Twaroch Teresa E, Curin Mirela, Sterflinger Katja, Focke-Tejkl Margit, Swoboda Ines, Valenta Rudolf
Christian Doppler Laboratory for Allergy Research, Division of Immunopathology, Department of Pathophysiology and Allergy Research, Center for Pathophysiology, Infectiology and Immunology, Medical University of Vienna, Vienna, Austria.
Int Arch Allergy Immunol. 2016;170(4):269-278. doi: 10.1159/000449415. Epub 2016 Oct 26.
The mould Alternaria alternata is an important source of respiratory allergens. A. alternata extracts show great variations regarding allergenic potency. The aim of this study was to generate antibody probes specific for important Alternaria allergens and to use them to study allergen expression, depending on different culture conditions, as well as to search for cross-reactive allergens in other mould species.
Synthetic peptides from antigenic regions of A. alternata allergens (Alt a 1, Alt a 2, Alt a 3, Alt a 6 and Alt a 8) were used to raise highly specific rabbit antibodies. These antibodies and IgE from allergic patients were used to detect allergens by immunoblotting in extracts of 4 A. alternata strains grown under varying culturing conditions, in commercial skin-prick extracts and in closely (Cladosporium herbarum and Aureobasidium pullulans) or distantly related (Aspergillus niger and Penicillium chrysogenum) mould species.
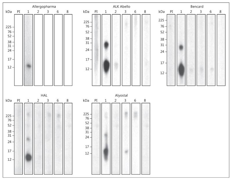
There was a wide variation of expression of the individual A. Alternata allergens, depending on the strain and culture conditions, but the antibody probes allowed us to distinguish strains and culture conditions with low and high allergen expression. In the commercial skin-prick solutions, varying levels of Alt a 1 were found, but no other allergens were detectable. Alt a 1 was identified as species-specific A. Alternata allergen, whereas Alt a 3, 6- and Alt a 8-cross-reactive antigens were found in C.herbarum and/or A. pullulans.
Peptide-specific antibodies are useful to analyze diagnostic and therapeutic mould extracts, to study the presence of A. Alternata allergens in biological samples and to search for cross-reactive allergens in other mould species.
链格孢霉是呼吸道过敏原的重要来源。链格孢霉提取物的变应原效力差异很大。本研究的目的是制备针对重要链格孢霉过敏原的抗体探针,并利用它们研究在不同培养条件下过敏原的表达情况,以及寻找其他霉菌物种中的交叉反应性过敏原。
使用来自链格孢霉过敏原(Alt a 1、Alt a 2、Alt a 3、Alt a 6和Alt a 8)抗原区域的合成肽来制备高度特异性的兔抗体。这些抗体和过敏患者的IgE通过免疫印迹法用于检测在不同培养条件下生长的4株链格孢霉提取物、市售皮肤点刺提取物以及密切相关(草本枝孢霉和出芽短梗霉)或远缘相关(黑曲霉和产黄青霉)霉菌物种中的过敏原。
根据菌株和培养条件的不同,链格孢霉各过敏原的表达存在很大差异,但抗体探针使我们能够区分过敏原表达低和高的菌株及培养条件。在市售皮肤点刺溶液中,发现了不同水平的Alt a 1,但未检测到其他过敏原。Alt a 1被鉴定为链格孢霉的种特异性过敏原,而在草本枝孢霉和/或出芽短梗霉中发现了Alt a 3、6和Alt a 8的交叉反应性抗原。
肽特异性抗体可用于分析诊断和治疗用霉菌提取物,研究生物样品中链格孢霉过敏原的存在情况,并寻找其他霉菌物种中的交叉反应性过敏原。