Suppr超能文献

波罗的海灰海豹(Halichoerus grypus)体内人畜共患胆管吸虫截形伪双口吸虫的出现。

Emergence of the Zoonotic Biliary Trematode Pseudamphistomum truncatum in Grey Seals (Halichoerus grypus) in the Baltic Sea.

作者信息

Neimanis Aleksija S, Moraeus Charlotta, Bergman Anders, Bignert Anders, Höglund Johan, Lundström Karl, Strömberg Annika, Bäcklin Britt-Marie

机构信息

Department of Pathology and Wildlife Diseases, National Veterinary Institute, Uppsala, Sweden.

Department of Environmental Research and Monitoring, Swedish Museum of Natural History, Stockholm, Sweden.

出版信息

PLoS One. 2016 Oct 18;11(10):e0164782. doi: 10.1371/journal.pone.0164782. eCollection 2016.

Abstract

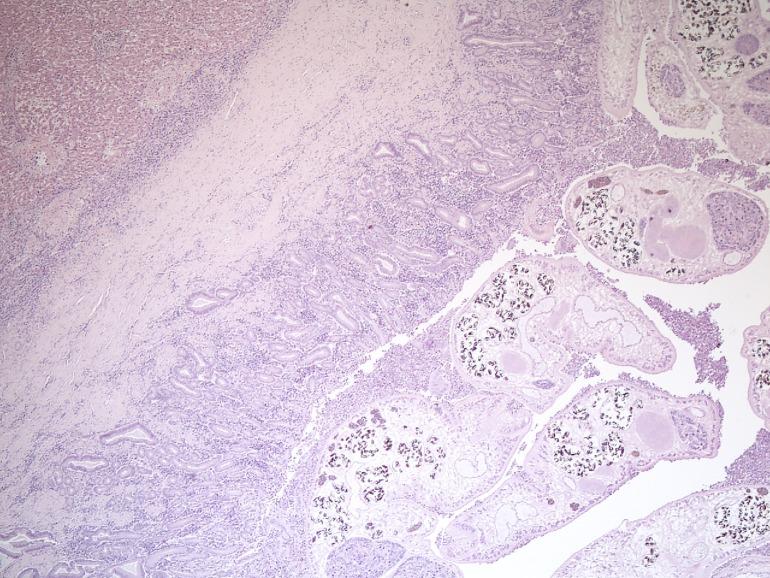
The biliary trematode Pseudamphistomum truncatum parasitizes a wide range of fish-eating mammals, including humans. Here we report the emergence of this parasite in grey seals (Halichoerus grypus) in the Baltic Sea. One hundred eighty-three of 1 554 grey seals (11.9%) examined from 2002-2013 had detectable hepatobiliary trematode infection. Parasite identification was confirmed as P. truncatum by sequencing the ITS2 region of a pool of five to 10 trematodes from each of ten seals collected off the coast of seven different Swedish counties. The proportion of seals parasitized by P. truncatum increased significantly over time and with increasing age of seals. Males were 3.1 times more likely to be parasitized than females and animals killed in fishery interactions were less likely to be parasitized than animals found dead or hunted. There was no significant difference in parasitism of seals examined from the Gulf of Bothnia versus those examined from the Baltic Proper. Although the majority of infections were mild, P. truncatum can cause severe hepatobiliary disease and resulted in liver failure in at least one seal. Because cyprinid fish are the second intermediate host for opisthorchiid trematodes, diets of grey seals from the Baltic Sea were analysed regarding presence of cyprinids. The proportion of gastrointestinal tracts containing cyprinid remains was ten times higher in seals examined from 2008 to 2013 (12.2%) than those examined from 2002 to 2007 (1.2%) and coincided with a general increase of trematode parasitism in the host population. The emergence and relatively common occurrence of P. truncatum in grey seals signals the presence of this parasite in the Baltic Sea ecosystem and demonstrates how aquatic mammals can serve as excellent sentinels of marine ecosystem change. Investigation of drivers behind P. truncatum emergence and infection risk for other mammals, including humans, is highly warranted.

摘要

截形伪双口吸虫这种胆吸虫寄生于包括人类在内的多种食鱼哺乳动物。在此,我们报告了该寄生虫在波罗的海灰海豹(Halichoerus grypus)体内出现的情况。在2002年至2013年检查的1554只灰海豹中,有183只(11.9%)检测到肝胆吸虫感染。通过对从瑞典七个不同沿海县采集的10只海豹中每只的5至10个吸虫样本池的ITS2区域进行测序,确认寄生虫为截形伪双口吸虫。被截形伪双口吸虫寄生的海豹比例随时间推移以及海豹年龄增长而显著增加。雄性被寄生的可能性是雌性的3.1倍,在渔业互动中被杀死的动物比发现死亡或被猎杀的动物被寄生的可能性更小。从波的尼亚湾检查的海豹与从波罗的海本部检查的海豹在寄生虫感染方面没有显著差异。尽管大多数感染情况较轻,但截形伪双口吸虫可导致严重的肝胆疾病,并且至少导致一只海豹出现肝功能衰竭。由于鲤科鱼类是后睾吸虫的第二中间宿主,因此对波罗的海灰海豹的饮食中鲤科鱼类的存在情况进行了分析。2008年至2013年检查的海豹中,含有鲤科鱼类残骸的胃肠道比例(12.2%)比2002年至2007年检查的海豹(1.2%)高10倍,且与宿主种群中吸虫寄生情况的总体增加相吻合。截形伪双口吸虫在灰海豹中的出现及相对普遍的发生表明该寄生虫在波罗的海生态系统中存在,并证明了水生哺乳动物如何能够作为海洋生态系统变化的优秀哨兵。非常有必要对截形伪双口吸虫出现的驱动因素以及其他哺乳动物(包括人类)的感染风险进行调查。

https://cdn.ncbi.nlm.nih.gov/pmc/blobs/6819/5068771/c6c41407041d/pone.0164782.g001.jpg

文献AI研究员

20分钟写一篇综述,助力文献阅读效率提升50倍。

立即体验

用中文搜PubMed

大模型驱动的PubMed中文搜索引擎

马上搜索

文档翻译

学术文献翻译模型,支持多种主流文档格式。

立即体验