• 文献检索
  • 文档翻译
  • 深度研究
  • 学术资讯
  • Suppr Zotero 插件Zotero 插件
  • 邀请有礼
  • 套餐&价格
  • 历史记录
应用&插件
Suppr Zotero 插件Zotero 插件浏览器插件Mac 客户端Windows 客户端微信小程序
定价
高级版会员购买积分包购买API积分包
服务
文献检索文档翻译深度研究API 文档MCP 服务
关于我们
关于 Suppr公司介绍联系我们用户协议隐私条款
关注我们

Suppr 超能文献

核心技术专利:CN118964589B侵权必究
粤ICP备2023148730 号-1Suppr @ 2026

文献检索

告别复杂PubMed语法,用中文像聊天一样搜索,搜遍4000万医学文献。AI智能推荐,让科研检索更轻松。

立即免费搜索

文件翻译

保留排版,准确专业,支持PDF/Word/PPT等文件格式,支持 12+语言互译。

免费翻译文档

深度研究

AI帮你快速写综述,25分钟生成高质量综述,智能提取关键信息,辅助科研写作。

立即免费体验

T 淋巴细胞(效应细胞、调节细胞和检查点抑制剂)和细胞因子(TH1、TH2 和 TH17)对新辅助化疗诱导乳腺癌女性病理性完全缓解的重要贡献。

Crucial Contributions by T Lymphocytes (Effector, Regulatory, and Checkpoint Inhibitor) and Cytokines (TH1, TH2, and TH17) to a Pathological Complete Response Induced by Neoadjuvant Chemotherapy in Women with Breast Cancer.

机构信息

Division of Gastrointestinal Surgery, Nottingham Digestive Diseases Centre, Faculty of Medicine and Health Sciences, University of Nottingham, E Floor, West Block, Queen's Medical Centre, Derby Rd, Nottingham NG7 2UH, UK.

Research & Development Department, Lincoln Breast Unit, Lincoln County Hospital, Greetwell Road, Lincoln LN2 5QY, UK.

出版信息

J Immunol Res. 2016;2016:4757405. doi: 10.1155/2016/4757405. Epub 2016 Sep 29.

DOI:10.1155/2016/4757405
PMID:27777963
原文链接:https://pmc.ncbi.nlm.nih.gov/articles/PMC5061970/
Abstract

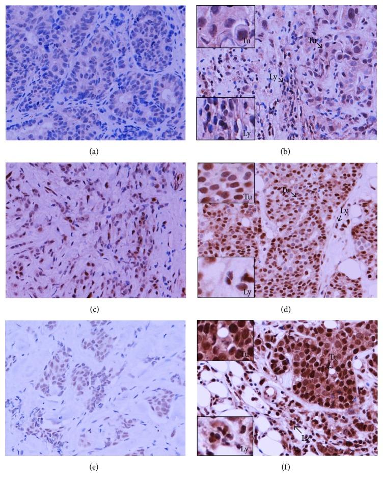
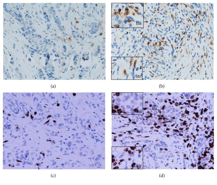
The tumour microenvironment consists of malignant cells, stroma, and immune cells. Prominent tumour-infiltrating lymphocytes (TILs) in breast cancer are associated with a good prognosis and are predictors of a pathological complete response (pCR) with neoadjuvant chemotherapy (NAC). The contribution of different T effector/regulatory cells and cytokines to tumour cell death with NAC requires further characterisation and was investigated in this study. Breast tumours from 33 women with large and locally advanced breast cancers undergoing NAC were immunohistochemically (intratumoural, stromal) assessed for T cell subsets and cytokine expression using labelled antibodies, employing established semiquantitative methods. Prominent levels of TILs and CD4, CD8, and CTLA-4 (stromal) T cells and CD8 : FOXP3 ratios were associated with a significant pCR; no association was seen with FOXP3, CTLA-4 (intratumoural), and PD-1 T cells. NAC significantly reduced CD4, FOXP3, CTLA-4 (stromal) (concurrently blood FOXP3, CTLA-4 Tregs), and PD-1 T cells; no reduction was seen with CD8 and CTLA-4 (intratumoural) T cells. High post-NAC tumour levels of FOXP3 T cells, IL-10, and IL-17 were associated with a failed pCR. Our study has characterised further the contribution of T effector/regulatory cells and cytokines to tumour cell death with NAC.

