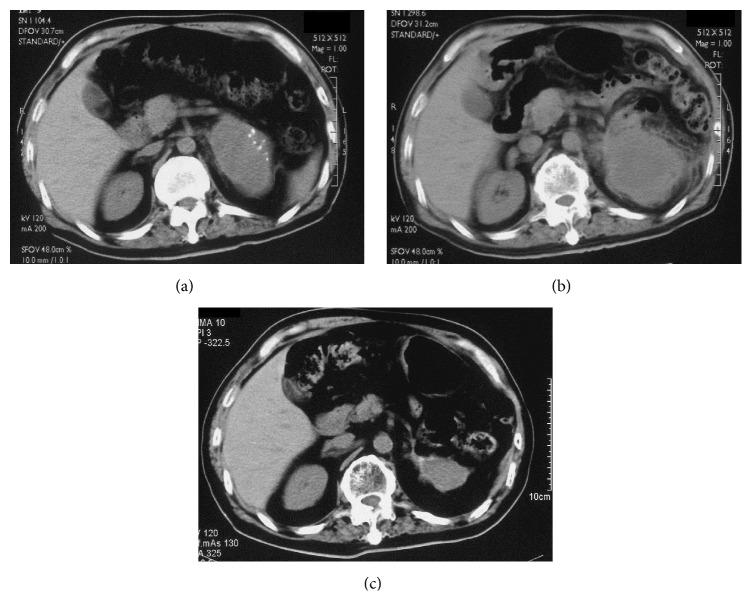
Here, we report the case of a 62-year-old man with neuroblastoma, which is extremely rare in adults. His tumor was resected, but it recurred four months later. Radiotherapy reduced tumor size, and the patient remained in good health three years after surgical tumor removal. The residual tumor and the treatments administered to this patient were evaluated. We have also reviewed the literature.

摘要
https://cdn.ncbi.nlm.nih.gov/pmc/blobs/b4c8/4978852/e8dd4ca9646b/CRIU2016-2657632.001.jpg

文献AI研究员

20分钟写一篇综述,助力文献阅读效率提升50倍。

立即体验

用中文搜PubMed

大模型驱动的PubMed中文搜索引擎

马上搜索

文档翻译

学术文献翻译模型,支持多种主流文档格式。

立即体验