Suppr超能文献

新生犬的软骨管:组织化学和免疫组织化学研究结果

Cartilage canals in newborn dogs: histochemical and immunohistochemical findings.

作者信息

Di Giancamillo A, Andreis M E, Taini P, Veronesi M C, Di Giancamillo M, Modina S C

机构信息

Department of Health, Animal Science and Food Safety, University of Milan.

出版信息

Eur J Histochem. 2016 Sep 15;60(3):2701. doi: 10.4081/ejh.2016.2701.

Abstract

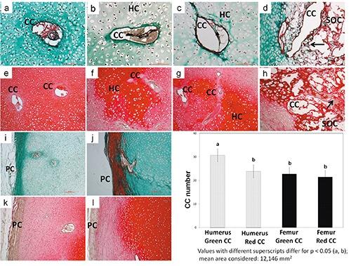
Cartilage canals (CCs) are microscopic structures involved in secondary ossification centers (SOCs) development. The features of CCs were investigated in the humeral and femoral proximal epiphyses of small-sized newborn dogs (from premature to 28 days after birth) with histochemical and immunohistochemical approaches. Masson's Trichrome revealed a ring-shaped area around CCs, which changes in colour from green (immature collagen) to red (mature collagen) as ossification progresses; perichondrium staining always matched the ring colour. Safranin-O was always negative. Immunohistochemical analysis revealed immunopositivity for both collagen type I and V around the CCs; collagen type II was negative. CCs count showed a tendency to be higher in the humerus than in the femur. This work enlightened for the first time changes in composition of CCs surrounding matrix during SOCs development in dogs, paving the way to further investigations.

摘要

软骨管(CCs)是参与次级骨化中心(SOCs)发育的微观结构。采用组织化学和免疫组织化学方法,对小型新生犬(从早产至出生后28天)肱骨和股骨近端骨骺中的软骨管特征进行了研究。Masson三色染色显示软骨管周围有一个环形区域,随着骨化进展,其颜色从绿色(未成熟胶原蛋白)变为红色(成熟胶原蛋白);骨膜染色始终与环的颜色匹配。番红O染色始终为阴性。免疫组织化学分析显示软骨管周围的I型和V型胶原蛋白均呈免疫阳性;II型胶原蛋白为阴性。软骨管计数显示,肱骨中的软骨管数量有高于股骨的趋势。这项工作首次揭示了犬类次级骨化中心发育过程中软骨管周围基质成分的变化,为进一步研究铺平了道路。

https://cdn.ncbi.nlm.nih.gov/pmc/blobs/7005/5062639/03c1c82d25b6/ejh-2016-3-2701-g001.jpg

文献检索

告别复杂PubMed语法,用中文像聊天一样搜索,搜遍4000万医学文献。AI智能推荐,让科研检索更轻松。

立即免费搜索

文件翻译

保留排版,准确专业,支持PDF/Word/PPT等文件格式,支持 12+语言互译。

免费翻译文档

深度研究

AI帮你快速写综述,25分钟生成高质量综述,智能提取关键信息,辅助科研写作。

立即免费体验