摘要

肿瘤微环境由恶性细胞、基质和免疫细胞组成。乳腺癌中浸润的肿瘤淋巴细胞(TILs)较多与预后良好相关,是新辅助化疗(NAC)后病理完全缓解(pCR)的预测因子。不同的 T 效应/调节细胞和细胞因子对 NAC 中肿瘤细胞死亡的贡献需要进一步阐明,本研究对此进行了探讨。对 33 例接受 NAC 的大且局部晚期乳腺癌女性的肿瘤组织进行免疫组化(肿瘤内、基质)评估,采用标记抗体,采用既定的半定量方法评估 T 细胞亚群和细胞因子表达。TILs 和 CD4、CD8 和 CTLA-4(基质)T 细胞以及 CD8:FOXP3 比值水平较高与显著的 pCR 相关;FOXP3、CTLA-4(肿瘤内)和 PD-1 T 细胞与 pCR 无相关性。NAC 显著降低了 CD4、FOXP3、CTLA-4(基质)(同时降低血液 FOXP3、CTLA-4 Tregs)和 PD-1 T 细胞;CD8 和 CTLA-4(肿瘤内)T 细胞没有减少。NAC 后肿瘤组织中 FOXP3 T 细胞、IL-10 和 IL-17 水平较高与 pCR 失败相关。本研究进一步阐明了 T 效应/调节细胞和细胞因子对 NAC 中肿瘤细胞死亡的贡献。

https://cdn.ncbi.nlm.nih.gov/pmc/blobs/a3d8/5061970/1cc4c26145fc/JIR2016-4757405.007.jpg
https://cdn.ncbi.nlm.nih.gov/pmc/blobs/a3d8/5061970/524358d43a2e/JIR2016-4757405.001.jpg
https://cdn.ncbi.nlm.nih.gov/pmc/blobs/a3d8/5061970/3c8101dd6f7f/JIR2016-4757405.002.jpg
https://cdn.ncbi.nlm.nih.gov/pmc/blobs/a3d8/5061970/89ce1e634ad4/JIR2016-4757405.003.jpg
https://cdn.ncbi.nlm.nih.gov/pmc/blobs/a3d8/5061970/bcd5b4cb0950/JIR2016-4757405.004.jpg
https://cdn.ncbi.nlm.nih.gov/pmc/blobs/a3d8/5061970/20f10a9d2fa7/JIR2016-4757405.005.jpg
https://cdn.ncbi.nlm.nih.gov/pmc/blobs/a3d8/5061970/f8d289015428/JIR2016-4757405.006.jpg
https://cdn.ncbi.nlm.nih.gov/pmc/blobs/a3d8/5061970/1cc4c26145fc/JIR2016-4757405.007.jpg
https://cdn.ncbi.nlm.nih.gov/pmc/blobs/a3d8/5061970/524358d43a2e/JIR2016-4757405.001.jpg
https://cdn.ncbi.nlm.nih.gov/pmc/blobs/a3d8/5061970/3c8101dd6f7f/JIR2016-4757405.002.jpg
https://cdn.ncbi.nlm.nih.gov/pmc/blobs/a3d8/5061970/89ce1e634ad4/JIR2016-4757405.003.jpg
https://cdn.ncbi.nlm.nih.gov/pmc/blobs/a3d8/5061970/bcd5b4cb0950/JIR2016-4757405.004.jpg
https://cdn.ncbi.nlm.nih.gov/pmc/blobs/a3d8/5061970/20f10a9d2fa7/JIR2016-4757405.005.jpg
https://cdn.ncbi.nlm.nih.gov/pmc/blobs/a3d8/5061970/f8d289015428/JIR2016-4757405.006.jpg
https://cdn.ncbi.nlm.nih.gov/pmc/blobs/a3d8/5061970/1cc4c26145fc/JIR2016-4757405.007.jpg

