• 文献检索
  • 文档翻译
  • 深度研究
  • 学术资讯
  • Suppr Zotero 插件Zotero 插件
  • 邀请有礼
  • 套餐&价格
  • 历史记录
应用&插件
Suppr Zotero 插件Zotero 插件浏览器插件Mac 客户端Windows 客户端微信小程序
定价
高级版会员购买积分包购买API积分包
服务
文献检索文档翻译深度研究API 文档MCP 服务
关于我们
关于 Suppr公司介绍联系我们用户协议隐私条款
关注我们

Suppr 超能文献

核心技术专利:CN118964589B侵权必究
粤ICP备2023148730 号-1Suppr @ 2026

文献检索

告别复杂PubMed语法,用中文像聊天一样搜索,搜遍4000万医学文献。AI智能推荐,让科研检索更轻松。

立即免费搜索

文件翻译

保留排版,准确专业,支持PDF/Word/PPT等文件格式,支持 12+语言互译。

免费翻译文档

深度研究

AI帮你快速写综述,25分钟生成高质量综述,智能提取关键信息,辅助科研写作。

立即免费体验

小儿脑积水患者术后左半球结构连接异常。

Left hemisphere structural connectivity abnormality in pediatric hydrocephalus patients following surgery.

作者信息

Yuan Weihong, Meller Artur, Shimony Joshua S, Nash Tiffany, Jones Blaise V, Holland Scott K, Altaye Mekibib, Barnard Holly, Phillips Jannel, Powell Stephanie, McKinstry Robert C, Limbrick David D, Rajagopal Akila, Mangano Francesco T

机构信息

Department of Radiology, Cincinnati Children's Hospital Medical Center, Cincinnati, OH, United States; University of Cincinnati College of Medicine, Cincinnati, OH, United States.

Department of Radiology, Cincinnati Children's Hospital Medical Center, Cincinnati, OH, United States.

出版信息

Neuroimage Clin. 2016 Sep 4;12:631-639. doi: 10.1016/j.nicl.2016.09.003. eCollection 2016.

DOI:10.1016/j.nicl.2016.09.003
PMID:27722087
原文链接:https://pmc.ncbi.nlm.nih.gov/articles/PMC5048110/
Abstract

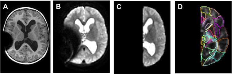
Neuroimaging research in surgically treated pediatric hydrocephalus patients remains challenging due to the artifact caused by programmable shunt. Our previous study has demonstrated significant alterations in the whole brain white matter structural connectivity based on diffusion tensor imaging (DTI) and graph theoretical analysis in children with hydrocephalus prior to surgery or in surgically treated children without programmable shunts. This study seeks to investigate the impact of brain injury on the topological features in the left hemisphere, contratelateral to the shunt placement, which will avoid the influence of shunt artifacts and makes further group comparisons feasible for children with programmable shunt valves. Three groups of children (34 in the control group, 12 in the 3-month post-surgery group, and 24 in the 12-month post-surgery group, age between 1 and 18 years) were included in the study. The structural connectivity data processing and analysis were performed based on DTI and graph theoretical analysis. Specific procedures were revised to include only left brain imaging data in normalization, parcellation, and fiber counting from DTI tractography. Our results showed that, when compared to controls, children with hydrocephalus in both the 3-month and 12-month post-surgery groups had significantly lower normalized clustering coefficient, lower small-worldness, and higher global efficiency (all  < 0.05, corrected). At a regional level, both patient groups showed significant alteration in one or more regional connectivity measures in a series of brain regions in the left hemisphere (8 and 10 regions in the 3-month post-surgery and the 12-month post-surgery group, respectively, all  < 0.05, corrected). No significant correlation was found between any of the global or regional measures and the contemporaneous neuropsychological outcomes [the General Adaptive Composite (GAC) from the Adaptive Behavior Assessment System, Second Edition (ABAS-II)]. However, one global network measure (global efficiency) and two regional network measures in the insula (local efficiency and between centrality) tested at 3-month post-surgery were found to correlate with GAC score tested at 12-month post-surgery with statistical significance (all  < 0.05, corrected). Our data showed that the structural connectivity analysis based on DTI and graph theory was sensitive in detecting both global and regional network abnormality when the analysis was conducted in the left hemisphere only. This approach provides a new avenue enabling the application of advanced neuroimaging analysis methods in quantifying brain damage in children with hydrocephalus surgically treated with programmable shunts.

