Suppr超能文献

原发性中枢神经系统血管炎作为脑出血的罕见病因:一例报告

Primary Central Nervous System Vasculitis as an Unusual Cause of Intracerebral Hemorrhage: A Case Report.

作者信息

Borcheni Mariem, Abdelazeem Basel, Malik Bilal, Gurugubelli Simhachalam, Kunadi Arvind

机构信息

Internal Medicine, University of Sfax Faculty of Medicine, Sfax, TUN.

Internal Medicine, McLaren Health Care, Flint/Michigan State University, Flint, USA.

出版信息

Cureus. 2021 Mar 12;13(3):e13847. doi: 10.7759/cureus.13847.

Abstract

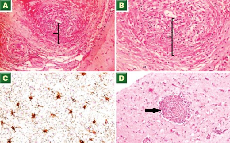
A 64-year-old male with a history of transverse myelitis presented to the hospital with a decreased level of consciousness of one day's duration. CT of the head revealed intracranial hemorrhage measuring 2 x 1.2 cm in the right temporal lobe and multiple small hemorrhages in the left hemisphere, suggestive of vasculitis. Initial vasculitis workup was negative for antinuclear antibody (ANA), complement component 3 (C3), and antineutrophil cytoplasmic antibodies: P-ANCA, C-ANCA. Syphilis, hepatitis B and C, West Nile virus antibody [immunoglobulin G (IgG) and immunoglobulin M (IgM)], herpes simplex virus (HSV) polymerase chain reaction (PCR), and HIV 1 and 2 were also negative. In view of the CT scan findings suggestive of vasculitis and the vague presentation of primary central nervous system vasculitis (PCNSV), a brain biopsy was performed. It revealed angiocentric granulomatous inflammation with focal vessel disruption and associated parenchymal hemorrhage, consistent with a diagnosis of granulomatous vasculitis. The patient received levetiracetam, multiple high doses of steroids, and six cycles of cyclophosphamide for a six-month duration. After induction, he has remained in remission without any maintenance therapy until now (eight years post-presentation).

摘要

一名64岁男性,有横贯性脊髓炎病史,因意识水平下降1天入院。头部CT显示右颞叶有2×1.2厘米的颅内出血,左半球有多处小出血,提示血管炎。初始血管炎检查抗核抗体(ANA)、补体成分3(C3)和抗中性粒细胞胞浆抗体:P-ANCA、C-ANCA均为阴性。梅毒、乙型和丙型肝炎、西尼罗河病毒抗体[免疫球蛋白G(IgG)和免疫球蛋白M(IgM)]、单纯疱疹病毒(HSV)聚合酶链反应(PCR)以及HIV 1和2也均为阴性。鉴于CT扫描结果提示血管炎以及原发性中枢神经系统血管炎(PCNSV)表现不明确,遂进行了脑活检。结果显示为血管中心性肉芽肿性炎症,伴有局灶性血管破坏和相关实质出血,符合肉芽肿性血管炎的诊断。患者接受了左乙拉西坦、多次大剂量类固醇以及六个周期的环磷酰胺治疗,为期6个月。诱导治疗后,他一直处于缓解状态,至今(就诊后8年)未进行任何维持治疗。

https://cdn.ncbi.nlm.nih.gov/pmc/blobs/cada/8038648/64fea42f6328/cureus-0013-00000013847-i03.jpg

文献检索

告别复杂PubMed语法,用中文像聊天一样搜索,搜遍4000万医学文献。AI智能推荐,让科研检索更轻松。

立即免费搜索

文件翻译

保留排版,准确专业,支持PDF/Word/PPT等文件格式,支持 12+语言互译。

免费翻译文档

深度研究

AI帮你快速写综述,25分钟生成高质量综述,智能提取关键信息,辅助科研写作。

立即免费体验