相似文献

1
Crucial Contributions by T Lymphocytes (Effector, Regulatory, and Checkpoint Inhibitor) and Cytokines (TH1, TH2, and TH17) to a Pathological Complete Response Induced by Neoadjuvant Chemotherapy in Women with Breast Cancer.T 淋巴细胞(效应细胞、调节细胞和检查点抑制剂)和细胞因子(TH1、TH2 和 TH17)对新辅助化疗诱导乳腺癌女性病理性完全缓解的重要贡献。
J Immunol Res. 2016;2016:4757405. doi: 10.1155/2016/4757405. Epub 2016 Sep 29.
2
Tumour-draining axillary lymph nodes in patients with large and locally advanced breast cancers undergoing neoadjuvant chemotherapy (NAC): the crucial contribution of immune cells (effector, regulatory) and cytokines (Th1, Th2) to immune-mediated tumour cell death induced by NAC.新辅助化疗(NAC)治疗下大型局部晚期乳腺癌患者引流腋窝淋巴结中的肿瘤:免疫细胞(效应细胞、调节细胞)和细胞因子(Th1、Th2)对 NAC 诱导的免疫介导的肿瘤细胞死亡的关键作用。
BMC Cancer. 2018 Feb 2;18(1):123. doi: 10.1186/s12885-018-4044-z.
3
Abnormal T regulatory cells (Tregs: FOXP3+, CTLA-4+), myeloid-derived suppressor cells (MDSCs: monocytic, granulocytic) and polarised T helper cell profiles (Th1, Th2, Th17) in women with large and locally advanced breast cancers undergoing neoadjuvant chemotherapy (NAC) and surgery: failure of abolition of abnormal treg profile with treatment and correlation of treg levels with pathological response to NAC.在接受新辅助化疗(NAC)和手术的大体积局部晚期乳腺癌女性中存在异常调节性 T 细胞(Tregs:FOXP3+,CTLA-4+)、髓系来源抑制细胞(MDSCs:单核细胞、粒细胞)和极化 T 辅助细胞表型(Th1、Th2、Th17):治疗未能消除异常 Treg 表型,Treg 水平与 NAC 病理反应相关。
J Transl Med. 2013 Jan 15;11:16. doi: 10.1186/1479-5876-11-16.
4
Natural killer (NK) cell profiles in blood and tumour in women with large and locally advanced breast cancer (LLABC) and their contribution to a pathological complete response (PCR) in the tumour following neoadjuvant chemotherapy (NAC): differential restoration of blood profiles by NAC and surgery.局部晚期乳腺癌(LLABC)女性患者血液和肿瘤中的自然杀伤(NK)细胞特征及其对新辅助化疗(NAC)后肿瘤病理完全缓解(PCR)的贡献:NAC和手术对血液特征的差异恢复作用
J Transl Med. 2015 Jun 4;13:180. doi: 10.1186/s12967-015-0535-8.
5
Exploratory analysis of immune checkpoint receptor expression by circulating T cells and tumor specimens in patients receiving neo-adjuvant chemotherapy for operable breast cancer.探讨分析接受新辅助化疗的可手术乳腺癌患者循环 T 细胞和肿瘤标本中免疫检查点受体的表达。
BMC Cancer. 2020 May 19;20(1):445. doi: 10.1186/s12885-020-06949-4.
6
Immune infiltrates in the breast cancer microenvironment: detection, characterization and clinical implication.乳腺癌微环境中的免疫浸润:检测、特征及临床意义
Breast Cancer. 2017 Jan;24(1):3-15. doi: 10.1007/s12282-016-0698-z. Epub 2016 May 2.
7
Early Stage HER2-Positive Breast Cancers Not Achieving a pCR From Neoadjuvant Trastuzumab- or Pertuzumab-Based Regimens Have an Immunosuppressive Phenotype.早期 HER2 阳性乳腺癌患者在新辅助曲妥珠单抗或帕妥珠单抗治疗方案中未达到 pCR 者具有免疫抑制表型。
Clin Breast Cancer. 2018 Oct;18(5):410-417. doi: 10.1016/j.clbc.2018.02.010. Epub 2018 Feb 24.
8
Intratumoral regulatory T cells as an independent predictive factor for pathological complete response to neoadjuvant paclitaxel followed by 5-FU/epirubicin/cyclophosphamide in breast cancer patients.肿瘤内调节性 T 细胞是新辅助紫杉醇序贯 5-FU/表柔比星/环磷酰胺治疗乳腺癌患者病理完全缓解的独立预测因素。
Breast Cancer Res Treat. 2012 Nov;136(1):107-16. doi: 10.1007/s10549-012-2245-8. Epub 2012 Sep 18.
9
CD3+, CD4+ & CD8+ tumour infiltrating lymphocytes (TILs) are predictors of favourable survival outcome in infiltrating ductal carcinoma of breast.CD3 +、CD4 +和CD8 +肿瘤浸润淋巴细胞(TILs)是乳腺浸润性导管癌生存预后良好的预测指标。
Indian J Med Res. 2014 Sep;140(3):361-9.
10
Preferential accumulation of regulatory T cells with highly immunosuppressive characteristics in breast tumor microenvironment.具有高度免疫抑制特性的调节性T细胞在乳腺肿瘤微环境中的优先积累。
Oncotarget. 2017 May 16;8(20):33159-33171. doi: 10.18632/oncotarget.16565.