摘要

由于可编程分流器产生的伪影,对接受手术治疗的小儿脑积水患者进行神经影像学研究仍然具有挑战性。我们之前的研究表明,基于弥散张量成像(DTI)和图论分析,在手术前的脑积水患儿或接受手术治疗但没有可编程分流器的患儿中,全脑白质结构连接性存在显著改变。本研究旨在调查脑损伤对分流器放置对侧左半球拓扑特征的影响,这将避免分流器伪影的影响,并使对使用可编程分流阀的患儿进行进一步的组间比较成为可能。研究纳入了三组儿童(对照组34名,术后3个月组12名,术后12个月组24名,年龄在1至18岁之间)。基于DTI和图论分析进行结构连接性数据处理和分析。对特定程序进行了修订,在DTI纤维束成像的归一化、脑区划分和纤维计数中仅纳入左脑成像数据。我们的结果表明,与对照组相比,术后3个月和术后12个月的脑积水患儿的归一化聚类系数显著降低,小世界特性降低,全局效率升高(均P<0.05,校正)。在区域水平上,两个患者组在左半球一系列脑区中的一个或多个区域连接性测量指标上均表现出显著改变(术后3个月组和术后12个月组分别为8个和10个区域,均P<0.05,校正)。在任何全局或区域测量指标与同期神经心理学结果[来自第二版适应性行为评估系统(ABAS-II)的一般适应性综合评分(GAC)]之间均未发现显著相关性。然而,发现术后3个月测试的一项全局网络测量指标(全局效率)和脑岛中的两项区域网络测量指标(局部效率和中介中心性)与术后12个月测试的GAC评分具有统计学相关性(均P<0.05,校正)。我们的数据表明,当仅在左半球进行分析时,基于DTI和图论的结构连接性分析在检测全局和区域网络异常方面具有敏感性。这种方法提供了一条新途径,能够将先进的神经影像学分析方法应用于量化接受可编程分流器手术治疗的脑积水患儿的脑损伤。

https://cdn.ncbi.nlm.nih.gov/pmc/blobs/e023/5048110/e1e536f6280a/gr5.jpg
https://cdn.ncbi.nlm.nih.gov/pmc/blobs/e023/5048110/1ed1a51d488a/gr1.jpg
https://cdn.ncbi.nlm.nih.gov/pmc/blobs/e023/5048110/2079b5410c25/gr2.jpg
https://cdn.ncbi.nlm.nih.gov/pmc/blobs/e023/5048110/00d732130670/gr3.jpg
https://cdn.ncbi.nlm.nih.gov/pmc/blobs/e023/5048110/d77396cb3857/gr4.jpg
https://cdn.ncbi.nlm.nih.gov/pmc/blobs/e023/5048110/e1e536f6280a/gr5.jpg
https://cdn.ncbi.nlm.nih.gov/pmc/blobs/e023/5048110/1ed1a51d488a/gr1.jpg
https://cdn.ncbi.nlm.nih.gov/pmc/blobs/e023/5048110/2079b5410c25/gr2.jpg
https://cdn.ncbi.nlm.nih.gov/pmc/blobs/e023/5048110/00d732130670/gr3.jpg
https://cdn.ncbi.nlm.nih.gov/pmc/blobs/e023/5048110/d77396cb3857/gr4.jpg
https://cdn.ncbi.nlm.nih.gov/pmc/blobs/e023/5048110/e1e536f6280a/gr5.jpg

相似文献

1
Left hemisphere structural connectivity abnormality in pediatric hydrocephalus patients following surgery.小儿脑积水患者术后左半球结构连接异常。
Neuroimage Clin. 2016 Sep 4;12:631-639. doi: 10.1016/j.nicl.2016.09.003. eCollection 2016.
2
Abnormal structural connectivity in the brain networks of children with hydrocephalus.脑积水患儿脑网络中的异常结构连接。
Neuroimage Clin. 2015 Apr 29;8:483-92. doi: 10.1016/j.nicl.2015.04.015. eCollection 2015.
3
Diffusion tensor imaging study of pediatric patients with congenital hydrocephalus: 1-year postsurgical outcomes.先天性脑积水患儿的扩散张量成像研究:术后1年的结果
J Neurosurg Pediatr. 2016 Sep;18(3):306-19. doi: 10.3171/2016.2.PEDS15628. Epub 2016 May 20.
4
A change in brain white matter after shunt surgery in idiopathic normal pressure hydrocephalus: a tract-based spatial statistics study.特发性正常压力脑积水分流术后脑白质变化:基于束的空间统计学研究。
Fluids Barriers CNS. 2017 Jan 30;14(1):1. doi: 10.1186/s12987-016-0048-8.
5
Structural connectivity abnormality in children with acute mild traumatic brain injury using graph theoretical analysis.基于图论分析的急性轻度创伤性脑损伤儿童的结构连接异常
Hum Brain Mapp. 2015 Feb;36(2):779-92. doi: 10.1002/hbm.22664. Epub 2014 Nov 3.
6
Postshunt lateral ventricular volume, white matter integrity, and intellectual outcomes in spina bifida and hydrocephalus.脊柱裂和脑积水患者分流术后侧脑室容积、白质完整性及智力结果
J Neurosurg Pediatr. 2015 Apr;15(4):410-9. doi: 10.3171/2014.10.PEDS13644. Epub 2015 Jan 30.
7
White matter microstructural abnormality in children with hydrocephalus detected by probabilistic diffusion tractography.通过概率性弥散张量成像检测脑积水患儿的白质微观结构异常。
AJNR Am J Neuroradiol. 2013 Dec;34(12):2379-85. doi: 10.3174/ajnr.A3737. Epub 2013 Sep 26.
8
Diffusion tensor magnetic resonance imaging of the optic nerves in pediatric hydrocephalus.儿童脑积水视神经的磁共振弥散张量成像。
Neurosurg Focus. 2019 Dec 1;47(6):E16. doi: 10.3171/2019.9.FOCUS19619.
9
Graph theory analysis of DTI tractography in children with traumatic injury.基于弥散张量成像的脑白质纤维束追踪技术在儿童创伤性脑损伤中的应用。
Neuroimage Clin. 2019;21:101673. doi: 10.1016/j.nicl.2019.101673. Epub 2019 Jan 10.
10
Diffusion tensor imaging in children following prenatal myelomeningocele repair and its predictive value for the need and timing of subsequent CSF diversion surgery for hydrocephalus.产前脊髓脊膜膨出修补术后儿童的弥散张量成像及其对脑积水后续脑脊液分流手术需求和时机的预测价值。
J Neurosurg Pediatr. 2021 Feb 5;27(4):391-399. doi: 10.3171/2020.9.PEDS20570. Print 2021 Apr 1.

