Suppr超能文献

乳腺囊内原发性鳞状细胞癌:一项具有挑战性的诊断。

Intracystic Primary Squamous Cell Carcinoma of the Breast: A Challenging Diagnosis.

作者信息

Ramos Vera, Fraga João, Simões Teresa, Figueiredo Dias Margarida

机构信息

Gynaecology Service, Centro Hospitalar e Universitário de Coimbra, Coimbra, Portugal.

Pathology Service, Centro Hospitalar e Universitário de Coimbra, Coimbra, Portugal.

出版信息

Case Rep Obstet Gynecol. 2016;2016:6081634. doi: 10.1155/2016/6081634. Epub 2016 Sep 26.

Abstract

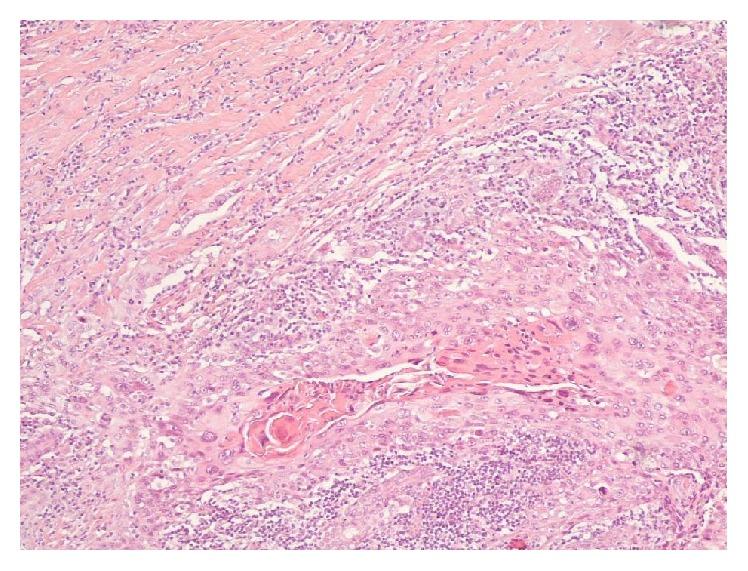
We report a case of a 36-year-old woman that presented with a painful mass in the outer quadrants of the left breast that had grown rapidly. Physical examination revealed a well circumscribed elastic mass and breast ultrasound showed a cyst measuring 26 mm with vegetation growing on the inner wall. Microscopic evaluation, after fine needle aspiration cytology (FNAC), suggested benign lesion. Tumorectomy was performed and the final diagnosis was a pure squamous cell carcinoma (SCC) of the breast. A simple mastectomy with sentinel node biopsy was performed. The histological study of the specimen revealed residual SCC and the sentinel lymph node was negative. The patient received 6 cycles of adjuvant chemotherapy and adjuvant radiotherapy. Four years later, the patient is free of disease.

摘要

我们报告一例36岁女性,其左乳外象限出现一个迅速增大的疼痛性肿块。体格检查发现一个边界清晰的弹性肿块,乳腺超声显示一个26毫米的囊肿,内壁有赘生物生长。细针穿刺细胞学检查(FNAC)后的显微镜评估提示为良性病变。实施了肿瘤切除术,最终诊断为乳腺纯鳞状细胞癌(SCC)。进行了单纯乳房切除术及前哨淋巴结活检。标本的组织学研究显示有残留的SCC,前哨淋巴结为阴性。患者接受了6个周期的辅助化疗和辅助放疗。四年后,患者无疾病复发。

https://cdn.ncbi.nlm.nih.gov/pmc/blobs/0178/5056263/760259341b52/CRIOG2016-6081634.001.jpg

文献AI研究员

20分钟写一篇综述,助力文献阅读效率提升50倍。

立即体验

用中文搜PubMed

大模型驱动的PubMed中文搜索引擎

马上搜索

文档翻译

学术文献翻译模型,支持多种主流文档格式。

立即体验