引用本文的文献

1
Investigating the Correlation Between Long-Term Response in Patients with Metastatic HER2+ Breast Cancer and the Activity of Regulatory T Cells: A Retrospective Study.探讨转移性HER2+乳腺癌患者长期反应与调节性T细胞活性之间的相关性:一项回顾性研究。
Breast Cancer (Dove Med Press). 2024 Sep 27;16:645-655. doi: 10.2147/BCTT.S470570. eCollection 2024.
2
Analysis of Expression Pattern and Prognostic Value of the Heparanase in Breast Cancer Through CD274/CTLA-4 Immune Checkpoint Proteins.通过 CD274/CTLA-4 免疫检查点蛋白分析肝素酶在乳腺癌中的表达模式和预后价值。
Technol Cancer Res Treat. 2024 Jan-Dec;23:15330338241281285. doi: 10.1177/15330338241281285.
3

本文引用的文献

1
Molecular and cellular insights into T cell exhaustion.对T细胞耗竭的分子和细胞层面的见解。
Nat Rev Immunol. 2015 Aug;15(8):486-99. doi: 10.1038/nri3862.
2
Natural killer (NK) cell profiles in blood and tumour in women with large and locally advanced breast cancer (LLABC) and their contribution to a pathological complete response (PCR) in the tumour following neoadjuvant chemotherapy (NAC): differential restoration of blood profiles by NAC and surgery.局部晚期乳腺癌(LLABC)女性患者血液和肿瘤中的自然杀伤(NK)细胞特征及其对新辅助化疗(NAC)后肿瘤病理完全缓解(PCR)的贡献:NAC和手术对血液特征的差异恢复作用
J Transl Med. 2015 Jun 4;13:180. doi: 10.1186/s12967-015-0535-8.
3
Guardians and Mediators of Metastasis: Exploring T Lymphocytes, Myeloid-Derived Suppressor Cells, and Tumor-Associated Macrophages in the Breast Cancer Microenvironment.
转移的守护者和调解者:探索乳腺癌微环境中的 T 淋巴细胞、髓源性抑制细胞和肿瘤相关巨噬细胞。
Int J Mol Sci. 2024 Jun 5;25(11):6224. doi: 10.3390/ijms25116224.
4
Effect of neoadjuvant chemotherapy on tumor immune infiltration in breast cancer patients: Systematic review and meta-analysis.新辅助化疗对乳腺癌患者肿瘤免疫浸润的影响:系统评价和荟萃分析。
PLoS One. 2023 Apr 27;18(4):e0277714. doi: 10.1371/journal.pone.0277714. eCollection 2023.
5
Clinicopathological assessment of PD-1/PD-L1 immune checkpoint expression in desmoid tumors.探讨 PD-1/PD-L1 免疫检查点在硬纤维瘤中的表达及其临床病理特征。
Eur J Histochem. 2023 Apr 26;67(2):3688. doi: 10.4081/ejh.2023.3688.
6
Prognostic Implications of the Residual Tumor Microenvironment after Neoadjuvant Chemotherapy in Triple-Negative Breast Cancer Patients without Pathological Complete Response.新辅助化疗后未达到病理完全缓解的三阴性乳腺癌患者残留肿瘤微环境的预后意义
Cancers (Basel). 2023 Jan 18;15(3):597. doi: 10.3390/cancers15030597.
7
Neoadjuvant chemotherapy modulates exhaustion of T cells in breast cancer patients.新辅助化疗可调节乳腺癌患者 T 细胞衰竭。
PLoS One. 2023 Feb 10;18(2):e0280851. doi: 10.1371/journal.pone.0280851. eCollection 2023.
8
Identification of the prognostic value of Th1/Th2 ratio and a novel prognostic signature in basal-like breast cancer.鉴定 Th1/Th2 比值和一个新的预后标志物在基底样乳腺癌中的预后价值。
