Suppr超能文献

表现为脑室内出血的原发性中枢神经系统血管炎。

Primary CNS vasculitis presenting as intraventricular bleeding.

作者信息

Pillai Sreeja Hareendranathan, Sreedharan Sapna Erat, Menon Girish, Kannoth Santhosh, Pn Sylaja

机构信息

Department of Neurology, Sree Chitra Tirunal Institute for Medical Sciences and Technology, Trivandrum, Kerala, India.

Department of Neurosurgery, Sree Chitra Tirunal Institute for Medical Sciences and Technology, Trivandrum, Kerala, India.

出版信息

Ann Indian Acad Neurol. 2016 Jul-Sep;19(3):406-8. doi: 10.4103/0972-2327.186845.

Abstract

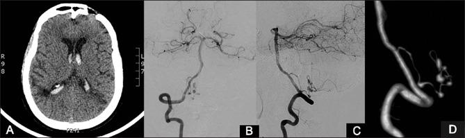
Primary angiitis of the central nervous system (PACNS) is a rare disorder affecting both medium- and small-sized vessels. Intracranial haemorrhages though less reported are in the form of parenchymal haemorrhage and subarachnoid haemorrhage. We report a case of PACNS with intraventricular haemorrhage due to aneurysms secondary to progression of vasculitis.

摘要

中枢神经系统原发性血管炎(PACNS)是一种罕见的疾病,可累及中小血管。颅内出血虽报道较少,但形式为脑实质出血和蛛网膜下腔出血。我们报告一例因血管炎进展继发动脉瘤导致脑室出血的PACNS病例。

https://cdn.ncbi.nlm.nih.gov/pmc/blobs/d64e/4980972/1c25b2c9fb25/AIAN-19-406-g001.jpg

文献AI研究员

20分钟写一篇综述,助力文献阅读效率提升50倍。

立即体验

用中文搜PubMed

大模型驱动的PubMed中文搜索引擎

马上搜索

文档翻译

学术文献翻译模型,支持多种主流文档格式。

立即体验