Liu Weiqing, Zhou Liyan, Zhou Chenchen, Zhang Shiwen, Jing Junjun, Xie Liang, Sun Ningyuan, Duan Xiaobo, Jing Wei, Liang Xing, Zhao Hu, Ye Ling, Chen Qianming, Yuan Quan
State Key Laboratory of Oral diseases, West China Hospital of Stomatology, Sichuan University, Chengdu 610041, China.
Nat Commun. 2016 Sep 22;7:12794. doi: 10.1038/ncomms12794.
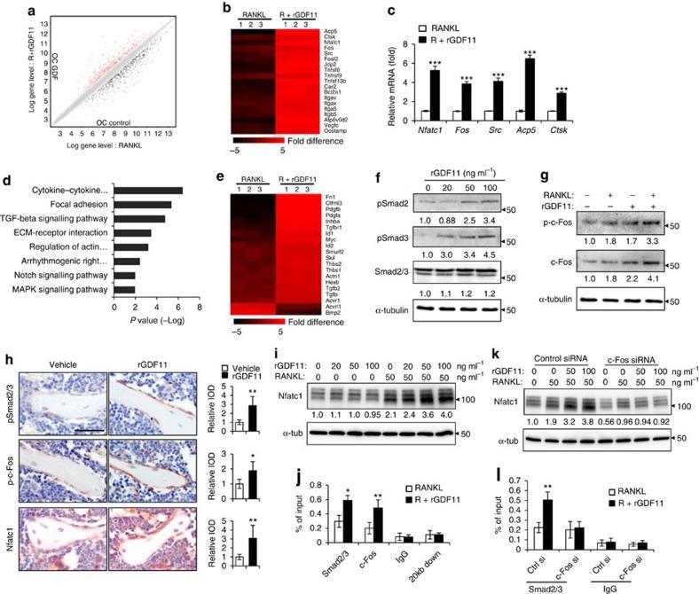
Osteoporosis is an age-related disease that affects millions of people. Growth differentiation factor 11 (GDF11) is a secreted member of the transforming growth factor beta (TGF-β) superfamily. Deletion of Gdf11 has been shown to result in a skeletal anterior-posterior patterning disorder. Here we show a role for GDF11 in bone remodelling. GDF11 treatment leads to bone loss in both young and aged mice. GDF11 inhibits osteoblast differentiation and also stimulates RANKL-induced osteoclastogenesis through Smad2/3 and c-Fos-dependent induction of Nfatc1. Injection of GDF11 impairs bone regeneration in mice and blocking GDF11 function prevents oestrogen-deficiency-induced bone loss and ameliorates age-related osteoporosis. Our data demonstrate that GDF11 is a previously unrecognized regulator of bone remodelling and suggest that GDF11 is a potential target for treatment of osteoporosis.
骨质疏松症是一种与年龄相关的疾病,影响着数百万人。生长分化因子11(GDF11)是转化生长因子β(TGF-β)超家族的一个分泌成员。已表明Gdf11的缺失会导致骨骼前后模式紊乱。在此,我们展示了GDF11在骨重塑中的作用。GDF11处理会导致年轻和老年小鼠出现骨质流失。GDF11抑制成骨细胞分化,还通过Smad2/3和c-Fos依赖的Nfatc1诱导刺激RANKL诱导的破骨细胞生成。注射GDF11会损害小鼠的骨再生,而阻断GDF11功能可预防雌激素缺乏诱导的骨质流失,并改善与年龄相关的骨质疏松症。我们的数据表明,GDF11是一种先前未被认识的骨重塑调节因子,并提示GDF11是治疗骨质疏松症的一个潜在靶点。