Hereditas. 2023 Jan 25;160(1):2. doi: 10.1186/s41065-023-00265-0.
9
Tumor immune microenvironment components and the other markers can predict the efficacy of neoadjuvant chemotherapy for breast cancer.肿瘤免疫微环境成分和其他标志物可预测乳腺癌新辅助化疗的疗效。
Clin Transl Oncol. 2023 Jun;25(6):1579-1593. doi: 10.1007/s12094-023-03075-y. Epub 2023 Jan 18.
10
Expression patterns and prognostic implications of tumor-infiltrating lymphocytes dynamics in early breast cancer patients receiving neoadjuvant therapy: A systematic review and meta-analysis.接受新辅助治疗的早期乳腺癌患者肿瘤浸润淋巴细胞动态变化的表达模式及预后意义:一项系统评价和荟萃分析
Front Oncol. 2022 Nov 30;12:999843. doi: 10.3389/fonc.2022.999843. eCollection 2022.
Women with large (≥3 cm) and locally advanced breast cancers (T3, 4, N1, 2, M0) receiving neoadjuvant chemotherapy (NAC: cyclophosphamide, doxorubicin, docetaxel): addition of capecitabine improves 4-year disease-free survival.
患有大型(≥3厘米)局部晚期乳腺癌(T3、4、N1、2、M0)且正在接受新辅助化疗(NAC:环磷酰胺、阿霉素、多西他赛)的女性:添加卡培他滨可提高4年无病生存率。
Springerplus. 2015 Jan 13;4(1):9. doi: 10.1186/2193-1801-4-9. eCollection 2015.
4
Classifying Cancers Based on T-cell Infiltration and PD-L1.基于T细胞浸润和PD-L1对癌症进行分类
Cancer Res. 2015 Jun 1;75(11):2139-45. doi: 10.1158/0008-5472.CAN-15-0255.
5
Tumor-infiltrating immune cell profiles and their change after neoadjuvant chemotherapy predict response and prognosis of breast cancer.肿瘤浸润免疫细胞谱及其在新辅助化疗后的变化可预测乳腺癌的反应和预后。
Breast Cancer Res. 2014 Nov 29;16(6):488. doi: 10.1186/s13058-014-0488-5.
6
The programmed death-1 immune-suppressive pathway: barrier to antitumor immunity.程序性死亡-1免疫抑制途径:抗肿瘤免疫的障碍。
J Immunol. 2014 Oct 15;193(8):3835-41. doi: 10.4049/jimmunol.1401572.
7
The evaluation of tumor-infiltrating lymphocytes (TILs) in breast cancer: recommendations by an International TILs Working Group 2014.2014年国际肿瘤浸润淋巴细胞(TILs)工作组对乳腺癌中肿瘤浸润淋巴细胞的评估建议
Ann Oncol. 2015 Feb;26(2):259-71. doi: 10.1093/annonc/mdu450. Epub 2014 Sep 11.
8
Immune cell quantitation in normal breast tissue lobules with and without lobulitis.正常乳腺组织小叶中有无小叶炎时的免疫细胞定量分析。
Breast Cancer Res Treat. 2014 Apr;144(3):539-49. doi: 10.1007/s10549-014-2896-8. Epub 2014 Mar 5.
9
PD-1(+) immune cell infiltration inversely correlates with survival of operable breast cancer patients.PD-1(+)免疫细胞浸润与可手术乳腺癌患者的生存呈负相关。
Cancer Immunol Immunother. 2014 Apr;63(4):395-406. doi: 10.1007/s00262-014-1519-x. Epub 2014 Feb 11.
10
Different molecular profiles are associated with breast cancer cell homing compared with colonisation of bone: evidence using a novel bone-seeking cell line.与骨定植相比,不同的分子谱与乳腺癌细胞归巢相关:使用一种新型趋骨细胞系的证据。
Endocr Relat Cancer. 2014 Mar 7;21(2):327-41. doi: 10.1530/ERC-13-0158. Print 2014 Apr.