引用本文的文献

1
White Matter Injury After Intracerebral Hemorrhage.脑出血后的白质损伤
Front Neurol. 2021 Jun 10;12:562090. doi: 10.3389/fneur.2021.562090. eCollection 2021.
2
White Matter Injury in Early Brain Injury after Subarachnoid Hemorrhage.蛛网膜下腔出血后早期脑损伤的脑白质损伤。
Cell Transplant. 2019 Jan;28(1):26-35. doi: 10.1177/0963689718812054. Epub 2018 Nov 16.

本文引用的文献

1
Diffusion tensor imaging study of pediatric patients with congenital hydrocephalus: 1-year postsurgical outcomes.先天性脑积水患儿的扩散张量成像研究:术后1年的结果
J Neurosurg Pediatr. 2016 Sep;18(3):306-19. doi: 10.3171/2016.2.PEDS15628. Epub 2016 May 20.
2
Disruption of brain anatomical networks in schizophrenia: A longitudinal, diffusion tensor imaging based study.精神分裂症患者脑解剖网络的破坏:一项基于扩散张量成像的纵向研究。
Schizophr Res. 2016 Mar;171(1-3):149-57. doi: 10.1016/j.schres.2016.01.025. Epub 2016 Jan 19.
3
Abnormal structural connectivity in the brain networks of children with hydrocephalus.
脑积水患儿脑网络中的异常结构连接。
Neuroimage Clin. 2015 Apr 29;8:483-92. doi: 10.1016/j.nicl.2015.04.015. eCollection 2015.
4
Relationship between ventricular size, white matter injury, and neurocognition in children with stable, treated hydrocephalus.稳定型、已治疗脑积水患儿的脑室大小、白质损伤与神经认知之间的关系
J Neurosurg Pediatr. 2015 Sep;16(3):267-74. doi: 10.3171/2015.1.PEDS14597. Epub 2015 Jun 5.
5
Clinical benefits of diffusion tensor imaging in hydrocephalus.扩散张量成像在脑积水诊断中的临床应用价值
J Neurosurg Pediatr. 2015 Aug;16(2):195-202. doi: 10.3171/2014.10.PEDS13668. Epub 2015 May 15.
6
Aberrant cerebral network topology and mild cognitive impairment in early Parkinson's disease.早期帕金森病中异常的脑网络拓扑结构与轻度认知障碍
Hum Brain Mapp. 2015 Aug;36(8):2980-95. doi: 10.1002/hbm.22822. Epub 2015 May 6.
7
Structural asymmetry of the insula is linked to the lateralization of gesture and language.脑岛的结构不对称与手势和语言的偏侧化有关。
Eur J Neurosci. 2015 May;41(11):1438-47. doi: 10.1111/ejn.12888. Epub 2015 Apr 10.
8
Periventricular hyperintensity in children with hydrocephalus.脑积水患儿的脑室周围高信号
Pediatr Radiol. 2015 Jul;45(8):1189-97. doi: 10.1007/s00247-015-3298-8. Epub 2015 Mar 17.
9
The accuracy of linear indices of ventricular volume in pediatric hydrocephalus: technical note.小儿脑积水心室容积线性指标的准确性:技术说明。
J Neurosurg Pediatr. 2015 Jun;15(6):547-51. doi: 10.3171/2014.10.PEDS14209. Epub 2015 Mar 6.
10
Small-World Properties in Mild Cognitive Impairment and Early Alzheimer's Disease: A Cortical Thickness MRI Study.轻度认知障碍和早期阿尔茨海默病中的小世界属性:一项皮质厚度MRI研究。
ISRN Geriatr. 2013;2013. doi: 10.1155/2013/542080.