Department of Burns, Jinan Central Hospital Affiliated to Shandong University, 105 Jiefang Road, Jinan, Shandong 250013 PR China.
Burns Trauma. 2016 May 27;4:23. doi: 10.1186/s41038-016-0045-9. eCollection 2016.
Staged excision and grafting with viable cryopreserved alloskin or fresh pigskin at an early stage is a main strategy for wound management in massive burns. Alloskin is the gold standard of a biological temporary skin substitute, and the main drawback to its wider use is the limited number of donors. In this paper, we compare the use of fresh pigskins to cryopreserved alloskins as temporary skin substitutes on subcutaneous tissue wounds after tangential excision by observing the clinical performances of these grafts in cases of a massive burn.
We selected six adult massive burn patients undergoing tangential excision and skin grafting on subcutaneous tissue wounds (TESGSTW) at our burn center from January 1, 2003 to December 31, 2013. The general clinical data and survival percentage of skins at postoperative weeks (POWs) 1, 2, and 3 were analyzed. In our clinical practice, we also observed the phenomenon that several viable cryopreserved alloskin or fresh pigskin grafts used as temporary coverage on subcutaneous tissue wounds had long-term survival after repeated desquamation. The macroscopic and histological results of one typical case were also analyzed.
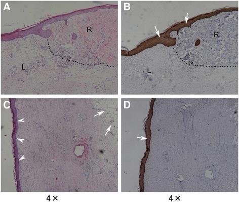
In this study, the first three TESGSTW operations were performed at 2-3, 5-8, and 11-16 days post-injury. The operation areas were 30.3 ± 7.9 % total body surface area (TBSA), 19.0 ± 6.0 % TBSA, and 12.0 ± 1.7 % TBSA, respectively. The survival percentage of the cryopreserved alloskins or fresh pigskins at POWs 1, 2, and 3 were 80.0 ± 10.0 % vs 75.7 ± 5.3 % (t = 1.01, P = 0.16), 71.2 ± 10.6 % vs 66.4 ± 6.2 % (t = 1.09, P = 0.30), and 48.7 ± 2.5 % vs 35.0 ± 7.0 % (t = 3.83, P = 0.03), respectively. The microscopic observation of the survival of alloskins or pigskins in one typical case showed rete ridges and a basilar membrane at the joint of the epidermis and dermis at an early stage; these structures disappeared with extended time post-operation.
From the clinical observations, fresh pigskin and cryopreserved alloskins could be used with equal effectiveness at an early stage (within 2 weeks post-operation) as temporary coverage on massive burns after TESGSTW. After engraftment, several cryopreserved alloskins or fresh pigskins could co-survive in a massive burn patient for an extended amount of time. The co-survival of alloskin and pigskin will provide clues for further research into skin transplantation.
在大面积烧伤的创面管理中,早期进行分期切除和移植有活力的冷冻同种异体皮或新鲜猪皮是主要策略。同种异体皮是生物临时皮肤替代物的金标准,但其广泛应用的主要缺点是供体数量有限。在本文中,我们通过观察大面积烧伤患者在切痂及皮肤移植术后(TESGSTW)的皮下组织创面中使用新鲜猪皮和冷冻同种异体皮作为临时覆盖物的临床效果,比较了这两种移植物的应用。
我们选择了 2003 年 1 月 1 日至 2013 年 12 月 31 日期间在我们烧伤中心接受切痂及皮肤移植术后(TESGSTW)的 6 例成人大面积烧伤患者。分析了术后第 1、2、3 周的一般临床资料和皮肤存活率。在我们的临床实践中,我们还观察到,在重复脱皮后,几个有活力的冷冻同种异体皮或新鲜猪皮移植作为临时覆盖物的皮下组织创面长期存活的现象。还对一个典型病例的宏观和组织学结果进行了分析。
在这项研究中,前 3 次 TESGSTW 手术分别在伤后 2-3、5-8 和 11-16 天进行。手术面积分别为 30.3%±7.9%总体表面积(TBSA)、19.0%±6.0% TBSA 和 12.0%±1.7% TBSA。术后第 1、2、3 周,冷冻同种异体皮或新鲜猪皮的存活率分别为 80.0%±10.0% vs 75.7%±5.3%(t=1.01,P=0.16)、71.2%±10.6% vs 66.4%±6.2%(t=1.09,P=0.30)和 48.7%±2.5% vs 35.0%±7.0%(t=3.83,P=0.03)。对一个典型病例中同种异体皮或猪皮存活情况的显微镜观察显示,表皮和真皮交界处的表皮嵴和基膜在早期阶段出现;这些结构随着术后时间的延长而消失。
从临床观察来看,新鲜猪皮和冷冻同种异体皮在 TESGSTW 术后早期(2 周内)作为临时覆盖物在大面积烧伤中可同样有效。移植物植入后,几个冷冻同种异体皮或新鲜猪皮可在一个大面积烧伤患者中共同存活较长时间。同种异体皮和猪皮的共同存活为皮肤移植的进一步研究提供了线索。