Suppr超能文献

与无症状空肠重复囊肿相关的肠旋转不良和中肠扭转

Malrotation and Midgut Volvulus associated with Asymptomatic Duplication Cyst of Jejunum.

作者信息

Rahul Sandip Kumar, Upadhyaya Vijai Datta, Kumar Basant

机构信息

Department of Pediatric Surgery, Sanjay Gandhi Post Graduate Institute of Medical Sciences, Lucknow, India.

出版信息

APSP J Case Rep. 2016 Sep 1;7(4):33. doi: 10.21699/ajcr.v7i4.447. eCollection 2016 Sep-Oct.

Abstract

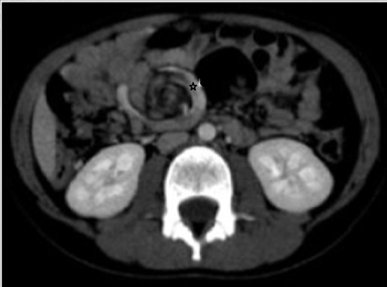
Gastrointestinal duplications can affect any part of the alimentary tract and are notorious for their variable presentation. Their association with malrotation and midgut volvulus is rare. We describe an 8-year old boy presented with episodes of abdominal pain. Radiological workup showed whirlpool sign and abnormal relationship of mesenteric vessels. At operation, malrotation with chronic volvulus was found. Incidentally, a jejunal communicating duplication cyst was also noted.

摘要

胃肠道重复畸形可累及消化道的任何部位,其临床表现多样,因而声名狼藉。它们与肠旋转不良和中肠扭转的关联较为罕见。我们描述了一名8岁男孩,他出现腹痛发作。影像学检查显示有漩涡征及肠系膜血管关系异常。手术时发现存在伴有慢性扭转的肠旋转不良。偶然间,还发现了一个空肠交通性重复囊肿。

https://cdn.ncbi.nlm.nih.gov/pmc/blobs/deca/5027064/54dc26dff506/ajcr-7-33.f1.jpg

文献AI研究员

20分钟写一篇综述,助力文献阅读效率提升50倍。

立即体验

用中文搜PubMed

大模型驱动的PubMed中文搜索引擎

马上搜索

文档翻译

学术文献翻译模型,支持多种主流文档格式。

立即体验