Suppr超能文献

多发性家族性毛发上皮瘤:通过皮肤镜检查确诊

Multiple familial trichoepithelioma: confirmation via dermoscopy.

作者信息

Navarrete-Dechent Cristián, Bajaj Shirin, Marghoob Ashfaq A, González Sergio, Muñoz Daniel

机构信息

Department of Dermatology, Facultad de Medicina, Pontificia Universidad Católica de Chile, Santiago, Chile; Melanoma and Skin Cancer Unit, Facultad de Medicina, Pontificia Universidad Católica de Chile, Santiago, Chile.

Dermatology Service, Memorial Sloan Kettering Cancer Center, Hauppauge, NY, USA.

出版信息

Dermatol Pract Concept. 2016 Jul 31;6(3):51-4. doi: 10.5826/dpc.0603a10. eCollection 2016 Jul.

Abstract

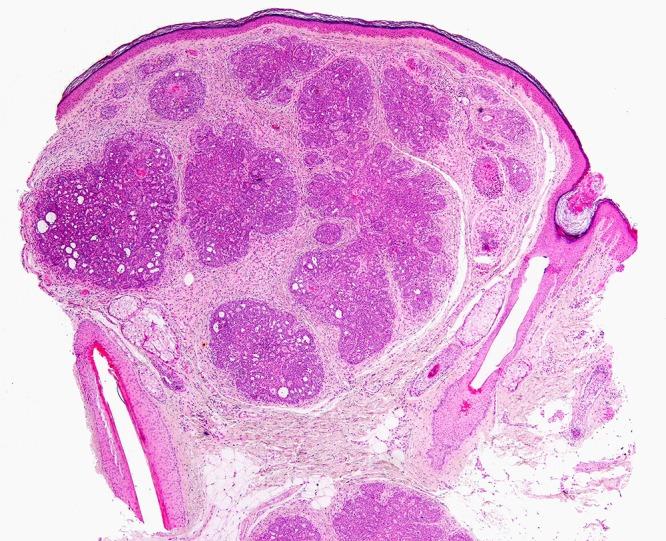
Trichoepitheliomas are uncommon benign adnexal neoplasms that originate from the hair follicles. Multiple familial trichoepithelioma constitute an autosomal dominant disease characterized by the appearance of multiple flesh-colored, symmetrical papules, tumors and/or nodules in the central face and occasionally on the scalp. Although clinical diagnosis is usually straightforward in light of the family history and naked-eye examination, dermoscopy may aid in its confirmation. Dermoscopy of each papule revealed in-focus arborizing vessels, multiple milia-like cysts and rosettes amidst a whitish background. In a patient with multiple facial papules revealing a dermoscopic appearance described above, the diagnosis of sporadic or familial multiple trichoepithelioma should be considered.

摘要

毛发上皮瘤是一种罕见的良性附属器肿瘤,起源于毛囊。多发性家族性毛发上皮瘤是一种常染色体显性疾病,其特征为在面部中央出现多个肉色、对称的丘疹、肿瘤和/或结节,偶尔也出现在头皮上。尽管根据家族史和肉眼检查,临床诊断通常很简单,但皮肤镜检查可能有助于确诊。对每个丘疹进行皮肤镜检查发现,在白色背景中有清晰的树枝状血管、多个粟丘疹样囊肿和玫瑰花结。对于有多个面部丘疹且皮肤镜表现如上所述的患者,应考虑散发性或家族性多发性毛发上皮瘤的诊断。

https://cdn.ncbi.nlm.nih.gov/pmc/blobs/b1de/5006553/9aa59e0d8250/dp0603a10g001a.jpg

文献AI研究员

20分钟写一篇综述,助力文献阅读效率提升50倍。

立即体验

用中文搜PubMed

大模型驱动的PubMed中文搜索引擎

马上搜索

文档翻译

学术文献翻译模型,支持多种主流文档格式。

立即体验