Suppr超能文献

波形蛋白是一种新型的核因子κB调节因子,是脑膜炎性大肠杆菌K1诱导病原体侵袭和中性粒细胞穿过血脑屏障迁移所必需的。

Vimentin, a Novel NF-κB Regulator, Is Required for Meningitic Escherichia coli K1-Induced Pathogen Invasion and PMN Transmigration across the Blood-Brain Barrier.

作者信息

Huang Sheng-He, Chi Feng, Peng Liang, Bo Tao, Zhang Bao, Liu Li-Qun, Wu Xuedong, Mor-Vaknin Nirit, Markovitz David M, Cao Hong, Zhou Yan-Hong

机构信息

Hubei Bioinformatics and Molecular Imaging Key Laboratory, College of Life Science and Technology, Huazhong University of Science and Technology, Wuhan, China.

Saban Research Institute of Childrens Hospital Los Angeles, Department of Pediatrics, University of Southern California, Los Angeles, California, United States of America.

出版信息

PLoS One. 2016 Sep 22;11(9):e0162641. doi: 10.1371/journal.pone.0162641. eCollection 2016.

Abstract

BACKGROUND

NF-κB activation, pathogen invasion, polymorphonuclear leukocytes (PMN) transmigration (PMNT) across the blood-brain barrier (BBB) are the pathogenic triad hallmark features of bacterial meningitis, but the mechanisms underlying these events remain largely unknown. Vimentin, which is a novel NF-κB regulator, is the primary receptor for the major Escherichia coli K1 virulence factor IbeA that contributes to the pathogenesis of neonatal bacterial sepsis and meningitis (NSM). We have previously shown that IbeA-induced NF-κB signaling through its primary receptor vimentin as well as its co-receptor PTB-associated splicing factor (PSF) is required for pathogen penetration and leukocyte transmigration across the BBB. This is the first in vivo study to demonstrate how vimentin and related factors contributed to the pathogenic triad of bacterial meningitis.

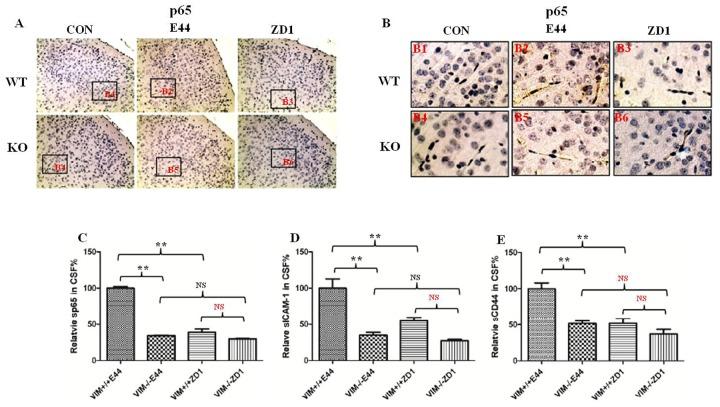
METHODOLOGY/PRINCIPAL FINDINGS: The role of vimentin in IbeA+ E. coli K1-induced NF-κB activation, pathogen invasion, leukocyte transmigration across the BBB has now been demonstrated by using vimentin knockout (KO) mice. In the in vivo studies presented here, IbeA-induced NF-κB activation, E. coli K1 invasion and polymorphonuclear neutrophil (PMN) transmigration across the BBB were significantly reduced in Vim-/- mice. Decreased neuronal injury in the hippocampal dentate gyrus was observed in Vim-/- mice with meningitis. The major inflammatory regulator α7 nAChR and several signaling molecules contributing to NF-κB activation (p65 and p-CamKII) were significantly reduced in the brain tissues of the Vim-/- mice with E. coli meningitis. Furthermore, Vim KO resulted in significant reduction in neuronal injury and in α7 nAChR-mediated calcium signaling.

CONCLUSION/SIGNIFICANCE: Vimentin, a novel NF-κB regulator, plays a detrimental role in the host defense against meningitic infection by modulating the NF-κB signaling pathway to increase pathogen invasion, PMN recruitment, BBB permeability and neuronal inflammation. Our findings provide the first evidence for Vim-dependent mechanisms underlying the pathogenic triad of bacterial meningitis.

摘要

背景

核因子κB(NF-κB)激活、病原体入侵、多形核白细胞(PMN)穿越血脑屏障(BBB)的迁移(PMNT)是细菌性脑膜炎的致病三联征标志性特征,但这些事件背后的机制仍 largely 未知。波形蛋白是一种新型的 NF-κB 调节因子,是主要的大肠杆菌 K1 毒力因子 IbeA 的主要受体,IbeA 有助于新生儿细菌性败血症和脑膜炎(NSM)的发病机制。我们之前已经表明,IbeA 通过其主要受体波形蛋白以及其共受体 PTB 相关剪接因子(PSF)诱导的 NF-κB 信号传导是病原体穿透和白细胞穿越 BBB 迁移所必需的。这是第一项在体内研究中证明波形蛋白和相关因子如何促成细菌性脑膜炎致病三联征的研究。

方法/主要发现:通过使用波形蛋白敲除(KO)小鼠,现已证明波形蛋白在 IbeA+大肠杆菌 K1 诱导的 NF-κB 激活、病原体入侵、白细胞穿越 BBB 的迁移中的作用。在此呈现的体内研究中,IbeA 诱导的 NF-κB 激活、大肠杆菌 K1 入侵以及多形核中性粒细胞(PMN)穿越 BBB 的迁移在 Vim-/-小鼠中显著减少。在患有脑膜炎的 Vim-/-小鼠中,观察到海马齿状回中神经元损伤减少。在患有大肠杆菌脑膜炎的 Vim-/-小鼠的脑组织中,主要的炎症调节因子α7 烟碱型乙酰胆碱受体(α7 nAChR)以及几种促成 NF-κB 激活的信号分子(p65 和 p-CamKII)显著减少。此外,Vim 基因敲除导致神经元损伤以及α7 nAChR 介导的钙信号传导显著减少。

结论/意义:波形蛋白是一种新型的 NF-κB 调节因子,通过调节 NF-κB 信号通路以增加病原体入侵、PMN 募集、BBB 通透性和神经元炎症,在宿主抵御脑膜炎感染的防御中起有害作用。我们的发现为细菌性脑膜炎致病三联征背后的 Vim 依赖性机制提供了首个证据。

https://cdn.ncbi.nlm.nih.gov/pmc/blobs/43e3/5033352/02f9e26b2dae/pone.0162641.g001.jpg

文献AI研究员

20分钟写一篇综述,助力文献阅读效率提升50倍。

立即体验

用中文搜PubMed

大模型驱动的PubMed中文搜索引擎

马上搜索

文档翻译

学术文献翻译模型,支持多种主流文档格式。

立即体验