Suppr超能文献

通过ω-3多不饱和脂肪酸的守门人作用减轻吲哚美辛诱导的肥胖-1转基因小鼠胃肠道损伤

Mitigation of indomethacin-induced gastrointestinal damages in fat-1 transgenic mice via gate-keeper action of ω-3-polyunsaturated fatty acids.

作者信息

Han Young-Min, Park Jong-Min, Kang Jing X, Cha Ji-Young, Lee Ho-Jae, Jeong Migeyong, Go Eun-Jin, Hahm Ki Baik

机构信息

CHA Cancer Prevention Research Center, CHA Bio Complex, Seongnam, Korea.

Laboratory for Lipid Medicine and Technology, Massachusetts General Hospital, Harvard Medical School, Boston, MA 02129, USA.

出版信息

Sci Rep. 2016 Sep 23;6:33992. doi: 10.1038/srep33992.

Abstract

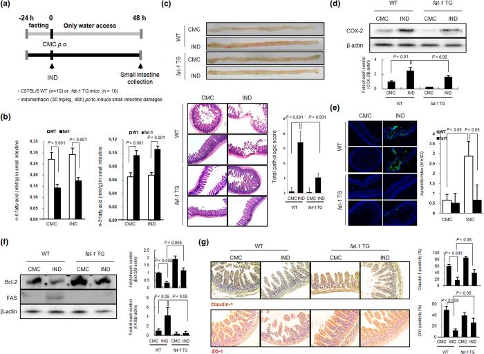
Non-steroidal anti-inflammatory drugs (NSAIDs) damage the gastrointestinal (GI) epithelial cell membranes by inducing several signals through lipid raft organization after membrane incorporation, whereas ω-3 polyunsaturated fatty acids (PUFAs) relieve inflammation, reduce oxidative stress, and provide cytoprotection, consequent to lipid raft disorganization. Therefore, we hypothesized that ω-3 PUFAs can protect the GI from NSAID-induced damages by initiating the gatekeeper action of cell membranes, subsequent to anti-inflammatory and anti-oxidative actions. Administration of indomethacin (IND) leads to the formation of lipid rafts and activation of caveolin-1; however, no such observations were made upon co-administration of eicosapentaenoic acid (EPA) and IND. In addition, the EPA-induced lipid raft disorganization, caveolin-1 inactivation, and cellular cytotoxicity were inhibited when target cells were knocked-out using G-protein coupled receptor 120 (GPR 120). EPA significantly attenuated IND-induced oxidative damage and apoptosis. IND administration induced significant ulceration, bleeding, and oedema in the stomach or small intestine of wild-type (WT) mice; however, such severe damages to the GI significantly decreased in fat-1 transgenic (TG) mice (P < 0.001), which exhibited decreased cyclooxygenase-2 expression and apoptosis, decreased interleukin-1β and FAS concentrations, and increased heme oxygenase-1 concentration. Our study indicates that the gatekeeper function of ω-3 PUFAs improves GI safety when administered with NSAID.

摘要

非甾体抗炎药(NSAIDs)通过在膜整合后通过脂筏组织诱导多种信号来损伤胃肠道(GI)上皮细胞膜,而ω-3多不饱和脂肪酸(PUFAs)则通过脂筏解体减轻炎症、减少氧化应激并提供细胞保护。因此,我们假设ω-3 PUFAs可以通过启动细胞膜的守门人作用,在抗炎和抗氧化作用之后,保护胃肠道免受NSAID诱导的损伤。吲哚美辛(IND)的给药会导致脂筏的形成和小窝蛋白-1的激活;然而,在二十碳五烯酸(EPA)与IND联合给药时未观察到此类现象。此外,当使用G蛋白偶联受体120(GPR 120)敲除靶细胞时,EPA诱导的脂筏解体、小窝蛋白-1失活和细胞毒性受到抑制。EPA显著减轻了IND诱导的氧化损伤和细胞凋亡。IND给药在野生型(WT)小鼠的胃或小肠中诱导了明显的溃疡、出血和水肿;然而,在fat-1转基因(TG)小鼠中,胃肠道的这种严重损伤显著减少(P < 0.001),这些小鼠表现出环氧化酶-2表达和细胞凋亡减少、白细胞介素-1β和FAS浓度降低以及血红素加氧酶-1浓度升高。我们的研究表明,ω-3 PUFAs与NSAID联合给药时,其守门人功能可提高胃肠道安全性。

https://cdn.ncbi.nlm.nih.gov/pmc/blobs/e7ce/5034283/dad89e80d593/srep33992-f1.jpg

文献AI研究员

20分钟写一篇综述,助力文献阅读效率提升50倍。

立即体验

用中文搜PubMed

大模型驱动的PubMed中文搜索引擎

马上搜索

文档翻译

学术文献翻译模型,支持多种主流文档格式。

立即体验